查看更多
密码过期或已经不安全,请修改密码
修改密码
壹生身份认证协议书
同意
拒绝
同意
拒绝
同意
不同意并跳过
肺循环异常
肺循环与心脏相通,因此心脏疾病必然导致肺循环的异常改变,常见的有肺充血、肺少血、肺动脉高压、肺静脉高压等。
1、肺充血
即肺循环血量增加,多见于左向右分流的先天性心脏病,如房、室间隔缺损及动脉导管未闭。主要表现为肺动脉扩张,肺纹理增粗、边界较清,肺动脉段膨隆,肺门增大,若右下肺动脉管径大于15mm,呈“肺门截断”现象,主要见于肺动脉高压,如肺源性心脏病;如见“肺门舞蹈”征,即肺门血管膨胀性搏动增强,则多见于左向右分流的先天性心脏病。

肺充血X线图像:正位片示两肺纹理增多增粗,两侧肺门增大
2、肺少血
指肺循环血量减少,多见于先天性右心系统阻塞性疾病,如肺动脉瓣狭窄、法洛四联症等。主要表现为肺纹理稀少、变细,肺门影缩小,右下肺动脉变细,肺野透光度增高。

肺少血X线图像:正位片示两肺纹理明显减少,两侧肺门缩小
3、肺动脉高压
指肺动脉收缩压增高,主要是由肺动脉血流量增加、心排血量增加、肺小动脉阻力增加及胸、肺疾病(如胸廓畸形、肺纤维化、慢支炎)等引起。主要表现为肺动脉段膨隆、肺门区血管增粗,右下肺动脉管径增粗,常大于15mm,可伴有右心室增大。

肺动脉高压X线图像:正位片示心脏增大呈“二尖瓣型”,肺动脉段突出,右下肺动脉明显增粗

肺动脉高压CT图像:CT横断面示肺动脉干及右肺动脉管径明显增粗,并大于同层面主动脉管径
4、肺静脉高压
指肺毛细血管-肺静脉压超过10mmHg,如超过25mmHg时血浆外渗则会引起肺水肿。主要由左心房阻力增加(如二尖瓣狭窄)、左心室阻力增加(如主动脉瓣狭窄)、肺静脉阻力增加(如肺静脉狭窄)等引起。
5、肺淤血
由于肺静脉回流障碍,致肺毛细血管扩张、淋巴回流受阻,见于二尖瓣膜病和左心室衰竭等疾病。主要表现有肺门影增大、模糊,肺野中外带、双上肺纹理明显增多,边缘模糊,呈网状改变。
6、间质性肺水肿
由于肺毛细血管内的血浆较大量渗透到肺间质所引起的肺水肿。主要表现为肺门轮廓不清,肺纹理模糊,肺野密度增高,肺野内可看到细小网状影及小叶间隔线。
7、肺泡性肺水肿
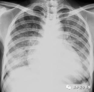
表现为两侧肺野内见大片阴影,边缘模糊,内中带较多,典型者呈两侧对称分布,表现为蝶翼状,常见于急性左心衰竭和尿毒症。

肺水肿X线图像:正位片示双肺呈大片阴影,右侧较明显,心影亦见增大

肺水肿CT图像
来源:新乡医学影像
查看更多