查看更多
密码过期或已经不安全,请修改密码
修改密码
壹生身份认证协议书
同意
拒绝
同意
拒绝
同意
不同意并跳过
作者:首都医科大学附属北京天坛医院 杨中华
视网膜血管病伴白质脑病和多系统损害(Retinal vasculopathy with cerebral leukoencephalopathy and systemic manifestations,RVCL-S)是一种主要由TREX1基因突变引起的遗传性疾病。RVCL-S的组织学特征是中小直径(mediumand small-caliber)动脉和静脉的全身血管病变。
临床上,该病通常在35至40岁以后发病,以血管性视网膜病变、雷诺现象、偏头痛和多脏器功能障碍(包括肾病、肝病、贫血和亚临床甲状腺功能减退)为特征。
到目前为止,很少有研究描述神经影像学表现,这些报道主要集中在有症状的晚期RVCL-S患者中。先前的研究描述了3种病变类型:1)局灶-to-融合非强化白质病变(white matter lesions,WML),2)WML 伴点状强化,以及3)环形强化病变伴周围T2高信号(水肿/胶质增生)和/或弥散抑制。这些周围水肿的病变会变大并占位效应,称为假瘤。RVCL-S仍然是一种容易漏诊的疾病,部分原因是放射科医生缺乏认识。
到目前为止,对于出现症状之前以及症状性突变携带者,尚未有高质量系统性随访的神经影像学的报道。

图1 60岁男性,典型RVCL-S病变的MR成像特征。矢状位(A)和轴位FLAIR(B)可见脑室周围和深部WML。3D-T1加权Gd图像(C)可见右侧枕角旁的环形强化病变,左侧枕角旁点状强化病变(白色箭头)。在这些病变的中心可见点状SWI伪影(artifacts)(D)。病变内可见DWI高信号(E)和ADC低信号(F),为弥散抑制。

图2 60岁女性,基底节和小脑点状强化病变。A、右侧的壳核和尾状头点状强化病灶(白色箭头)。B、双侧小脑点状强化病变(白色箭头)。

图3 55岁女性,随访31个月期间病变呈长期强化和弥散抑制。基线时3D-T1加权Gd成像和DWI(A)显示右侧的点状强化病变,弥散抑制(白色箭头),31个月后(B)显示病变迁移(migrates)到右侧脑室(白色箭头)。此时,病变呈线样强化伴部分环形强化和弥散抑制(ADC 低信号,未提供图片)。

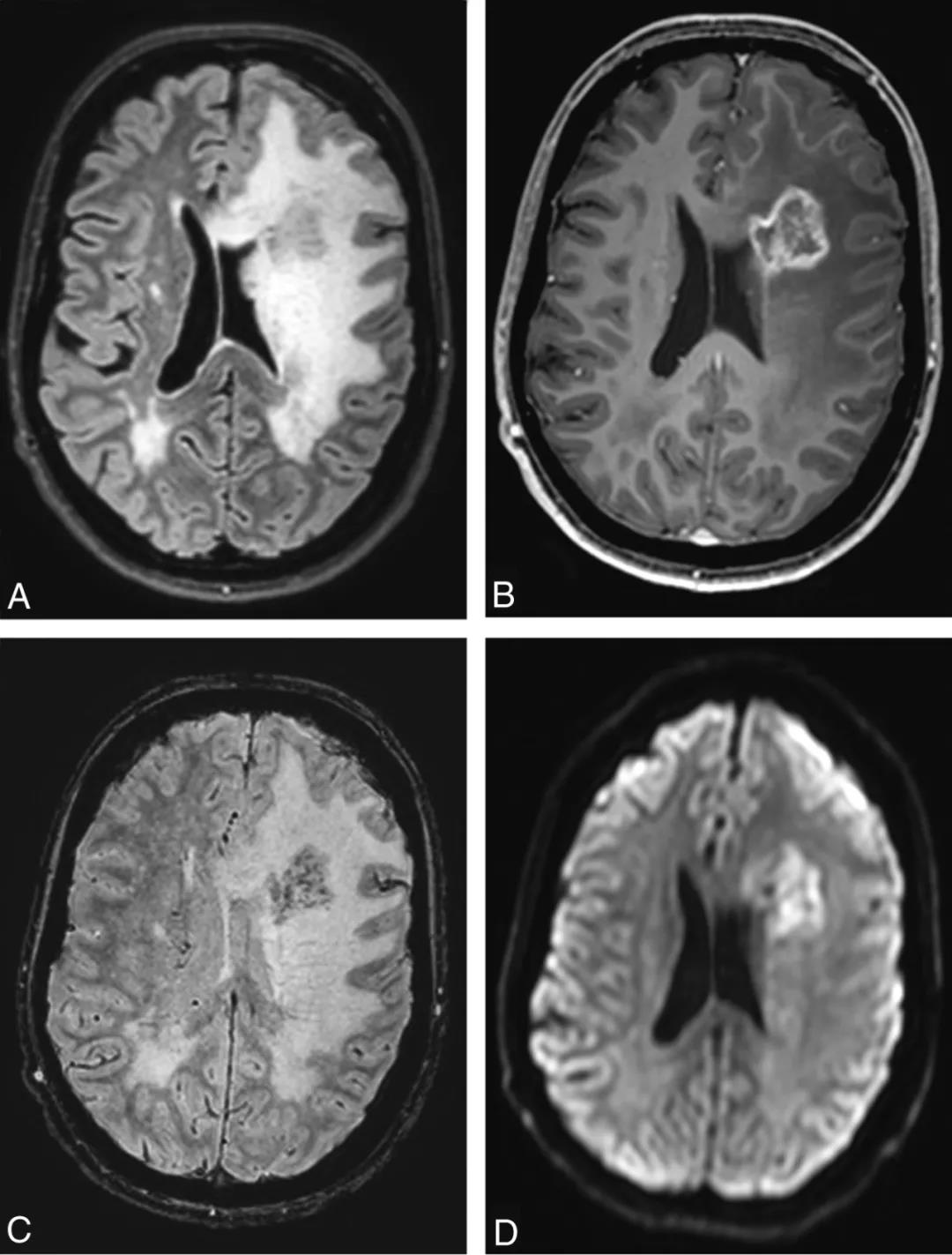
图4 45岁女性假瘤的影像学特征。直径30mm的环形强化病变,位于左侧额角外侧,病变中心可见多个点状磁敏感伪影和弥散抑制,周围广泛血管源性水肿伴占位效应(a,FLAIR. B,3DT1Gd. C,SWI. D,DWI)。
2021年9月,荷兰的Mark C. Kruit等在 AJNR 上报告了29例TREX1突变携带者(20~65岁)的磁共振成像结果,以及17例突变携带者(30~65岁)的随访结果。40岁以下的突变携带者表现出大量(notable number)的点状白质病变,但扫描结果通常不明显。从40岁开始,幕上病变演变为长期的强化(中位,24个月)和弥散抑制(中位,8个月)。在这些病变中,出现了中央磁敏感伪影(artifacts)(central susceptibility artifacts),至少部分对应于现有CT上的钙化。一些病变(n=2)还显示周围水肿和占位效应(假瘤)。小脑点状强化病变主要发生在50岁以上的个体。这些典型的神经影像学发现应有助于神经放射学识别RVCL-S。
来源:脑血管病及重症文献导读
查看更多