查看更多
密码过期或已经不安全,请修改密码
修改密码
壹生身份认证协议书
同意
拒绝
同意
拒绝
同意
不同意并跳过
基本资料
性别:女性
年龄:44岁
身高:168cm
体重:64kg
主诉:乙状结肠肿物姑息切除术后1个月
现病史:2018年4月初开始无明显诱因出现左下腹部阵发性绞痛,同时伴有排气、排便减少,6月行结肠镜检查提示:距肛门30cm处结肠占位性病变,取病理活检提示癌变。2018年6月25日急诊行全麻下剖腹探查+乙状结肠癌切除术。术中发现大网膜触及多发质硬性结节,最大者约5×4cm大小,取组织送病理。乙状结肠可见一大小约6×5cm肿块,质硬,侵及浆膜层,与周围组织无侵及粘连,直肠子宫凹陷可见一大小约1cm硬性种植结节,术中诊断乙状结肠癌伴腹腔转移,遂行乙状结肠姑息切除术。
既往史/家族史:父亲因心肌梗死去世、母亲因肺癌去世。
辅助检查
体格检查:
腹部平坦,下腹部正中可见一长约15cm陈旧性手术瘢痕,愈合良好,未见肠型及蠕动波,全腹软,未触及包块,无压痛及反跳痛,肝脾肋下未触及,胆囊未触及,肝区叩击痛(-),腹部移动性浊音(-),肠鸣音正常。
相关驱动基因检测:K-RAS p.G12D突变、N-RAS/B-RAF野生型
实验室检查:
血尿便常规、肝肾功、心肌酶谱、心电图正常均正常
消化道肿瘤标志物如下:

影像学检查:
2018-8-1胸腹部CT:乙状结肠癌术后改变,腹腔、盆腔多发结节,考虑转移瘤,右侧大网膜结节,病灶约5*4cm。











入院诊断:
1. 乙状结肠溃疡型中分化腺癌(含粘液腺癌成分)
姑息术后 pT4aN1M1c IVc期
2.大网膜转移癌
3.腹腔、盆腔多发转移结节
4. MSS、KRAS突变、NRAS/BRAF野生
治疗方案:
一线治疗方案:
XELOX+贝伐珠单抗 × 2周期 (2018.8.7--2018.9.10)
具体:贝伐珠单抗400mg(7.5mg/kg)ivgtt d1
奥沙利铂 220mg(130mg/m2)ivgtt d1
卡培他滨 1.5g po 2/日 d1-14 21d/cycle
病理检查结果:
1.乙状结肠溃疡型中分化腺癌(含粘液腺癌成分,约占80%),淋巴结见转移(2/20);
2.大网膜腺癌结节。
二线治疗方案:
伊立替康+雷替曲塞+贝伐珠单抗 × 8周期 (2018.10- 2019.4)
具体:贝伐珠单抗 400mg(7.5mg/kg)ivgtt d1
伊立替康 300mg(180mg/m2)ivgtt d1
雷替曲塞 5mg (3mg/m2)ivgtt d1
病理检查结果:
1.乙状结肠溃疡型中分化腺癌(含粘液腺癌成分,约占80%),淋巴结见转移(2/20)
2.大网膜腺癌结节。
二线治疗方案:
雷替曲塞+贝伐珠单抗 × 4周期 (2019.6- 2019.9)
具体:贝伐珠单抗 400mg(7.5mg/kg)ivgtt d1
雷替曲塞 5mg (3mg/m2)ivgtt d1
病理检查结果:
1.乙状结肠溃疡型中分化腺癌(含粘液腺癌成分,约占80%),淋巴结见转移(2/20);
2.大网膜腺癌结节。
三线治疗方案:
瑞戈非尼片+替吉奥胶囊 × 6周期 (2019.10 - 2020.04)
具体:瑞格非尼片 120mg po 1/日 d1-21
替吉奥胶囊 40mg po 2/日 d1-14
疾病进展检查结果:
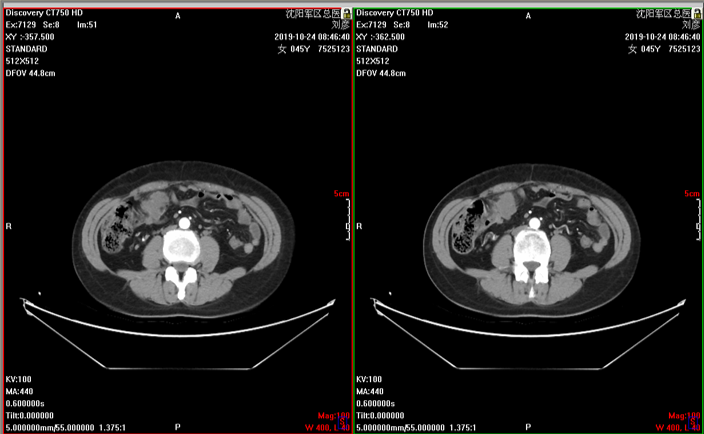
2019-10-24胸腹部CT:双肺未见异常,乙状结肠癌术后改变,腹腔、盆腔多发结节,考虑转移瘤,较前增多、增大。











病例总结:
本例患者中年女性,结肠癌晚期经一线、二线多周期治疗后,疾病均出现进展,目前正处于瑞戈非尼三线治疗中。既往治疗均严格依据NCCN结直肠癌诊治指南、CSCO结直肠癌诊治指南等国内外相关治疗指南及专家共识。
mCRC患者的治疗手段一直是以化学治疗、靶向治疗的联合应用为主,为晚期患者带来显著的生存获益。但是由于肿瘤细胞的自我增殖,大部分患者均会出现二线治疗失败、疾病进展,而三线治疗可选的药物相对匮乏,近年来,瑞戈非尼等多靶点酪氨酸激酶抑制剂(TKI)给既往三线治疗一药难求的时代填补了空白,给患者带来新的希望!
查看更多