查看更多
密码过期或已经不安全,请修改密码
修改密码
壹生身份认证协议书
同意
拒绝
同意
拒绝
同意
不同意并跳过
作者:谭 蓉 姚昕辰 曾彩虹
DOI:10.3969/j.issn.1006-298X.2025.06.018
[基金项目]江苏省卫生健康委医学创新中心项目(CXZX202202)
[作者单位]南京医科大学金陵临床医学院(东部战区总医院) 硕士研究生(谭 蓉) 国家肾脏疾病临床医学研究中心(南京,210016)
[通信作者]曾彩虹(E-mail:zengch_nj@hotmail.com)
摘 要 14岁女性患者,确诊克罗恩病1年余,美沙拉嗪等药物治疗效果不佳,改为英夫利西单抗注射治疗。治疗6个周期后,患者出现血清肌酐升高。此后因发热咳嗽行抗感染治疗,血清肌酐进一步升高。肾活检提示急性间质性肾炎(AIN)。本文就克罗恩病合并AIN的原因展开讨论,探讨药物和其余可疑致病因素对AIN产生的影响。
关键词 急性间质性肾炎 英夫利西单抗 克罗恩病
TAN Rong, YAO Xinchen, ZENG Caihong
National Clinical Research Center for Kidney Diseases, Jinling Hospital, Jinling Clinical Medical College, Nanjing Medical University, Nanjing 210016,China
Corresponding author:ZENG Caihong(E-mail:zengch_nj@hotmail.com)
ABSTRACT A 14-year-old female is performed( was administered ) infliximab monoclonal antibody injection due to poor response to mesalazine, after she was diagnosed with Crohn’s disease(CD) one year ago. Serum creatinine rised(rose) after six cycles, which further elevated when she accepted(received) anti-infective therapy for fever and cough. Renal biopsy revealed acute interstitial nephritis(AIN).This article disscussed the etiology of CD complicated with AIN, exploring the possible effects of drugs and other suspected etiological factors on AIN.
Key words acute interstitial nephritis infliximab Crohn’s disease
现病史 14岁女性患者,因“腹痛腹泻2年余,发现血清肌酐(SCr)升高7月”,于2024-10-24收治入院。患者2023年4月因“腹痛、腹泻半年余”于当地医院行肠镜检查示,结肠段见多发溃疡面,周边黏膜充血略水肿,可见假性息肉样隆起形成,表面见粘苔附着;直肠段黏膜略充血,血管纹理不清,见多发充血红斑,可见黏液附着。诊断考虑克罗恩病可能性大,给予美沙拉嗪治疗2周余无明显疗效。2023-04-17再行小肠CT平扫+增强扫描,结果显示,回肠远段及回盲部、结肠肝曲、降结肠及乙状结肠局部肠壁增厚强化,考虑炎性肠病,伴肠系膜根部多发淋巴结影,诊断为克罗恩病(中重度活动期)。2023-04-20加用英夫利西单抗(安佰特)300 mg(5 mg/kg)静脉注射,于0周、2周、6周和14周分别给药,后续每8周给药一次。入院前累计予英夫利西单抗治疗10次(总剂量3 g),末次给药时间为2024-09-20。
2024年3月患者SCr为75 μmol/L(此前SCr 60 μmol/L),此后逐渐上升,至2024年9月查SCr 111 μmol/L。2024-09-27患者受凉后出现发热,峰值38.7 ℃,伴咳嗽,当地医院2024-10-02查SCr 162 μmol/L,C反应蛋白(CRP)102 mg/L,白细胞计数(WBC)16×109/L,血红蛋白(Hb)99 g/L,尿白细胞+,胸片提示支气管感染,考虑“脓毒血症、急性支气管炎、泌尿道感染、克罗恩病、中度贫血”,予头孢曲松抗感染等治疗1周。2024-10-10患者至本院消化内科就诊,查WBC 10.7×109/L,CRP 29.4 mg/L,Hb 91 g/L,SCr 153.4 μmol/L,估算的肾小球滤过率(eGFR)44 mL/(min·1.73m2),诊断为“克罗恩病、肾功能异常、贫血”。予雾化吸入、美沙拉嗪肠等治疗。2024-10-24收入我院肾脏病科。病程中患者无胸闷、气短,无关节痛,无频发口腔溃疡、皮疹,无视物模糊,无头痛头晕,无腹胀、腹痛、便血。入院前精神尚可,体力正常,食欲正常,睡眠正常,体重无明显变化,排便2~3次/d,性状如常,排尿正常。
既往史和家族史 无特殊。
体格检查 体温36.4 ℃,心率83次/min,呼吸17次/min,血压99/74 mmHg,体质量指数 23.75 kg/m2。发育正常,营养中等,皮肤无黄染和皮疹。全身浅表淋巴结无肿大,心律齐,两肺呼吸音清,腹部平软无压痛,双下肢无水肿。
实验室检查
血常规 Hb 89 g/L,WBC 9.5×109/L,红细胞计数3.6×1012/L,血小板计数493×109/L,淋巴细胞计数3.3×109/L,CRP 10.41 mg/L。
血生化 白蛋白40.80 g/L,球蛋白32.3 g/L,尿素氮5.52 mmol/L,尿酸360 μmol/L,SCr 190.06 μmol/L,eGFR 34 mL/(min·1.73m2),胱抑素C 1.59 mg/L,谷丙转氨酶4.00 U/L,谷草转氨酶7.00 U/L,三酰甘油1.29 mmol/L,高密度脂蛋白胆固醇0.53 mmol/L,β2微球蛋白5.1 mg/L,血电解质和血糖正常。
尿液 尿蛋白±,尿蛋白定量0.17 g/24h,红细胞计数18.8个/μL,白细胞计数12.3个/μL,上皮细胞计数5.0个/μL,中性粒细胞明胶酶相关脂质运载蛋白137 ng/mL,尿N-乙酰-β-D-氨基葡萄糖苷酶12.4 U/(g·Cr),视黄醇结合蛋白7.86 mg/L,尿浓缩功能535.60 mOsm/(kg·H2O)。
免疫学 IgM 1.53 g/L,IgG 18.40 g/L,IgA 2.81 g/L,IgE 136.00 g/L,IgG4 386.00 μg/mL,补体C3 1.11 g/L,补体C4 0.31 g/L,抗链球菌溶血素O 77.10 IU/mL,类风湿因子<20.00 IU/mL,抗核抗体滴度1∶256,抗双链DNA抗体、抗C1q抗体、抗肾小球基膜(GBM)抗体及抗中性粒细胞胞质抗体均阴性。
其他 血沉99 mm/h,降钙素原和白细胞介素6正常,总25羟维生素D 19.09 ng/mL,D二聚体0.72 mg/L。大便隐血阴性,血培养、痰培养阴性。
辅助检查 肾脏B超:左肾111 mm×53 mm×55 mm,右肾109 mm×38 mm×54 mm,皮质厚度不清,双肾轮廓欠规则,包膜连续完整,左肾内轻度肾盂肾盏扩张。肾脏CT:双侧肾脏大小正常,边缘凹凸不平呈波浪状改变。
肾活检
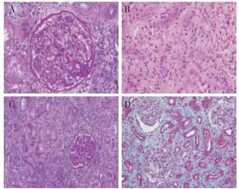
光镜 肾小球节段系膜区轻度增宽,多个球毛细血管袢开放欠佳,囊壁节段增厚、分层(图1A)。PASM-Masson:肾小球个别外周袢分层。肾小管间质重度急性病变伴慢性化病变,以间质炎症为主,灶性肾小管上皮细胞扁平、刷状缘脱落,灶性肾小管萎缩、基膜增厚伴小管数量减少,管腔内见蛋白管型、白细胞管型,间质明显增宽、纤维化+,大量炎细胞浸润,以单个核细胞为主,多灶性浆细胞、中性粒细胞,可见嗜酸性粒细胞(图1B),邻近肾小管见较多小管炎(图1C、D)。动脉未见明确病变。
图1 A:肾小球轻度系膜增生,袢略显皱缩(PAS,×400);B:间质见大量炎细胞浸润,单个核细胞为主,可见中性粒细胞、嗜酸性粒细胞(HE,×400);C:肾小管萎缩、基膜增厚伴小管数量减少,间质炎症细胞浸润伴小管炎(PAS,×200);D:灶性肾小管上皮细胞扁平、刷状缘脱落,间质区域增宽伴纤维化(Masson三色,×200)
免疫荧光 IgG、IgA、IgM、C3、C1q 均阴性。肾小管基膜(TBM)未见免疫球蛋白、补体沉积。间质血管未见免疫球蛋白、补体沉积。
免疫组化 高倍显微镜视野下计数肾间质平均细胞数目CD3+T细胞520个/mm2,CD4+T细胞324个/mm2,CD8+T细胞188个/mm2,B细胞284个/mm2,CD68+巨噬细胞1 488个/mm2,CD138+浆细胞124个/mm2(图2)。
图2 肾组织细胞免疫组化染色结果(IH,×200)
电镜 电镜下观察1个肾小球。肾小球节段系膜区增宽,系膜区未见电子致密物沉积。肾小球毛细血管袢皱缩、开放欠佳,袢腔内偶见中性粒细胞,GBM厚250~360 nm,节段基膜偏薄,厚170~240 nm。GBM内皮下和上皮侧未见电子致密物沉积。肾小球足细胞足突节段融合。个别肾小管萎缩、TBM增厚。间质见炎细胞浸润。
治疗及随访 患者入院后完善相关检查,排除禁忌后于2024-10-28行肾活检术。10月30日出现体温升高,峰值39.6 ℃,伴咳嗽、咳痰,先后予头孢哌酮钠舒巴坦钠和头孢他啶抗感染治疗,11月4日给予甲泼尼龙40 mg×3 d治疗,11月5日体温稳定恢复正常。11月7日至9日行甲泼尼龙500 mg×3 d,继以泼尼松40 mg/d,其间监测患者SCr水平逐渐降低(图3)。11月11日带药出院,予泼尼松40 mg/d口服。2025-05-20至本院随访,SCr 121 μmol/L,eGFR 58 mL/(min·1.73m2)。患者目前维持英夫利西单抗注射治疗,300 mg/次,频率从每8周1次调整为每3月使用1次,同时泼尼松逐渐减量至7.5 mg/d,2025-08-22外院查SCr 117 μmol/L。
图3 本例患者血清肌酐变化
诊疗分析 本例青少年女性患者,确诊克罗恩病1年余,行英夫利西单抗注射治疗6个周期(300 mg/次)后出现SCr进行性升高,肾活检提示急性间质性肾炎(AIN),光镜下见间质大量炎症细胞浸润,可见嗜酸性粒细胞,邻近肾小管见较多小管炎,免疫组化示CD3+ T细胞、CD4+ T细胞、CD8+ T细胞显著浸润。患者在感染发生前已经出现SCr升高,且肾间质可见少量中性粒细胞浸润,住院期间因合并感染致SCr进一步升高,抗感染及激素治疗后有所好转,结合患者病史和病理特征,考虑药物相关性AIN。
最终诊断 (1)AIN;(2)慢性肾功能不全伴急性肾损伤;(3)克罗恩病;(4)贫血。
AIN是一组短时间内发生肾间质炎症细胞浸润、间质水肿、肾小管不同程度受损伴肾功能不全为特点的临床病理综合征,临床通常表现为急性肾损伤,肾小球和肾血管多不受累或轻度受累。按照病因AIN分为药物诱导、感染介导、自身免疫相关和特发性四类。近年来,AIN的发生率呈上升趋势,药物诱导已经成为AIN最主要的致病因素。一项单中心大样本研究中该比例高达85.5%,抗生素、非甾体抗炎药、质子泵抑制剂等均为常见致病药物[1]。AIN缺乏特异性症状体征,但所有病例共通的核心表现为急性或亚急性肾损伤,若未及时干预,病情易进展为慢性肾脏病(CKD),对患者长期肾功能预后造成不良影响。药物性AIN肾活检病理组织中常见嗜酸性粒细胞,感染介导的AIN多见中性粒细胞,考虑自身免疫相关AIN时应关注组织中是否存在浆细胞和肉芽肿,当排除上述相关表现后,倾向于诊断特发性AIN。临床上较常出现多因素共同作用造成患者出现AIN的情况,因此,对于有明确特殊药物使用史、病程复杂且出现进行性SCr升高的患者,应对其致病因素进行深入探究[2-3]。
本例肾活检病理结果显示为AIN,呈肾小管间质重度急性病变伴慢性化改变,核心病变为间质炎症,光镜下可见间质大量炎症细胞浸润,以单个核细胞为主,伴多灶性浆细胞及中性粒细胞浸润,可见嗜酸性粒细胞;邻近肾小管见较多小管炎,符合AIN的典型病理特征。免疫荧光检测显示IgG、IgA、IgM、C3及C1q均为阴性,TBM与间质血管未见免疫球蛋白或补体沉积。临床自身抗体筛查及肾活检病理结果提示该患者肾损伤与自身抗体介导无关。
英夫利西单抗作为治疗克罗恩病的核心药物,其通过特异性拮抗肿瘤坏死因子α(TNF-α)发挥治疗作用,该药物的用药时间线与肾功能损害进程存在明确的关联。患者自2023年4月起接受英夫利西单抗治疗,肾功能损害的出现早于任何感染及抗感染治疗,此后呈持续渐进性上升趋势。这提示,在无高血压、糖尿病等其他肾损伤诱因的情况下,肾功能已出现损害。药物相关AIN的典型特征为用药后出现急性肾损伤,肾活检可见间质嗜酸性粒细胞浸润[2]。综合该患者的病程和病理表现,更倾向于考虑英夫利西单抗是该患者肾功能损害的初始诱因。此外,本例患者在慢性肾功能不全基础上,因“支气管感染”出现急性发热,导致SCr水平在短期内急剧攀升,这符合感染诱发原有肾损伤急性加重的特点。一方面,感染可通过病原体直接侵袭或释放毒素损伤肾脏;另一方面,系统性炎症激活可加剧局部的免疫炎症反应,形成二次打击。尽管后续的抗感染治疗亦为潜在肾毒性因素,但患者SCr峰值出现在抗感染治疗期间,且感染控制后肾功能随之改善。为进一步客观评估英夫利西单抗与AIN的因果关系,我们采用药物不良反应概率量表(Naranjo量表)进行量化分析[4]。本案例评分为6分(评分依据:有先前报道+1分;用药后合理时间出现反应+2分;排除其他主要原因+2分;有客观的活检证据+1分),达到“很可能”的等级。这一结果进一步支持了英夫利西单抗在本例AIN发生中的致病作用。
既往已有英夫利西单抗诱导AIN的病例报道[5-7]。日本1例克罗恩病患者经英夫利西单抗治疗4.5年后并发肾小管间质性肾炎(TIN),其肾功能损害同样表现为用药后进行性加重,最终通过病理特征及停药观察证实药物为致病因素[7]。曾有研究指出,英夫利西单抗可能通过激活T细胞介导的免疫反应诱发炎症[8]。目前尚未有模型来证实这种假定,已经有研究者提出了几种潜在的免疫机制作为药物诱发迟发型超敏反应(DTH)的触发因素[9-10]。最被广泛认可的理论之一是半抗原的形成。一些药物通过共价键与蛋白质结合而具有免疫原性,从而刺激免疫反应。这个过程可以直接发生在肾脏局部,半抗原也可以从外周被捕获,通过肾小管上皮细胞被滤过和吞噬,将抗原呈递给肾间质中的树突状细胞,引起肾损伤和T细胞介导的炎症损伤[11]。药物本身或其代谢产物中的特殊结构也可能会刺激T细胞,产生炎症反应。值得注意的是,还有一些病例和抗体介导的损伤相关[12]。本例患者肾活检病理免疫组化提示肾间质CD4+T细胞、CD8+T细胞增多,符合T细胞介导的DTH病理特征。其在使用英夫利西单抗治疗10个月后出现SCr持续升高,高度怀疑是药物引起的AIN。但是该患者的AIN是否与英夫利西单抗引起的T细胞激活相关,仍然需要更多的病例报道、药物激发试验和生物模型等来验证。
长期以来,相关研究揭示了炎症性肠病(IBD)和肾脏损害之间存在病理生理上的联系。在IgA肾病之后,TIN是IBD患者肾活检中发现的另一常见诊断[13-14]。一项关于IBD患者肾脏表现的队列研究显示,患者出现的肾脏受累中,TIN较常出现[15]。目前普遍认为美沙拉嗪和TNF-α拮抗剂是引起IBD患者肾脏损害的罪魁祸首,且损害与暴露剂量及暴露时间无关。然而,有报道称,从未接触过任何IBD药物的IBD患者出现TIN[16]。对于有药物治疗史且未进行停药观察的患者来说,作为肠外表现的肾功能障碍和因药物治疗造成的肾损伤之间缺乏明确界线[17]。本例患者经治疗后克罗恩病的症状和相关检验、检查结果均较前好转,并且克罗恩病肠外肾脏表现以淋巴细胞浸润为主,嗜酸性粒细胞少见,暂无证据支持其肾损伤为克罗恩病进展的肠道外表现。在一项对IBD患者的肾活检样本的回顾性研究中共有16例为间质性肾炎,其中7例被归类为急性,5例为肉芽肿,4例为慢性。所有肉芽肿性间质性肾炎病例均有接触过氨基水杨酸盐(包括美沙拉嗪)的病史[13]。患者自诊断克罗恩病起短期使用美沙拉嗪,美沙拉嗪在本例中作为独立致病因素的可能性相对较低,但不能完全排除其与英夫利西单抗可能存在协同致病效应。
研究表明,英夫利西单抗维持治疗能更好地实现黏膜愈合的治疗目标[18]。指南建议对于使用抗TNF制剂诱导缓解的克罗恩病患者,在维持期应该继续使用抗TNF制剂[19]。因此,本病例在严密监测下,选择在糖皮质激素覆盖下继续使用英夫利西单抗,并成功维持了克罗恩病缓解与肾功能稳定,是一个基于临床利弊权衡的合理决策。
小结:本例青少年克罗恩病患者在英夫利西单抗维持治疗期间出现AIN,其病因错综复杂,高度怀疑与英夫利西单抗的药物不良反应相关,并由后续的感染触发急性加重。这提示临床医生,对于使用生物制剂治疗的自身免疫病患者,必须长期、规律地监测肾功能。一旦出现不明原因的肾功能损害,应尽早考虑肾活检以明确诊断。在治疗上,需全面评估所有可能的致病因素,如停用可疑药物、控制感染,并在此基础上,对于活动性的AIN,及时启动糖皮质激素治疗是改善肾功能预后的关键。
参考文献
【引用本文】谭蓉、姚昕辰、曾彩虹. 英夫利西单抗治疗克罗恩病并发急性间质性肾炎[J]. 肾脏病与透析肾移植杂志, 2025, 34(6): 595-595.
TAN Rong, YAO Xinchen, ZENG Caihong. Crohn’s disease complicated with acute interstitial nephritis during infliximab maintenance treatment[J]. Chinese Journal of Nephrology, Dialysis & Transplantation, 2025, 34(6): 595-595.

查看更多