查看更多
密码过期或已经不安全,请修改密码
修改密码
壹生身份认证协议书
同意
拒绝
同意
拒绝
同意
不同意并跳过
基本资料
性别:男
年龄:62岁
主诉:发现腹部包块1周
初诊日期:2017.05.01
既往史 /个人史/家族史:无特殊
辅助检查
查体:
上腹部近肝左缘可触及一包块,质韧,大小约4cm*3cm,压痛阳性
实验室检查:
CEA 221.21ng/ml, CA-199 49.31U/ml
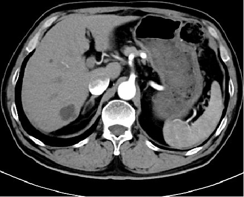
影像学检查:
内镜:结肠肝曲新生物伴肠腔狭窄(距肛缘68cm左右)


肠镜病理:中分化腺癌
诊断:结肠腺癌(横结肠近肝曲段 右半结肠)
临床分期:cT4bN0M0 IIB期
治疗策略:
手术?
新辅助治疗?
治疗过程:
2017年05月04日在全麻下进行右半结肠切除术+横结肠切除术+胃部分切除术+回肠结肠吻合术+区域淋巴结清扫术+局部灌注化疗
术后病理:(横结肠)中分化腺癌,侵及肠壁全层及浆膜外脂肪组织、邻近胃壁肌层和粘膜下层;结肠切缘、小肠切缘、胃壁切缘均未见癌组织累及。送检(肠系膜组织)中找及淋巴结3枚及肠旁找及淋巴结15枚,均未见癌组织转移。





MSI检测: MLH1+,MSH2+,PMS2+,MSH6+
基因检测结果: KRAS突变型,NRAS野生型,Braf野生型
2017.06.01-2017.09.02 CAPEOX*5c
奥沙利铂过敏,后于2017.09.23-2017.11.06 CAPE*3c


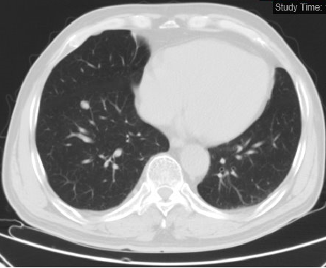
2018.05.02 肺部新增多发小结节,腹部未见肿瘤复发



疗效评价:


2018.05.10-2018.7.08 mXELIRI+BEV *3c
影像学评价:SD
2018.05.02:


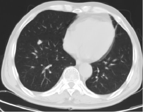
2018.07.20:


疗效评价:


影像学评价:PD
2018.07.20:


2018.10.08:


疗效评价:


2018.10.10 瑞戈非尼
80-120-160 qd 21/28
影像学评价:PD
2018.10.08:


2019.03.07:

疗效评价:


2019.05.09:


疗效评估:



治疗经过总结:

查看更多