壹生大学

壹生身份认证协议书

本项目是由壹生提供的专业性学术分享,仅面向医疗卫生专业人士。我们将收集您是否是医疗卫生专业人士的信息,仅用于资格认证,不会用于其他用途。壹生作为平台及平台数据的运营者和负责方,负责平台和本专区及用户相关信息搜集和使用的合规和保护。
本协议书仅为了向您说明个人相关信息处理目的,向您单独征求的同意,您已签署的壹生平台《壹生用户服务协议》和《壹生隐私政策》,详见链接:
壹生用户服务协议:
https://apps.medtrib.cn/html/serviceAgreement.html
壹生隐私政策:
https://apps.medtrib.cn/html/p.html
如果您是医疗卫生专业人士,且点击了“同意”,表明您作为壹生的注册用户已授权壹生平台收集您是否是医疗卫生专业人士的信息,可以使用本项服务。
如果您不是医疗卫生专业人士或不同意本说明,请勿点击“同意”,因为本项服务仅面向医疗卫生人士,以及专业性、合规性要求等因素,您将无法使用本项服务。

同意

拒绝

同意

拒绝

知情同意书

同意

不同意并跳过

工作人员正在审核中,
请您耐心等待
审核未通过
重新提交
完善信息
{{ item.question }}
确定
收集问题
{{ item.question }}
确定
您已通过HCP身份认证和信息审核
(
5
s)

从一线到三线,HR+/HER2-乳腺癌伴肝转移解救治疗如何排兵布阵?

2024-02-09作者:论坛报小吕资讯
整理:肿瘤资讯

来源:肿瘤资讯

本篇文章转载自CDK4/6i学院

主KV.jpg

CDK4/6抑制剂联合内分泌治疗已经成为HR+晚期乳腺癌患者的标准治疗方案,但对于存在内脏转移的患者,一线解救治疗方案选择化疗还是CDK4/6抑制剂联合内分泌治疗存在一定讨论空间。本文分享一例绝经前HR+乳腺癌复发肝转移患者,患者一线治疗时哌柏西利尚未上市,接受GT化疗后进展,后接受哌柏西利+来曲唑+OFS治疗获得44个月PFS,且无明显不良反应。后续又接受西达本胺+氟维司群+OFS至今,保持随访中。

图片1.jpg               
曾晓华
教授

重庆大学附属肿瘤医院乳腺肿瘤中心主任

主任医师,医学博士,博士后,博士研究生导师

中国抗癌协会乳腺癌专委会委员
中华医学会肿瘤学会分乳腺癌学组委员
国家肿瘤质控中心乳腺癌专家委员会委员
中国医师协会肿瘤医师分会乳腺癌学组委员
中国研究型医院学会乳腺专业委员会常务委员
中国医师协会外科医师分会乳腺外科医师委员会委员
国家癌症中心《中国乳腺癌筛查与早诊指南》成员
重庆市医药生物技术协会副理事长
重庆市医药生物技术协会乳腺癌防治专委会主任委员
重庆五一劳动奖章
国务院政府特殊津贴专家
重庆英才·创新领军人才第四批重庆市有突出贡献的中青年专家

1669710231323.png               
李伟
教授

重庆大学附属肿瘤医院乳腺肿瘤中心
副主任医师,医学博士,硕士研究生导师
德国杜塞尔多夫欧洲乳腺中心访问学者
重庆大学附属肿瘤医院高层次人才
中国抗癌协会国际医疗交流分会青年专家团委员
中国老年保健协会乳腺癌专委会委员
中国抗癌协会肿瘤标志专委会肿瘤早筛专委会委员
重庆市医药生物技术协会乳腺癌防治专委会委员兼秘书
重庆市临床医学研究联合会乳腺癌专委会常委
重庆市医学会乳腺病分会委员
重庆市肿瘤医疗质控中心乳腺癌诊疗专家组委员
重庆市自然科学基金评审专家《中国普通外科杂志》编委、《中国药房》杂志编委

病例分享

分享专家:重庆大学附属肿瘤医院 李伟教授

基本信息

女,38岁,未绝经

发现右乳肿块1月余

个人史:已婚,G2P1,末次月经时间2011.10

家族史:姑妈曾患乳腺癌

既往史:无

病史(一)

2011.11入院

入院查体:右乳内下象限可触一大小约2.5x2.5cm质硬肿块,距乳头约3cm,边界欠清,活动度欠佳,未累及皮肤及胸壁,未见酒窝征及橘皮样变。左乳未触及明显肿块,双腋窝及双锁骨上未触及肿大淋巴结。

乳腺彩超:右乳内下象限实性占位(BI-RADS分类4C类,2.6x1.2cm):乳Ca?右腋窝淋巴结肿大(1.0x0.8cm):反应性?

乳腺MRI:右乳内下异常肿块影,大小2.4x2.0x1.8cm,考虑恶性病灶可能性大(BI-RADS:5类)。

1.jpg图1. 基线状态乳腺MRI

病理检查:(右乳)浸润性导管癌II级,ER(+++)90%,PR(++)80%,HER2(+),ki-67 10%。

临床诊断:右乳癌cT2N0M0 IIA期  Luminal A型

2011.11.29 全麻下行右乳腺癌改良根治术

术后病理:右乳浸润性导管癌II级,基底切缘净;腋窝淋巴结:3/16;免疫组化:ER(++)60-70%,PR(+)40-50%,C-erbB-2(+),ki-67  10%。

临床诊断:右乳癌pT2N1M0  IIB期  Luminal A型

术后辅助治疗及内分泌治疗:术后行6周期TAC辅助化疗;右胸壁+右锁骨上下区术后放疗(剂量:50Gy/25f);口服他莫昔芬6年(至2018.3)。疗效评估:DFS 76月。

病史(二)

2018.3 复查考虑肝转移可能

腹部彩超:肝内多发异常回声(较大位于S4段,大小约3.2x2.1cm):M灶?肝门区淋巴结肿大(较大者约2.3x1.2cm):淋巴M?

上腹部CT: 1. 肝内多发强化结节(肝右后叶部分病灶融合,较大为5.8x3.5cm),考虑转移;2.肝门区及腹膜后见多枚结节影(较大位于肝门区,短径约1.5cm)。

BRCA基因检测:(-)

肝功能:  ALT  98U/L,AST  70U/L,胆红素正常。

肝穿刺活检:考虑乳腺癌转移,ER(++)90%,PR(-),Ki-67(+)10%,HER2(++), FISH检测未见HER2基因扩增。

临床诊断:右乳癌pT2N1M1(肝) Ⅳ期  Luminal B型。

一线治疗:考虑CDK4/6抑制剂+AI+OFS,但患者以“药物可及性原因”拒绝。2018.3-2018.8行4周期GT(白蛋白结合紫杉醇+吉西他滨)化疗。

2周期及4周期时疗效评估:(上腹部CT)肝右后叶病灶:5.8cm→5.8cm→7.5cm;肝门淋巴结:1.5cm→1.5cm→1.5cm。

疗效评估:PD。

一线治疗总结:PFS 6月。

2.jpg图2. 2018.3(左)对比2018.8(右)上腹部CT疗效:PD

化疗进展后治疗:2018.8-2022.4行哌柏西利+来曲唑+OFS内分泌联合靶向治疗。

疗效评估:PD(见下图)

治疗总结:PFS 44月。

3.jpg图3. 化疗进展后治疗疗效评估

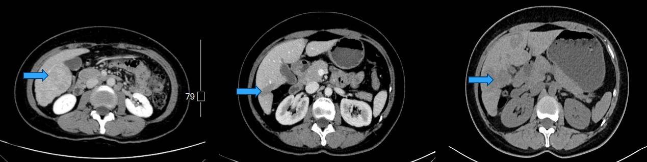
4.jpg
图4. 2018.8(左)2020.8(中)2022.4(右)上腹部CT对比病灶大小变化:7.5cm→3.8cm→4.6cm

后续治疗:2022.4起行西达本胺+氟维司群+OFS至今,随访中。

专家点评

点评专家:重庆大学附属肿瘤医院  曾晓华教授

该病例为激素敏感性绝经前乳腺癌肝转移患者。患者家族有乳腺癌病史,2011.11首次确诊,诊断为IIA期,接受根治手术后,接受辅助放化疗与内分泌治疗,病情得到控制,直至2018.3复发肝转移,历经三线解救治疗至今,目前复发后生存已超50个月。

2022版《CSCO乳腺癌诊疗指南》指出[1],HR+患者的首选解救治疗为化疗或内分泌治疗,其中化疗适用于存在内脏转移、既往对内分泌治疗耐药或无最佳内分泌治疗选择的患者,按三阴性乳腺癌解救化疗选择。本病例患者复发内脏转移时,考虑其Luminal B分型,未见HER2基因扩增,以现在角度看应接受CDK4/6抑制剂联合内分泌治疗以取得最佳获益,考虑当时首款CDK4/6抑制剂哌柏西利尚未获批上市,选择GT解救化疗可以理解。后治疗进展,由于哌柏西利已经上市,患者得以接受CDK4/6抑制剂联合内分泌治疗的最佳方案,疾病进展得到控制,取得44个月的PFS,后续又接受HDAC抑制剂西达本胺联合内分泌治疗,持续获益至今。

内脏转移提示不良预后,哌柏西利显著改善HR+乳腺癌患者预后

对于该类激素敏感性患者,既往接受内分泌辅助治疗与化疗失败,进行下一步治疗抉择前需判断以下因素:(1)患者的内脏转移是否已导致内脏危象;(2)后续治疗方案的开展应基于何种生物标志物来开展;(3)是否有足够的循证医学证据提示对于肝转移患者的下一步联合治疗措施?

既往数据显示,HR+患者常出现内脏转移,其中约四分之一内脏转移患者出现肝转移[2],一项回顾性研究显示[3],出现内脏转移往往意味着该类患者较差的总生存期(OS),相较未出现内脏转移的患者,OS要缩短接近40%(22.8个月 vs. 36.9个月,P<0.01)。

哌柏西利于2018年8月在国内获批上市,是全球首个CDK4/6抑制剂,为HR+晚期乳腺癌治疗带来新局面。在今年ASCO上公布的PALOMA-2研究最终数据分析中[4],哌柏西利联合来曲唑(PAL+LET)对比安慰剂联合来曲唑(LET)显著延长了中位无进展生存期(PFS:27.6个月vs 14.5个月;HR=0.56 [95% CI, 0.46-0.69]; P<0.0001),在OS方面,排除无法进行随访的患者后,PAL+LET组取得了更长的mOS(51.6个月 vs. 44.6个月,HR=0.869;95% CI, 0.706-1.069)。 

更重要的是,此前公布的亚组分析中[5],对于具有内脏转移的患者PAL+LET较LET患者具有显著更为显著的PFS获益(19.3个月 vs. 12.3个月 ; HR, 0.62(95%CI 0.47~0.81);P<0.0005),在肝转移亚组中,PAL+LET显著延长了5.3个月的PFS(13.7个月 vs 8.4个月),显示出哌柏西利联合内分泌治疗对于内脏转移患者较好的疗效。

在真实世界的“历练”中,哌柏西利也表现出较好的疗效。在一项纳入2888例患者的大型真实世界研究P-REALITY中[6],总体人群中,PAL+LET组对比LET组具有更高的12个月OS率(89.4% vs 75.0%),肝转移人群中,PAL+LET组对比LET组则具有更为突出的OS获益(30.1个月 vs. 16.8个月)。

因此综合来看,结合指南及循证医学证据,该患者为HR+,HER2未见扩增,联合靶向治疗的获益前景并不明朗,后续治疗方案选择CDK4/6抑制剂联合内分泌治疗为最佳选择,患者也确实从该治疗方案中获益。

后线用药多种思路再讨论,HDAC抑制剂选择值得认可

虽然CDK4/6抑制剂联合内分泌治疗为HR+患者带来显著预后改善,但长时间的使用后患者仍不免需面对耐药问题,本病例中,患者从二线治疗中获益44个月PFS,疗效令人鼓舞,但随后依然面临三线用药抉择。

对于对CDK4/6抑制剂反应敏感但治疗失败的患者,后线可选更换另一类CDK4/6抑制剂,或更换另一类作用机制的药物,如PI3K抑制剂、HDAC抑制剂、mTOR抑制剂等。

目前,CDK4/6抑制剂再挑战的思路在一些临床研究中取得初步成功,如今年ASCO上报告的II期研究MAINTAIN探索了氟维司群/依西美坦±Ribociclib用于治疗CDK4/6抑制剂联合内分泌治疗进展后的HR+/HER2-患者的疗效及安全性[7],结果显示mPFS可达5.29个月,12个月PFS率达24.6%,此外多项研究如PACE、PALMIRA、TRINITI-1研究等仍在进行中。

而更换其他机制的后线治疗思路目前以西达本胺得到较多认可,得到了包括CSCO指南在内的权威指南推荐。一项由江泽飞教授、张清媛教授牵头的关于西达本胺治疗2000例晚期乳腺癌患者的真实世界研究指出,针对既往接受内分泌治疗失败的患者(包括CDK4/6抑制剂经治患者)其中,在121例既往使用CDK4/6抑制剂的患者中,二、三线使用西达本胺,ECOG 0~1分的患者68例,mPFS达到5.1个月,6个月PFS率达到45%。此外,PI3K抑制剂Alpelisib也在BYlieve与SLOAR-1研究中取得了不错的探索结果。

目前虽然并无CDK4/6抑制剂进展后的标准治疗方案,但综合考虑疗效及用药可及性,本病例中医师选择OFS+氟维司群+西达本胺作为患者三线治疗方案可视为当前条件下的最佳选择。目前患者持续接受治疗并从中获益,也提示HDACi作为后CDK4/6抑制剂治疗方案的可行性。

肝转移患者应注意药物肝毒性,哌柏西利疗效与安全兼顾值得选择

本病例中,患者二线解救治疗达44个月,其中未因治疗相关不良反应而中断治疗,而在临床实践中,用药时也需密切关注相关治疗方案的安全性,特别是对于肝转移患者,需注意药物相关肝毒性造成的肝损伤。

哌柏西利在此前研究中最常见的不良反应为中性粒细胞减少、感染、白细胞减少、关节痛、疲乏感、恶心和脱发,但主要发生于治疗早期,无剂量累积效应,可以较为方便地进行临床管理,整体安全可控。CDK4/6抑制剂导致的骨髓抑制并不会导致细胞凋亡,在停药后骨髓细胞可以逐渐恢复增殖,使得中性粒细胞减少、白细胞减少等骨髓抑制相关症状可逆,对患者造成较小影响,保证了患者的生活质量与治疗依从性,使得治疗可以顺利进行。

总结

综上,本例患者接受根治手术后,经过辅助放化疗与内分泌治疗6年余后进展,出现肝脏多发转移。在化疗失败的情况下通过CDK4/6抑制剂联合内分泌治疗快速缓解,获得44个月的PFS,无明显不良反应。再次进展后接受西达本胺+氟维司群+OFS治疗,持续获益中。该病例再次佐证CDK4/6抑制剂联合内分泌治疗对于肝转移性乳腺癌患者的疗效与安全性,提示对于未出现内脏危象的内脏转移患者,CDK4/6抑制剂联合内分泌治疗可作为优选方案。


参考文献

[1] 中国临床肿瘤学会乳腺癌诊疗指南. 2022.

[2] Jacquet E, et al. Eur J Cancer. 2018;95:93-10.

[3] Twelves C, et al. BMC Cancer 2020; 20(1):53.

[4] Overall survival (OS) with first-line palbociclib plus letrozole (PAL+LET) versus placebo plus letrozole (PBO+LET) in women with estrogen receptor–positive/human epidermal growth factor receptor 2–negative advanced breast cancer (ER+/HER2− ABC): Analyses from PALOMA-2. J Clin Oncol 40, 2022 (suppl 17; abstr LBA1003)

[5] Finn RS, et al. Poster presented at ASCO 2017 (Abstract 1039)

[6] Hope Rugo, et al. 2021 SABCS. Session P5 : P1-18-20.

[7]Kalinsky,et al. 2022 ASCO Asbract.LBA 1004.


200 评论

查看更多