壹生大学

壹生身份认证协议书

本项目是由壹生提供的专业性学术分享,仅面向医疗卫生专业人士。我们将收集您是否是医疗卫生专业人士的信息,仅用于资格认证,不会用于其他用途。壹生作为平台及平台数据的运营者和负责方,负责平台和本专区及用户相关信息搜集和使用的合规和保护。
本协议书仅为了向您说明个人相关信息处理目的,向您单独征求的同意,您已签署的壹生平台《壹生用户服务协议》和《壹生隐私政策》,详见链接:
壹生用户服务协议:
https://apps.medtrib.cn/html/serviceAgreement.html
壹生隐私政策:
https://apps.medtrib.cn/html/p.html
如果您是医疗卫生专业人士,且点击了“同意”,表明您作为壹生的注册用户已授权壹生平台收集您是否是医疗卫生专业人士的信息,可以使用本项服务。
如果您不是医疗卫生专业人士或不同意本说明,请勿点击“同意”,因为本项服务仅面向医疗卫生人士,以及专业性、合规性要求等因素,您将无法使用本项服务。

同意

拒绝

同意

拒绝

知情同意书

同意

不同意并跳过

工作人员正在审核中,
请您耐心等待
审核未通过
重新提交
完善信息
{{ item.question }}
确定
收集问题
{{ item.question }}
确定
您已通过HCP身份认证和信息审核
(
5
s)

反复腹痛的罕见元凶——家族性地中海热病例1例 | 罕见病临床思辨

2026-03-04作者:论坛报小塔资讯
原创


作者:福建医科大学附属第一医院 

俞星、魏凯艳、刘益娟、陈金通、郑玮玮、杨沁瑜、王承党



PART.01


病例介绍




患者男性,39岁,主诉“发作性腹痛、发热1年余,再发1周”


现病史:患者1年余前无明显诱因出现全腹部持续性闷痛,阵发性绞痛,右上腹为著,伴发热,最高体温达39.0℃,无畏冷、寒战,无黄疸,无呕吐、腹泻、黏液血便,无尿频、尿急、尿痛,无头晕、头痛、四肢无力,无咳嗽、咳痰,无口气溃疡、关节肿痛、皮疹、泡沫尿等,曾多次就诊当地医院。

完善PET-CT(2024.06.27):1.十二指肠水平段肠壁代谢增高伴肠系膜、腹膜后及右侧结肠旁沟多发高代谢淋巴结,首先考虑炎症性病变,其他待排;2.双侧筛窦炎症;左侧上颌窦黏膜下囊肿;双侧腭扁桃体及舌扁桃体炎性病变;3.双侧颈部(Ⅰ、Ⅱ、Ⅲ区)淋巴结炎性增生;4.左肺上叶前段磨玻璃微结节,糖代谢未见增高;左肺上叶下舌段及右肺下叶纤维条索灶;左肺上叶前段含气囊肿;5.肝多发囊肿;6.中轴骨骨髓腔代谢增高,考虑反应性改变。

全腹部CT(2024.09.06)示:1.中上腹部肠系膜脂肪密度增高较前相仿,其内簇状淋巴结影较前略增多;2.肝右叶多发囊性灶。

CT检查报告(2024.09.10):1.十二指肠水平段可疑管壁增厚,左侧上腹部肠系膜多发渗出,腹膜后、肠系膜、右侧结肠旁沟多发小淋巴结,考虑炎症性病变可能,建议胃镜检查;2.肝脏多发囊肿;右肾小囊肿。

结肠镜(2024.9.12):末端回肠溃疡性质待定;直肠、乙状结肠多发息肉(0-Ila);直肠、乙状结肠炎;痔疮。胃镜:慢性萎缩性胃炎伴糜烂;十二指肠炎症;十二指肠降部溃疡(A1)。病理:(十二指肠降部)黏膜糜烂性炎。(末端回肠)黏膜糜烂性炎。

考虑“肠系膜淋巴结炎”,予“抗感染、解痉止痛、补液”等治疗后好转出院。后40余天发作1次,每次持续7~10天,发作时血白细胞轻度升高或正常,CRP 100~150 mg/L,外院诊断:慢性肠系膜淋巴结炎,发作时抗感染、止痛治疗好转,发作间期基本无症状,血白细胞、CRP正常,发病以来体重下降10 kg。入院前1周腹痛、发热再发,最高体温 39℃,性质同前。


既往史:无特殊。


个人史:吸烟20年,每天吸烟1包,未戒烟;饮酒史20年,平均每日200~300 g,已戒酒半年余;有食蛇蛙鳖等饮食史。


家族史:无遗传性疾病史及类似疾病发作史。


入院查体:身高 180 cm,体重 82.5 kg,BMI 25 kg/m2,T 38.6℃,HR 96次/分,R 20次/分,BP 138/84 mmHg,神志清楚,心肺查体无异常,腹软,右上腹、左侧腹压痛,可疑反跳痛,肝脾未触及,肝肾区无叩痛。肛门指诊:未触及肿物。


入院诊断:腹痛、发热原因待查;肠系膜淋巴结肿大;慢性萎缩性胃炎;十二指肠溃疡等。



诊断思考(一)


患者为中年男性,以“发作性腹痛、发热”为主要表现,病程长达1年余,发作呈一定周期性(40 余天/次,持续7~10 d),发作期C反应蛋白显著升高,间歇期相对缓解;影像学提示十二指肠水平段及肠系膜/腹膜后淋巴结代谢增高,内镜见回肠末段溃疡。此类“腹痛+发热+炎症指标升高+肠溃疡+淋巴结肿大”的临床表现,需系统鉴别以下几类疾病:


1、感染性疾病:该患者有食蛇蛙鳖等饮食史,反复发作腹痛、发热,发作时CRP升高,需考虑感染性疾病,包括肠道细菌感染(如沙门菌、耶尔森菌等)、肠结核/腹膜结核、布鲁氏菌病、寄生虫感染以及少见的隐匿性感染灶(胆道/泌尿系/血流感染等),需警惕反复经验性抗菌治疗造成的“短暂缓解—再次复发”假象,完善相关病原学检查。


2、克罗恩病:患者中年男性,反复腹痛、发热、消瘦,肠镜提示回肠末段溃疡,CT提示十二指肠肠壁增厚,需考虑克罗恩病可能,但克罗恩病常表现为节段性、透壁性炎症,可伴瘘管、肛周病变,病理可见非干酪样肉芽肿,故依据不足,复查胃肠镜及病理,完善免疫指标检查,必要时胶囊内镜检查。


3、肠白塞病:可表现为口腔、生殖器溃疡及肠道溃疡,但患者无口腔、外阴溃疡及眼炎、皮疹等肠外表现,暂不支持。


4、自身免疫性疾病:如系统性红斑狼疮、血管炎、成人Still病等,但患者无多系统受累证据,完善免疫指标检查。


5、淋巴瘤:肠道淋巴瘤可表现为腹痛、发热、消瘦、肠溃疡、淋巴结肿大,但外院PET-CT未见明确高代谢肿瘤病灶,病理未见淋巴细胞异型增生,故不支持。


6、自身炎症性疾病:是一种无菌性、周期性、先天免疫系统异常的疾病,包括家族性地中海热(Familial Mediterranean Fever,FMF)、TNF受体相关周期性发热综合征(Tumor Necrosis Factor Receptor-Associated Periodic Syndrome,TRAPS)、甲羟戊酸激酶缺乏(Mevalonate Kinase Deficiency,MKD)等。其共同特点是反复发作性高热、急性期反应物显著升高,发作间期相对正常,且常缺乏明确感染证据,必要时完善基因检测。


PART.02


入院检查



常规与生化

血常规:WBC 7.57×109/L,N 6.03×109/L,HGB 145 g/L,PLT 203×109/L;粪便OB:阳性(+);生化全套:ALB 38.7 g/L↓,Ca 2.07 mmol/L↓,余正常;乳酸、血氨、TnI、血淀粉酶、脂肪酶:正常。

炎症指标

CRP 108.50mg/L↑;PCT 0.18ng/ml↑;ESR 34mm/h↑;铁蛋白:443.9ng/ml↑。

凝血指标

D-D 3.05mg/L↑; FIB 4.75g/L。

肿瘤指标

AFP、CEA、CA125、CA19-9:正常。

甲状腺功能

FT3、FT4、TSH正常。

过敏与免疫指标

IgE 563 IU/ml;C4 0.40 g/L↑(0.11-0.32 g/L);抗心磷脂抗体IgG 47.0 U/ml↑(0~12 U/ml);IgA、IgG、IgM、C3、β2微球蛋白、IgG4、RF、ACA、抗β2糖蛋白1抗体、ANA、dsDNA、ENA谱、ANCA、抗CCP抗体:正常。

感染指标

血培养:阴性。HBsAg、HIV、HCV、梅毒:阴性。结核感染T细胞:阴性。肥达氏试验、流行性出血热、钩端螺旋体抗体、恙虫病抗体、布鲁菌病抗体:阴性。甲乙流抗原、13项呼吸道病原体核酸:正常。半乳甘露聚糖、真菌D-葡聚糖:正常。

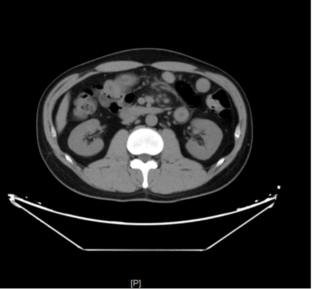
肺部+全腹部CT平扫(图1

1.左肺上叶结节,建议随诊。2.左肺上叶下舌段索条灶。3.肝内多发囊肿可能。4.肠系膜周围多发淋巴结,部分肿大;肠系膜根部脂肪间隙稍欠清。


图1 全腹部CT平扫示肠系膜周围多发淋巴结肿大、肠系膜根部脂肪间隙稍欠清


上腹部CT直接增强扫描(图2

1.肝多发囊肿。2.肠系膜周围多发淋巴结,部分肿大;肠系膜根部脂肪间隙稍欠清,考虑炎症性病变。


图2 上腹部CT直接增强示肠系膜周围多发淋巴结肿大、肠系膜根部脂肪间隙稍欠清


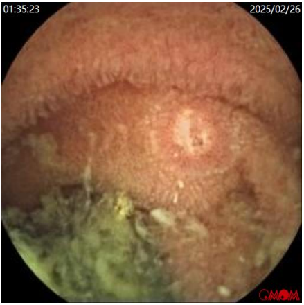
麻醉胃镜(图3

糜烂性胃炎(胃窦);胃窦溃疡A2期;十二指肠多发溃疡A2期,十二指肠黏膜发白。


图3a 胃镜示十二指肠黏膜发白


图3b 胃镜示十二指肠球部溃疡


图3c 胃镜示胃窦糜烂


胃镜病理

 1、(胃窦黏膜活检组织)浅表黏膜慢性炎(++)伴糜烂,灶区血管壁透明变性,纤维蛋白渗出。 刚果红(-)。 2、(十二指肠水平部活检组织)小肠黏膜活动性炎伴糜烂。刚果红(-)。3、(十二指肠降部活检组织)小肠黏膜活动性炎伴糜烂,局灶脓肿形成。刚果红(-)


麻醉肠镜(图4

回肠末段未见异常;结直肠多发息肉(4枚CFP);内痔。


图4 肠镜示结肠息肉


肠镜病理

1、(回末黏膜活检组织)黏膜局灶性炎,伴淋巴滤泡形成。刚果红(-)。 2、(横结肠黏膜活检组织)符合增生性息肉。刚果红(-)。 3、(直肠黏膜活检组织)增生性息肉。刚果红(-)。


胶囊内镜(图5

小肠多发溃疡、糜烂:小肠淋巴管扩张?


图5a  胶囊内镜示小肠见白色绒毛样改变,小肠糜烂


图5b  胶囊内镜示小肠阿弗他样溃疡


PART.03


病例特点归纳



临床表现  中年男性,病程长(>1年),表现为发作性、周期性腹痛(右上腹为主)伴高热(体温可达39℃),发作持续7~10天,间歇期(40余天)症状完全缓解。



实验室发现  发作期炎症标志物显著升高(CRP 100~150 mg/L,ESR增快),间歇期迅速恢复正常。自身抗体谱除抗心磷脂抗体IgG轻度升高外,基本阴性。感染相关指标、肿瘤标志物正常。


影像学特征  多模态影像(PET-CT、CT)一致提示十二指肠水平段肠壁/肠系膜代谢增高或渗出,伴腹膜后、肠系膜多发淋巴结肿大,呈慢性炎症性改变。无明确肿瘤或脓肿证据。


内镜与病理  十二指肠多发溃疡/糜烂,小肠胶囊提示散在溃疡与糜烂;结直肠未见特异性炎症(仅息肉);多部位活检以活动性炎症为主,未见肉芽肿或干酪样坏死;刚果红阴性,支持无明确AA淀粉样变证据。


治疗反应与病程  既往抗感染、解痉治疗仅能暂时缓解,提示并非单纯感染性疾病,体重下降10 kg提示慢性消耗状态。



诊断思考(二)


基于入院后全面的阴性感染筛查结果及缺乏感染灶的影像学表现,结合经验性抗感染治疗仅能短暂缓解的病程,可基本排除持续性感染作为病因。肿瘤标志物阴性,外院PET-CT未见恶性征象,病理未见异型细胞,肿瘤基本可排除。


内镜发现的多发小肠溃疡,须与克罗恩病、肠结核、白塞病等鉴别。然而,患者缺乏上述疾病的典型特征(如慢性腹泻、肛周病变、肉芽肿、口腔溃疡等),且其发作呈现鲜明的周期性与发作间期缓解的特点,更符合“周期性炎症”而非持续进展的炎症性肠病。须注意,自身炎症性疾病(如FMF)亦可导致IBD样黏膜损伤,临床易被“溃疡”表象误导而忽视其核心的发作节律。


综上,患者表现为:① 周期性发热伴腹膜炎样腹痛;② 炎症指标随发作骤升骤降;③ 已排除感染、肿瘤及常见自身免疫性疾病。诊断思维需超越局部肠道病变,聚焦于以全身性、周期性、无菌性炎症发作为特征的疾病谱,如自身炎症性疾病,尤其是以复发性浆膜炎为典型表现的家族性地中海热。中国人群中存在成人起病、基因型不典型但对秋水仙碱反应良好的FMF病例 [Ann Rheum Dis, 78(8), 1025-1032]。临床诊断可依据Tel-Hashomer标准(表1)或Eurofever/PRINTO分类标准(表2)进行综合评估[J Clin Rheumatol, 30(6), 229-234]


为此,我们启动了全基因组测序检测,以期从分子层面明确诊断。


家族性地中海热的Tel Hashomer标准(成人)


明确诊断:2个主要标准/1个主要标准+2个次要标准

疑似诊断:1个主要标准+1个次要标准


家族性地中海热的Eurofever/PRINTO分类标准


PART.04


全基因组测序检测及结果分析



测序结果


检测结果显示  MEFV基因存在c.442G>C (p.Glu148Gln,即E148Q)杂合变异。

临床意义  E148Q是MEFV基因中常见的序列变异,人群携带率较高。根据国际临床基因变异数据库及专家共识,其单独存在时通常被归类为意义不确定的变异或低外显率致病突变,不足以单独符合FMF的基因确诊标准(通常要求两个等位基因均携带明确致病突变) [Rheumatology (Oxford), 57(12), 2140-2144]。

基因结果与临床表型的整合分析  在获得此基因结果时,诊断须回归临床与基因的综合研判:



1、临床表型高度典型:患者表现为无可争议的复发性、自限性发热伴浆膜炎(腹膜炎样腹痛),发作期炎症指标(CRP、ESR)急剧升高,发作间期完全正常,且已系统排除感染、肿瘤、常见自身免疫病及炎症性肠病。此临床谱高度指向自身炎症性疾病,尤其是FMF。




2、基因变异提供关键支持:在如此典型的临床背景下,E148Q杂合变异的检出具有重要价值。它并非一个无关多态性,而是为患者的周期性炎症发作提供了直接的遗传易感性证据。当前观点认为,对于临床高度疑似的病例,单一E148Q变异可作为支持诊断的分子证据,其可能机制包括存在另一个未检测到的非编码区突变、修饰基因的影响,或表观遗传因素的共同作用。




3、诊断标准的应用:依据 Eurofever/PRINTO(2019)分类标准,患者满足关键的临床条目(发热、浆膜炎、发作间期正常)。尽管基因层面未达到“两个致病突变”的确诊级别,但符合“一个致病突变结合典型临床表现”可支持临床诊断。




结论 在启动秋水仙碱治疗前,基于①典型的临床表型(复发性发热/浆膜炎)、②排除性诊断、③支持性的E148Q杂合变异,临床可做出家族性地中海热(FMF) 的高度疑似诊断。基因检测结果并非排除诊断,而是为这一临床判断提供了关键的分子佐证,并直接为后续启动针对性的秋水仙碱治疗及家系咨询提供了充分依据。


PART.05


最终诊断



诊断  家族性地中海热。

治疗方案  尝试秋水仙碱治疗,监测症状及炎症指标(CRP、ESR);若症状控制不佳,可考虑加用IL-1抑制剂(如卡那单抗、阿那白滞素);建议直系亲属做相关基因检测。


PART.07


治疗及转归

治疗方案  秋水仙碱1.0 mg/qod(单)/1.5 mg/qod(双)治疗。


临床转归  无再发热,仍发作性腹痛,程度有所减轻,频次较前相仿,需要使用止痛药物,外院复查腹部CT提示肠系膜淋巴结较前减少。


下一步处理意见  建议加用IL-1抑制剂(如卡那单抗、阿那白滞素);建议直系亲属做相关基因检测,患者表示暂需考虑;继续严密随诊监测临床症状、体征,根据病情变化调整治疗方案。鉴于本病例基因型为不完全外显的E148Q杂合变异,临床诊断是基于当前高度疑似的表型与排除性检查作出的,最终的诊断确立与维持,仍需在长期治疗与随访中,通过持续的症状控制、炎症指标监测以及对治疗方案的响应来动态验证。



诊疗体会与思考


1、抓住“发作性+自限性+间歇期完全正常”的节律,是识别自身炎症性疾病的关键。本例反复腹痛伴高热、急性期反应物在发作期骤升而间歇期恢复,且系统感染学检查与影像学均缺乏明确感染灶,提示应尽早将诊断思维从“局部肠道/淋巴结炎症”转向“系统性周期性无菌炎症”。在消化内科工作中,面对反复发作的腹膜炎样腹痛,除感染和炎症性肠病外,应主动询问发作持续时间、间歇期是否完全无症状、是否伴胸痛/关节痛/皮疹及家族史,并动态追踪CRP/ESR/SAA等指标,从而减少长期经验性抗菌治疗带来的诊断延误与不必要检查。


2、小肠溃疡与肠系膜淋巴结肿大并不等同于克罗恩病或感染。FMF发作可表现为浆膜炎主导的腹痛,并可出现IBD样的黏膜损伤或肠系膜炎性改变,临床易被“溃疡”“淋巴结”这些局部影像/内镜线索牵引而忽视其核心特征——发作的周期性和间歇期完全缓解。因此,在溃疡性病变证据不足(无肉芽肿、无透壁性改变、无持续性腹泻/肛周病变)且病程呈明显周期波动时,应警惕“被溃疡表象误导”的认知偏差,避免过早进入长期免疫抑制或反复抗感染路径。


3、基因检测的价值在于“解释表型”,而非“替代表型”。E148Q为低外显率/意义不确定变异,单独检出通常不足以构成“基因确诊”,但在临床高度符合FMF表型并满足分类标准,且排除感染/肿瘤/自身免疫病的背景下,可作为遗传易感的支持证据。需要强调的是,“仅检出单一变异”并不必然否定诊断:可能存在常规分析未覆盖或难以识别的深部内含子/调控区变异、结构变异或相位信息缺失;也可能受修饰基因与表观遗传调控共同影响而出现表型表达。因此,对表型典型但基因结果“非典型”的患者,可考虑进一步完善家系分离验证、扩展自身炎症相关基因面板,以及更全面的测序策略与随访评估。


4、治疗上应坚持“分层+动态评估”。秋水仙碱是FMF的基石治疗,强调足量、规律与依从性,并监测血常规、肝肾功能及肌酶等不良反应;并以发作频次、症状严重度与炎症指标(CRP/ESR/SAA)作为疗效评价。对秋水仙碱疗效不佳或疑似抵抗/不耐受者,在排除合并其他消化系统疾病后,可考虑IL‑1通路抑制剂等生物制剂,并持续监测AA淀粉样变风险(尿蛋白、SAA等)。



作者简介




图片1.png

俞星

福建医科大学附属第一医院

福建医科大学附属第一医院消化内科 主治医师

中华医学会消化病学分会动力学组 委员

中华医学会消化病学分会功能性胃肠病协作组 委员

中国研究型医院学会神经胃肠病学专业委员会 青年委员

福建省医师协会消化内科医师分会胃肠疾病学组 秘书

福建省医师协会消化内科医师分会微生态学组 委员

福建省医学会消化病学分会食管学组 委员

福建省医学会消化内镜学分会小肠学组 委员

中国炎症性肠病专科联盟成员

福建省炎症性肠病专病联盟成员

图片3.png
魏凯艳
福建医科大学附属第一医院

福建医科大学附属第一医院消化内科 主治医师

医学硕士

主持福建医科大学启航基金课题1项

第一作者发表文章3篇

获优秀病例一等奖、二等奖及福建省百佳病例

福建医科大学“2022年度十佳优秀住院医师”

图片2.png
刘益娟
福建医科大学附属第一医院

福建医科大学附属第一医院消化内科  博士 副主任医师 硕士生导师

中华医学会消化病学分会食管协作组成员

福建省医学会消化病学分会第八届委员会青年委员副主任委员

福建省医学会消化病学分会幽门螺杆菌学组秘书

福建省医学会消化病学分会炎症性肠病学组委员

吴阶平医学基金会炎症性肠病联盟成员

福建省炎症性肠病专病联盟委员、秘书、学术委员秘书

中华消化心身联盟福建省委员会理事

中国医师协会消化内科医师分会第二届委员会消化内镜学组委员

福建省医学会消化内镜学分会结直肠疾病学组成员

福建省医学会消化内镜学分会小肠疾病学组成员

图片6.png
陈金通
福建医科大学附属第一医院

福建医科大学附属第一医院消化内科 副主任医师

福建省医师协会消化医师分会青年委员

福建省医学会消化病学分会炎症性肠病学组、病理学组、消化心身学组 成员

福建省医师协会消化内科医师分会人工智能学组 成员

图片7.png
郑玮玮
福建医科大学附属第一医院消化内科

福建医科大学附属第一医院消化内科 副主任医师、副教授、硕士研究生导师

中华医学会消化病学分会 青年委员

中华医学会消化病学分会肿瘤协作组 委员

福建省医师协会消化内科医师分会 委员

福建省医学会内科学分会 青年委员

福建省医学会消化病学分会消化心身学组 副组长

福建省医学会消化病学分会IBD学组 秘书

福建省炎症性肠病专病联盟 秘书

图片5.png
杨沁瑜
福建医科大学附属第一医院

福建医科大学附属第一医院消化内科,住院医师

医学硕士

近年来专注于炎症性肠病领域研究,主持校启航基金项目1项,以第一作者及共同作者身份发表SCI论著及案例分析3篇


图片4.png
王承党
福建医科大学附属第一医院

福建医科大学附属第一医院 消化内科主任医师,教授,博士生导师 医院教授委员会 主任委员

国家区域医疗中心 福建省炎症性肠病中心 主任

福建省肝病与肠病临床研究中心 主任

福建省医学会消化病学分会 主任委员

福建省炎症性肠病学组 组长

福建消化医师协会副会长、胃肠病学组 组长

福建省医学会内科学分会 常委

福建省炎症性肠病专病联盟 理事长

福建省炎症性肠病医师联盟 主任委员

福建省消化心身联盟 主任委员

中华医学会消化病学分会 委员

中华医学会消化病学分会 营养治疗协作组 副组长

中华医学会消化病学分会 胃肠激素和黏膜保护学组 委员

中国医药教育协会炎症性肠病委员会 常委

中国研究型医院协会神经胃肠病学专业委员会 常委

中国医促会胃肠病专业委员会 常委

北京奖励医学基金会 炎症性肠病委员会 常委


版权说明:本文来源于中国医学论坛报“罕见病临床思辨”专栏,欢迎个人转发至朋友圈,谢绝媒体或机构未经授权以任何形式转载至其他平台。



200 评论

查看更多