查看更多
密码过期或已经不安全,请修改密码
修改密码
壹生身份认证协议书
同意
拒绝
同意
拒绝
同意
不同意并跳过
基本资料
性别:男
年龄:60岁
主诉:”直肠癌术后4年,复发再次术后1年半”于 2019.3月至我院就诊
现病史:
2015.8月直肠癌手术,术后直肠中分化腺癌分期PT4aN2bM0,术后 行4周期folfox方案化疗
2017.11复查提示复发,行直肠癌根治术,术后KMB全野生型,
CAPOX化疗7周期及放疗33次(2018.8月结束放疗)
2019.2月出现排尿困难伴骶尾部疼痛复查
肺部部CT:双肺多发转移瘤
盆腔MRI:直肠癌局部复发侵犯前列腺,骶前,膀胱后壁及盆壁
2019.2月西妥昔单抗联合伊立替康1周期
既往史、家族史:无特殊
辅助检查
查体:
留置导尿管
ECOG评分:1分
实验室检查:
肿瘤标记物:CEA 81.85ug/L CA199 49.58U/ml
影像学检查:
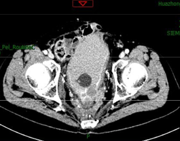
腹部+盆腔MRI:盆腔及骶前脂肪间隙浑浊,散在渗出, 前列腺左侧,骶前左侧异常软组织影可疑累及膀胱左侧 后壁,右侧盆壁可见环形强化影,考虑转移
肺部CT:双肺多发结节影,考虑转移
外院病理切片我院会诊:直肠低分化腺癌
诊断:
直肠癌术后复发
(cT4bN+M1,pMMR, KMB全野生型)
治疗经过:
2019年3月-9月:西妥昔单抗联合folfiri 11 周期,期间4周期及8周期疗效评价SD,治疗 过程中患者骶尾部疼痛缓解。
2019年5月及7月复查肺部CT:
(治疗4及8周期)

2019年5月及7月复查盆腔MRI:
(治疗4及8周期)


2019.9肺部CT及盆腔MRI:
(12周期后复查)


2019.9-11月安维汀联合卡培他滨2周期,骶 尾部疼痛再次出现,复查影像评估PD
2019.11肺部CT及盆腔MRI:
(2周期后复查)


下一步治疗方案?
REGONIVO背景:免疫治疗对MSS肠癌患者(95%)无效

在免疫豁免型肿瘤中产生抗肿瘤 免疫反应制定合理的肿瘤免疫联合治疗策略的框架

瑞戈非尼通过抑制VEGFR,解除Treg细胞对T细胞的免疫抑制作用
瑞戈非尼通过抑制CSF-1R,解除TAM细胞对T细胞的免疫抑制,并减弱肿瘤血管生成
免疫抑制剂PD-1/PD-L1抑制剂使T细胞发挥细胞免疫作用
将“冷”肿瘤转化为适合免疫治 疗的“热”肿瘤
数量最多且研究最多的一类免疫 治疗药物是免疫检查点抑制剂, 这是一类基于抗体的药物,可动 员免疫T细胞反应
对于所谓的“热”肿瘤——被T 细胞群侵袭的癌症,免疫检查点 抑制剂具最佳疗效,可将其转化 为炎性肿瘤
由于T细胞存在于肿瘤内,因此 它们更易被动员来杀伤肿瘤
免疫检查点抑制剂释放了肿瘤夹 在T细胞上的制动器

REGONIVO 研究:2019ASCO消化道领域新突破

目前入组50例患者(无既往瑞戈非尼治疗,允许既往肿瘤免疫治疗):
FPFV:2018年1月
LPFV:2018年10月
29例患者仍在治疗中(数据截止日期: ASCO GI 2019)
2个研究中心开放并在2个队列中进行招募:
胃癌患者
mCRC患者
主要目的:周期1的剂量限制性毒性 (DLT)以研究最大耐受剂量(MTD)和推 荐剂量(RD)
次要目的:
客观缓解率(ORR)
无进展生存(PFS)
总生存(OS)
疾病控制率(DCR)
患者特征 (2019 ASCO现场公布)

最佳肿瘤缩小的瀑布图 (2019 ASCO现场公布)

其他疗效数据 (2019 ASCO现场 公布)

治疗持续时间 (2019 ASCO现场公布)

治疗缓解者的患者特征:
所有缓解者均为PS 0和男性 —— 缓解持续时间>4个月
mCRC患者接受4线+治疗(除了MSI-H患者)
全都有肺转移,大部分都有淋巴结转移,没有肝转移
7例MSS患者
5例 Ras wt 患者
1例 Ras 突变患者
1例状态未知但HER2扩增患者
仅1例HER2扩增患者5线治疗后出现PD (PFS=5.3个月)
胃癌患者接受3线+治疗
所有患者均为HER2阴性
9例MSS患者
2例MSI状态未知的患者
PD-L1表达似乎不是一个关键因素

REGONIVO结论:
瑞戈非尼联合纳武利尤单抗治疗晚期mCRC和胃癌患者具令 人鼓舞的抗肿瘤活性
客观缓解率为40% (胃癌患者44%,结直肠癌患者36%)
中位PFS为6.3个月
瑞戈非尼80mg-120mg联合纳武利尤单抗是未来研究的最佳 剂量
对于所有患者,治疗顺序可能根据疾病免疫环境而并非相同
需在更大规模队列中进一步评估来确认这些数据
进一步的生物标志物分析正在进行中
治疗经过:
2019.11至今PD-1联合瑞戈非尼6周期,2周 期后疼痛缓解,最近影像评估SD
2020.4月肺部及盆腔CT:

REGONIVO结果更新:
PFS analysis by tumor mutation burden status (TMB, <12.51 vs ≥12.51 mutations per megabase); as assessed by using Oncomine tumor mutation load assay

Regorafenib 联合 nivolumab 已经显示出令人鼓舞的抗肿瘤作用,ORR为40%(CRC为36%,GC为44%,CRC PFS为6.3个 月,胃癌为5.8个月)。无论mCRC患者中的PD-L1表达或TMB状态如何,组合方案似乎都是有效的。目前正在进行进一步的生 物标志物分析
REGONIVO 2020:最新研究结论
瑞戈非尼联合那武单抗截至2019年9月1日的随访结果令人鼓舞:
结直肠癌中位PFS为7.9个月,OS未达到,预计1年OS率68%
胃癌中位PFS为5.6个月,中位OS为12.3个月,1年OS率为55.3%
瑞戈非尼联合那武单抗疗效预测标志物仍待进一步分析
期待未来正在计划的大型III期临床研究进一步验证
病程小结:

查看更多