200
评论
查看更多
密码过期或已经不安全,请修改密码
修改密码
壹生身份认证协议书
同意
拒绝
同意
拒绝
同意
不同意并跳过
作者 中国医学科学院肿瘤医院 田原 李二妮
今天,
我们来分享一例乳腺肿物的病例,
你能看出是什么病吗?
患者:女性,32岁
主诉:发现右乳肿物2年余,逐渐增大。
现病史:患者于2年前无明显诱因出现右乳肿物,逐渐增大,不伴乳头溢液,无皮肤红肿、疼痛、溃烂等症状。4个月来自觉肿物生长迅速,无畏寒发热、胸闷腹痛等全身症状。
家族史:无。
实验室检查:CA153、CA125、CEA均在正常范围。血常规及生化检查均正常。
查体:触及右乳外上肿物,约5 cm大小,质韧,边界欠清,活动尚可,无橘皮样改变,无乳头溢液、内陷、皱裂,右侧腋下未及淋巴结。
乳腺X线摄影

乳腺超声检查

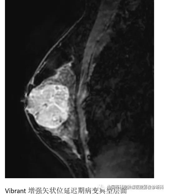
乳腺MR检查







根据以上临床资料、乳腺X线、超声及MRI表现,该病例最可能的诊断为?(单选)
纤维腺瘤
叶状肿瘤
粘液癌
腺病瘤
非特殊型浸润性癌
答案后续揭晓......
中国医科院肿瘤医院影像诊断科 平台发布
查看更多