壹生大学

壹生身份认证协议书

本项目是由壹生提供的专业性学术分享,仅面向医疗卫生专业人士。我们将收集您是否是医疗卫生专业人士的信息,仅用于资格认证,不会用于其他用途。壹生作为平台及平台数据的运营者和负责方,负责平台和本专区及用户相关信息搜集和使用的合规和保护。
本协议书仅为了向您说明个人相关信息处理目的,向您单独征求的同意,您已签署的壹生平台《壹生用户服务协议》和《壹生隐私政策》,详见链接:
壹生用户服务协议:
https://apps.medtrib.cn/html/serviceAgreement.html
壹生隐私政策:
https://apps.medtrib.cn/html/p.html
如果您是医疗卫生专业人士,且点击了“同意”,表明您作为壹生的注册用户已授权壹生平台收集您是否是医疗卫生专业人士的信息,可以使用本项服务。
如果您不是医疗卫生专业人士或不同意本说明,请勿点击“同意”,因为本项服务仅面向医疗卫生人士,以及专业性、合规性要求等因素,您将无法使用本项服务。

同意

拒绝

同意

拒绝

知情同意书

同意

不同意并跳过

工作人员正在审核中,
请您耐心等待
审核未通过
重新提交
完善信息
{{ item.question }}
确定
收集问题
{{ item.question }}
确定
您已通过HCP身份认证和信息审核
(
5
s)

β受体阻滞剂治疗高血压合并顽固性心绞痛分享一例 | 山东大学齐鲁医院青岛院区 王颖翠

2018-06-04作者:嘉莉经验
高血压

山东大学齐鲁医院青岛院区  王颖翠

【病史】

患者:刘某

性别:女

年龄:85岁

主诉:反复胸闷、胸痛、心慌10余年,加重7天

现病史:患者10余年前出现活动后胸闷、胸痛、心慌,伴恶心,无呕吐,休息后10分钟可缓解,曾于**医院就诊,考虑冠心病,给予阿司匹林肠溶片,美托洛尔,氟伐他汀,硝酸异山梨酯等药物治疗,上述症状反复发作。7天前,患者胸闷、胸痛较前加重,休息时亦可发作,来我院就诊,门诊以“急性冠脉综合征”收入病房。

既往史:患高血压10余年,最高达160/80mmHg。“糖尿病”20余年,目前应用阿卡波糖片,门冬胰岛素注射液等药物治疗,血糖控制不详。

【入院时情况及体格检查】


体温:36.2℃

血压:119/62mmHg

心率:106次/min

呼吸:24次/min

发育正常,营养中等,神志清楚,精神正常。语言清晰,表情自如,自主体位,正常面容。双肺听诊未闻及干湿性啰音,心浊音界正常,心律齐,心音低钝,各瓣膜听诊区未闻及病理性杂音。双下肢无浮肿

【影像学检查】

结论:

左房扩大

左室收缩功能减弱(LV 40mm  EF 38%)

二尖瓣返流(轻度)

三尖瓣返流(轻度)

主动脉瓣硬化并返流(轻度)

【其他辅助检查】


image015.jpg

【生化检查】



【颈部血管MRA】


image013.png

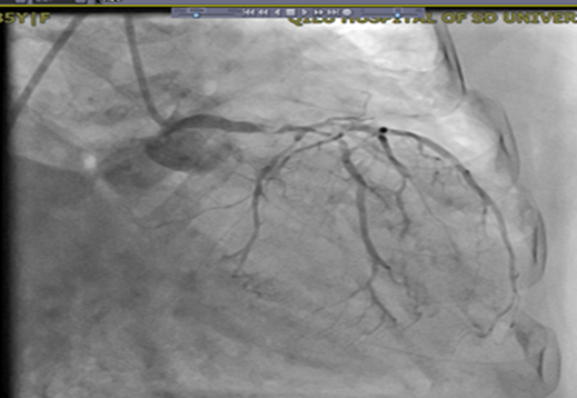
【冠脉造影】

RCA可见钙化影,弥漫性病变,近段狭窄70%,中段狭窄50%,远段狭窄60%,后降支开口95%狭窄。

image012.jpg

LM末端狭窄95%,前降支近段狭窄90%,远段狭窄85%。

LCX弥漫性病变,开口狭窄90%,近段狭窄80%。

【诊断分析】


诊断1:冠状动脉粥样硬化性心脏病

           急性冠脉综合症

           心功能II级(NYHA分级)

诊断2:高血压病(2级,很高危)

诊断3:2型糖尿病

诊断4:心律失常

           窦性心动过速

诊断5:多发脑梗死

诊断6:多发颈动脉硬化并狭窄

【治疗方案】


阿司匹林肠溶片       100mg             日1次

美托洛尔缓释片       47.5mg            日1次

瑞舒伐他汀钙片         10mg               日1次

单硝酸异山梨酯       50mg               日1次

培哚普利                2mg                 日1次

氯吡格雷                75mg               日1次

阿卡波糖片              50mg               日3次

曲美他嗪                 20mg                日3次

尼可地尔                 5mg                  日3次

低分子肝素钠           5000iu             q12h

硝酸异山梨酯注射液    50mg             微量泵持续泵入2天

【病情进展】

11月13日  14:44

患者入院两天,未诉胸闷、胸痛等不适。BNP测定:449.00Pg/ml,心电图广泛ST段压低,继续口服单硝酸异山梨酯,停硝酸异山梨酯注射液微量泵泵入,注意心梗三项结果。结果显示,三项都偏高。

11月17日   06:14

患者夜间21:50解大便时出现胸闷、憋气,大汗,心率110次/分,血压138/65mmHg,给予硝酸甘油舌下含服,症状缓解,给予硝酸异山梨酯注射液3mg/h持续泵入,00:15再次出现上述症状,调整硝酸异山梨酯注射液5mg/h,10分钟后缓解。06:10再诉胸闷、憋气,双肺满布干湿罗音,血压156/69mmHg,给予呋塞米20mg静推,硝酸异山梨酯注射液剂量调至7mg/h,10分钟后症状减轻。

11月20日   14:09

造影显示:LM末端狭窄95%,前降支近段狭窄90%,远段狭窄85%,LCX弥漫性病变,开口狭窄90%,近段狭窄80%,RCA可见钙化影,弥漫性病变,近段狭窄70%,中段狭窄50%,远段狭窄60%,建议外科搭桥。

11月21日   14:10

心外科会诊:同意贵科进行诊断及处理,患者高龄、合并多发脑动脉重度狭窄或闭塞、冠脉病情复杂,死亡率高,向患者及家属交代病情,患者家属选择药物保守治疗。嘱将氯吡格雷加量至75mg qd,继续口服单硝酸异山梨酯及持续静脉泵入硝酸异山梨酯注射液。

11月23日      14:39

术后第3天,无明显心绞痛发作。逐渐加量美托洛尔缓释片抗心肌缺血治疗,目前心率80次/分左右。心梗三项:血清肌红蛋白(急):43.63ng/ml,肌酸激酶同工酶:1.77ng/ml,肌钙蛋白T:322.20ng/L,升高。BNP:213.91Pg/ml。改硝酸异山梨酯注射液一日一次静脉泵入。

image020.jpg

11月25日   09:59

今晨未诉明显胸痛、胸闷等症状,心率84次/分,血压127/69mmHg,氧饱和度100%,心率偏快,嘱将美托洛尔缓释片由95毫克加量至142.5mg qd,培哚普利加量为4毫克qd,停用静脉硝酸异山梨酯注射液。

image022.jpg

12月08日   14:42

患者胸闷缓解,心率53次/分,血压131/67mmHg,明日出院。

image015.jpg

【调整治疗方案】

阿司匹林肠溶片             100mg             日1次

美托洛尔缓释片       142.5mg           日1次(3片)

瑞舒伐他汀钙                      10mg                日1次

单硝酸异山梨酯                   50mg                日1次

培哚普利                   4mg                  日1次

氯吡格雷                   75mg                 日1次

阿卡波糖片                   50mg                 日3次

曲美他嗪片                        20mg                 日3次

尼可地尔                     5mg                   日3次

【诊断及治疗方案解析】

患者,女,85岁

造影提示:左主干+三支病变

左心收缩功能减退

2型糖尿病

高血压

脑动脉多发性狭窄、闭塞

多发性脑梗死

【结语】

顽固性心绞痛定义为尽管给予最佳药物治疗仍存在进行性缺血症状且不适合(再次)传统血管重建的一种发病率日益增长的临床综合征。

资料表明:顽固性心绞痛发病率占行心导管检查患者的10~15%,年死亡率约3~4%。

顽固性心绞痛患者的治疗目的是改善生活质量。

心肌缺血传统治疗涉及增加冠脉血流、增加携氧能力和降低氧耗。

新型治疗目的在于调节心肌细胞代谢和冠脉血流再分配。包括新型介入技术(CTO病变的PCI、冠状静脉窦缩小器),应用细胞技术的血管新(再)生,冲击波疗法和神经调节治疗。
管理顽固性心绞痛患者的其他重要进展包括:精神心理调节和自我疗法、专科诊所高级管理和多学科共同管理。





200 评论

查看更多