壹生大学

壹生身份认证协议书

本项目是由壹生提供的专业性学术分享,仅面向医疗卫生专业人士。我们将收集您是否是医疗卫生专业人士的信息,仅用于资格认证,不会用于其他用途。壹生作为平台及平台数据的运营者和负责方,负责平台和本专区及用户相关信息搜集和使用的合规和保护。
本协议书仅为了向您说明个人相关信息处理目的,向您单独征求的同意,您已签署的壹生平台《壹生用户服务协议》和《壹生隐私政策》,详见链接:
壹生用户服务协议:
https://apps.medtrib.cn/html/serviceAgreement.html
壹生隐私政策:
https://apps.medtrib.cn/html/p.html
如果您是医疗卫生专业人士,且点击了“同意”,表明您作为壹生的注册用户已授权壹生平台收集您是否是医疗卫生专业人士的信息,可以使用本项服务。
如果您不是医疗卫生专业人士或不同意本说明,请勿点击“同意”,因为本项服务仅面向医疗卫生人士,以及专业性、合规性要求等因素,您将无法使用本项服务。

同意

拒绝

同意

拒绝

知情同意书

同意

不同意并跳过

工作人员正在审核中,
请您耐心等待
审核未通过
重新提交
完善信息
{{ item.question }}
确定
收集问题
{{ item.question }}
确定
您已通过HCP身份认证和信息审核
(
5
s)

按图索骥,基因揭秘——一例线粒体神经胃肠型脑肌病的八年误诊之路 | 罕见病临床思辨

2026-03-05作者:论坛报小塔资讯
原创

作者:中南大学湘雅三医院消化内科  聂凯  艾飞艳  王晓艳

PART.01

病例介绍

第一次就诊:被忽视的腹胀信号(2013-2019

患者马某某,女性,55岁,湖南湘西人。2013年初无明显诱因出现反复腹胀,初起症状隐匿,未予重视。2015年腹胀加重,伴餐后早饱、嗳气,当地医院行相关检查考虑消化不良,予促动力药及消化酶治疗后症状稍有缓解,但腹胀仍反复发作。2年前受凉后出现腹泻,大便2~3次/天,为糊状便,伴腹胀、反酸嗳气、乏力、头晕,无黏液脓血便、黑便便血,无腹痛、恶心呕吐、里急后重等不适,至当地医院就诊,大便OB阳性、中度贫血,胃镜示:胆汁反流性胃炎,肠镜未见异常。予以护胃、止血、补充造血原料等对症支持治疗,好转出院。患者自幼体形消瘦,家族中父母及祖父母均为近亲结婚(表兄妹),其姐亦有类似消瘦体型。这一重要的遗传背景在当时未被充分重视,为后续诊断埋下伏笔。

病例特点初析: 中年女性,慢性腹胀,初始症状不典型,按功能性消化不良治疗效果不佳。家族史提示近亲婚配,但缺乏特异性指向。

第二次就诊:消化道出血敲响警钟(2019-2020

201912月,患者因“腹泻2年,大便隐血持续阳性首次就诊于我院中医科。腹泻表现为每日2~3次糊状便,无黏液脓血,伴乏力、头晕。查血红蛋白76g/L,大便OB+)。小肠CTE显示:回肠第2~3段肠壁稍均匀增厚,强化扫描黏膜面明显强化,邻近肠系膜多发肿大淋巴结(大者短径约0.9cm);十二指肠降段憩室。T.SPOT-TB+),但结核抗体、PPD皮试均阴性。

当时诊断困境: 小肠CTE虽提示炎性改变,但缺乏典型克罗恩病(CD)的纵行溃疡、铺路石样改变;结核筛查呈矛盾结果;患者拒绝进一步行胶囊内镜或小肠镜检查。经艾灸、护胃及补充造血原料等对症治疗,症状部分缓解后出院,未能明确诊断。

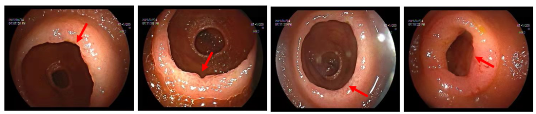
图1 胶囊内镜(胶囊运行4小时23分至12小时1分,可见散在多个片状、横行或纵行糜烂)

转折点: 2020年4月再次因腹胀腹泻就诊于当地医院,完善大便OB阳性,胶囊内镜(胶囊运行4小时23分至12小时1分,可见散在多个片状、横行或纵行糜烂),内镜诊断:1.小肠炎 2.小肠血管显露 3.小肠憩室。入院后予以输血、调节肠道菌群、补铁等对症支持治疗。出院诊断:1.小肠病变性质待定,克罗恩病待排,2.缺铁性贫血,3.胆汁反流性胃炎,4.低蛋白血症。2020年10月,患者因同样原因再次入住当地中医院,查大便OB仍阳性,贫血持续存在。此时,消化科医生首次提出“小肠疾病导致慢性失血”的假设,但仍未跳出“炎症性肠病”的思维定式。

第三次就诊:MDT陷入诊断僵局(20217月)

2021年7月,患者第一次入住我科。入院查体:营养不良,贫血貌,BMI 16.2kg/m²。实验室检查:Hb 68 g/L,白蛋白28.5 g/L,CRP 55.92 mg/L,ESR 39 mm/h。三次大便培养、CMV、艰难梭菌、免疫全套均阴性。ANA 1:160阳性(颗粒型),EB-DNA 1.171E+03拷贝/ml。小肠CTE复查显示回肠病变同前,未见进展。

图2 经肛小肠镜检查发现空肠远端及近段回肠多发环形狭窄,散在糜烂及不规则溃疡,溃疡最大径约0.8 cm,呈横向分布。

关键检查揭晓: 经肛小肠镜检查发现空肠远端及近段回肠多发环形狭窄,散在糜烂及不规则溃疡,溃疡最大径约0.8 cm,呈横向分布。活检病理示:检材零碎的小肠黏膜,局灶绒毛稍圆钝及隐窝延长,偶见分支,间质水肿,未见明显肉芽肿及非干酪样坏死。

MDT首次讨论:首次讨论倾向于隐源性多灶性溃疡性狭窄性小肠炎(CMUSE)。消化内科、影像科、病理科联合讨论认为,病变呈节段性分布、以狭窄为主、病理缺乏典型CD表现,倾向于“隐源性多灶性溃疡性狭窄性小肠炎(CMUSE)”。然而,CMUSE多为中年发病,且对激素反应良好,与患者55岁发病、病程迁延8年不符。诊断仍存疑虑,建议密切随访。

第四次就诊:发热危机与诊断突破(20219月)

2021年9月3日,患者因“发热半月”再次入院。体温最高达40℃,伴咳嗽、咳痰。查体:双肺呼吸音粗,右肺少许湿啰音。血常规:WBC 8.2×109/L,RBC 2.63× 1012/L,Hb降至68 g/L,PCT 0.31 ng/ml。胸部CT示双肺炎症,心包少量积液。

感染筛查迷局: 全血培养阴性,痰培养示大肠埃希菌及热带假丝酵母菌。考虑真菌为机会性感染,先经验性予哌拉西林他唑巴坦抗感染后体温恢复正常,但腹胀、腹泻无改善,消化道症状与感染不同步。

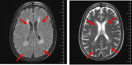
神经科会诊意外发现:神经内科会诊时详细追问病史,患者诉近年出现进行性听力下降、手足麻木,查体发现腱反射减弱。神经肌电图提示:多发慢性周围神经病,运动与感觉神经均有受累,以下肢为主;脱髓鞘伴轴索损害。头颅MRI示脑白质病变。

 图3  头部MRI提示脑白质病变

诊断线索串联 消化症状(腹泻、腹胀、慢性失血)+恶病质(BMI 16.2)+周围神经病变+听力下降+脑白质病变+近亲婚配家族史,高度提示线粒体神经胃肠型脑肌病(MNGIE)

图4  基因检测确诊: 外周血全外显子测序发现TYMP基因c.866A>G(p.His289Arg)纯合突变,其父母均为杂合携带者。

基因检测确诊: 外周血全外显子测序发现TYMP基因c.866A>G(p.His289Arg)纯合突变,其父母均为杂合携带者。血浆脱氧胸苷(dThd)水平检测达8.6μmol/L(正常<0.05),脱氧尿苷(dUrd)12.3 μmol/L(正常<0.05)。白细胞胸苷磷酸化酶(TP)活性检测<5%正常值。最终确诊为线粒体神经胃肠型脑肌病(MNGIE)。

PART.02

诊疗提升

关键问题剖析

问题一:为何MNGIE如此易误诊为炎性肠病?

MNGIE与CD/UC在消化道表现上有显著重叠:两者均可表现为腹痛、腹泻、肠壁增厚、溃疡形成。

但MNGIE有其独特特征,包括以下4个方面。

1.  疾病谱更广:除肠道症状外,常合并眼外肌麻痹、周围神经病、听力下降、脑白质病变等多系统损害。

2.  病理特征不同:MNGIE肠黏膜活检表现为绒毛钝缩、隐窝延长,但无肉芽肿、无裂隙样溃疡。

3.  影像学差异:MNGIE的小肠病变以均匀增厚为主,强化明显,但狭窄相对均匀,瘘管、脓肿少见。

4.  家族史关键:本例患者父母近亲婚配是重要诊断线索,CD则多为散发。

问题2:如何把握基因检测的时机与指征?

本病例从首次就诊到确诊历时8年,关键转折在于MDT时主动提出基因检测。我们建议对以下“预警红线患者应尽早行基因筛查:

•  小肠疾病+神经系统症状(周围神经病、眼肌麻痹、听力障碍);

•  不明原因消瘦(BMI<18+慢性消化道症状;

•  近亲婚配家族史+早发消化系统疾病;

•  常规IBD治疗无效或反应不佳;

•  头颅MRI提示脑白质病变。

问题3:MNGIE的阶梯式诊断流程如何建立?

参考国际MNGIE诊断标准,推荐以下流程:

  • 第一阶段(临床筛查):同时存在胃肠动力障碍、恶病质、神经系统症状三联征;

  • 第二阶段(实验室筛查):血浆dThd>3 μmol/LdUrd>5 μmol/L;

  • 第三阶段(功能检测):白细胞TP酶活性降低;

  • 第四阶段(基因确诊):TYMP基因纯合或复合杂合突变;

本病例符合全部四阶段标准,诊断等级为确诊。

背景知识补充

MNGIE:被低估的罕见病

MNGIE是一种常染色体隐性遗传病,由TYMP基因突变导致胸苷磷酸化酶(TP)活性缺失,造成血浆脱氧核苷蓄积,进而损害线粒体DNA复制。全球报道不足200例,患病率约1/1,000,000。

临床分型与预后:

•  早发型(<40岁):病情进展迅速,平均生存期35-37岁

•  晚发型(>40岁):症状较轻,本例55岁发病属于罕见晚发型

•  存活率:>50岁患者5年存活率仅5%,本例确诊时已属疾病晚期

消化内科医师必须警惕的特征:

1.  假性肠梗阻:约57%患者以胃肠道症状首发,表现为腹胀、呕吐,但肠镜常无明显异常

2.  吸收不良:由于肠壁平滑肌线粒体功能障碍,导致营养吸收障碍,表现为低蛋白血症、贫血

3.  对IBD治疗无反应:激素、免疫抑制剂治疗无效是本病的"反向指征"

各科室专家点评

消化内科点评:

本病例最深刻的教训在于,当我们面对“不典型IBD”时,应建立“诊疗时钟”概念——若规范治疗3个月无效,必须重新审视诊断。MNGIE与IBD的核心区别在于多系统受累,特别是神经系统症状的隐匿性出现。建议对所有慢性小肠疾病患者常规询问听力、视力变化及家族史。

神经内科点评:

患者周围神经病变以轴索损害为主,伴脱髓鞘改变,这是MNGIE的典型电生理特征。我们遇到不明原因的慢性进行性眼外肌麻痹或周围神经病时,也应主动追问消化道症状。跨科室的'症状串联'是诊断罕见病的关键。

医学遗传科点评:

近亲婚配家族史是本病例的诊断突破口。TYMP基因c.866A>G突变在中国南方人群中携带率约0.3%,近亲婚配使纯合子概率提升至25%。对于基层医院,当遇到家族聚集的慢性消耗性疾病,应首选家系图谱分析,再决定基因检测范围。

营养科点评:

患者入院时NRS-2002评分6分,重度营养不良。MNGIE的营养支持有其特殊性:需避免过度喂养加重代谢负担,推荐中等热量密度25 kcal/(kg·d)、高蛋白1.5 g/(kg·d)的肠内营养配方。本例患者经3个月营养干预,白蛋白从28.5 g/L升至35.2 g/L,为后续治疗奠定基础。

经验总结与临床启示

01

诊断思维的“三线突破”原则:

•  一线:常见疾病(IBD)→规范治疗无效时

•  二线:少见疾病(CMUSE、肠结核、血管炎)→MDT仍不能解释时

•  三线:罕见病(MNGIE、先天性失氯腹泻)→必须寻找“red flag”(红旗征)

02

家族史的“三维挖掘”:

•  深度:追问三代以内近亲婚配史

•  宽度:询问所有血缘亲属的相似症状

•  高度:绘制家系遗传图谱,标注患者表型

03

多学科协作的“时间窗口”:

本病例从首次MDT到确诊历时2个月,关键在于第二次MDT时主动邀请神经内科参与。建议对复杂小肠疾病,MDT应常规包含神经科、遗传科、营养科,实现"一站式"评估。

04

 罕见病诊断的“5年生存率”警示:

MNGIE虽罕见,但一旦漏诊,患者将失去接受造血干细胞移植的机会。消化科医生应成为罕见病的“守门员”,当遇到“IBD不典型”时,要敢于怀疑、勇于求证。

最终诊断

01

线粒体神经胃肠型脑肌病(MNGIE,晚发型)

02

慢性中度失血性贫血(缺铁性贫血)

03

低蛋白血症(重度营养不良)

04

双肺肺炎(细菌感染)

05

周围神经病变(轴索损害伴脱髓鞘)

专家小结

中南大学湘雅三医院消化内科王晓艳教授点评:

本病例的“一波三折”本质上是罕见病诊断困难的缩影。第一次曲折在于将MNGIE误认为功能性消化不良;第二次曲折在于CTE表现误导为IBD;第三次曲折在于发热感染掩盖了原发病;第四次曲折才通过MDT和基因检测揭晓真相。整个过程历时8年,给患者及家庭带来巨大负担。

四大启示

1.  建立“诊断时钟”:对不明原因消化道症状,若2年内不能确诊,必须启动罕见病筛查流程

2.  强化“系统思维”:消化道症状永远不是孤立的,必须主动寻找肠外表现

3.  重视“遗传背景”:在边远贫困地区,近亲婚配仍较常见,这是诊断常染色体隐性遗传病的重要线索

4.  推动“技术下沉”:血浆dThd/dUrd检测并非常规项目,建议在有条件的中心推广,建立区域检测网络

本病例的成功诊断,体现了MDT在罕见病诊治中的核心价值。未来,我们应建立MNGIE患者登记制度,开展多中心临床研究,为更多患者带来生的希望。

作者简介

截屏2026-03-02 09.51.59.png
王晓艳
中南大学湘雅三医院

湘雅三医院消化内科主任、国家临床重点专科学科带头人、二级教授、博导

“湖南省医学领军人才”“湖南省创新群体带头人”

中华医学会消化病学分会 委员

中国医师协会消化医师分会 常务委员

湖南省医学会消化病学委员会 主任委员

中华医学会消化内镜学分会大数据协作组 副组长

中华医学会消化病学分会IBD学组 委员

湖南省炎症与肿瘤重点实验室 主任

湖南省消化内镜微创诊治临床医学研究中心 主任

湖南省医学会超声内镜学组 组长

主要从事消化系统疾病内镜诊治、消化系统炎症与肿瘤的基础及临床研究。擅长EUS、ESD及ERCP等内镜诊治技术。主持国家自然科学基金区域重点项目及面上项目7项,以通讯作者在Cell metabolism、Nature Communications、EClinicalMedicine、Diabetes Care等期刊发表SCI论文近100篇,IF>10分的18篇。获湖南省科技进步奖及教学奖5项,获国家专利7项,转化1项。

截屏2026-03-02 09.46.35.png
艾飞艳
中南大学湘雅三医院

中南大学湘雅三医院消化内科博士,副主任医师

中国医师协会内镜医师分会小肠内镜学组委员

湖南省康复医学会消化病康复专业委员会肠道微生态学组副组长

湖南省女医师协会肠道微生态健康专委会常委

湖南省女医师协会消化专委会委员

湖南省健康管理学会疑难肠病专委会委员

湖南省小肠疾病诊疗联盟秘书

湖南省IBD医师联盟成员

截屏2026-03-02 09.49.10.png
聂凯
中南大学湘雅三医院

博士,湘雅三医院消化内科主治医师

中华医学会消化病学分会微生态学组委员

中华医学会消化病学分会流行病学协作组委员

消化病学分会IBD学组青年俱乐部成员

欧洲炎症性肠病组织壁报及基金评审

韩国肠病协会杰出研究者奖得主

KASID青年研究奖得主

亚洲炎症性肠病组织杰出壁报奖得主

2024年IBD-PicShow大赛第一名

全国消化年会优秀论文奖

ESI 高被引和热点论文作者

主要从事消化道疾病及内镜下诊疗、炎症性肠病的基础及临床研究。主持国自然青年基金和省自然青年基金各1项,参与国家自然科学基金4项,一作和通讯在Gastroenterology等杂志发表论文。担任杂志JCC Plus编委、SCI杂志Science advance, Clinical Infectious Diseases、Inflammatory bowel diseases,等SCI杂志审稿人。受邀在亚洲炎症性肠病组织年会、韩国肠病国际会议、全国消化年会上口头交流,并在DDW、ECCO、APDW、AOCC、IDDF、CGC等消化领域大会壁报交流。荣获多项Academic Grant、Travel Grant奖励。

版权说明:本文来源于中国医学论坛报“罕见病临床思辨”专栏,欢迎个人转发至朋友圈,谢绝媒体或机构未经授权以任何形式转载至其他平台。

200 评论

查看更多