查看更多
密码过期或已经不安全,请修改密码
修改密码
壹生身份认证协议书
同意
拒绝
同意
拒绝
同意
不同意并跳过
检查发现的肺结节,如果是较为典型恶性的结节,医生可能让马上手术,也可能建议适当随访对比一下。
若是纯磨玻璃结节,良恶性特征还不典型时,医生一般都会建议病人随访、复查,目的是看病灶会不会吸收、有没有进展,或者等出现良性或恶性的特征再来判断。
其中,实性结节的判断是难点。实性结节不宜耽误,一旦是恶性的,就存在转移风险,而不像纯磨玻璃结节一样可以安全地随访观察。临床上,真正让医生纠结与不放心的也是实性结节。
然而临床中,实性结节中绝大部分是良性的,尤其是又小又实的基本上都是良性为多。医生为了避免漏诊,通常建议随访观察。但实际上有一类实性结节,根本不需要随访,可放心由它去!
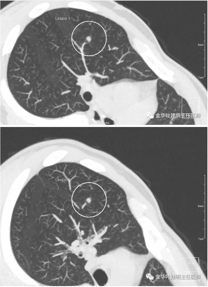
金华的某A,检查发现肺结节,年龄才30出头,没有任何症状。我们先来看他的平扫图像:

可见右肺实性结节,边缘稍不清,因整体尚小,影像特征并不好判断,那么看看薄层的靶扫描:

三维上看,结节较为光滑


病灶实性,边缘还是比较整齐的,未见明显毛刺、分叶或空洞等恶性特征

有没有血管进入病灶?感觉血管未到病灶,怎么突然截断了呢,可能是角度问题,其实是有血管进入病灶的呢?

此层面是不是感觉略有浅分叶?
从目前的资料来看,良性可能性较大,恶性是不太符合的。可能是肺内淋巴结,或者错构瘤、纤维增生、硬化性血管瘤?结核?结核不像,周围太清爽了!是不是,总体考虑良性可能性大,仍宜建议3个月复查下以观察病灶有无生长性?我想,这样的建议肯定是可以的。医生由于太忙,特别是大医院,能这样仔细去看已经不容易了,但其实我们若再花点时间,来看看冠状位与矢状位的图像,那么就又是另外一回事了:

此结节在纵向的冠状位与矢状位上,都呈细线状!根本就不是圆形或类圆形的病灶!影像上表现为这样的肺结节,根本就可排除各种良性肿瘤或恶性肿瘤,也不是结核或隐球菌等感染性病灶,要么是局部积液,要么是局部慢性炎伴纤维增生。不需要定期复查,可十分放心地让病人回家,不用管它(常规年度或两年一次的体检当另计)!
所以看肺结节,有时由于各种原因,匆忙一看,那不行,还是得仔细看,各层面、各方向、各角度看,这样可避免一些无谓的、本来不需要的检查。对于此结节,若有医生让检查,包括结核方面:PPD试验、T-SPOT、痰找抗酸杆菌;肿瘤方面:肿瘤指标、CT增强,甚至是PET-CT;感染方面:血常规、CRP、隐球菌相关化验等等,也不能说错,兜一圈下来也没什么不可以。你说呢?
来源:金华叶建明主任医师
查看更多