壹生大学

壹生身份认证协议书

本项目是由壹生提供的专业性学术分享,仅面向医疗卫生专业人士。我们将收集您是否是医疗卫生专业人士的信息,仅用于资格认证,不会用于其他用途。壹生作为平台及平台数据的运营者和负责方,负责平台和本专区及用户相关信息搜集和使用的合规和保护。
本协议书仅为了向您说明个人相关信息处理目的,向您单独征求的同意,您已签署的壹生平台《壹生用户服务协议》和《壹生隐私政策》,详见链接:
壹生用户服务协议:
https://apps.medtrib.cn/html/serviceAgreement.html
壹生隐私政策:
https://apps.medtrib.cn/html/p.html
如果您是医疗卫生专业人士,且点击了“同意”,表明您作为壹生的注册用户已授权壹生平台收集您是否是医疗卫生专业人士的信息,可以使用本项服务。
如果您不是医疗卫生专业人士或不同意本说明,请勿点击“同意”,因为本项服务仅面向医疗卫生人士,以及专业性、合规性要求等因素,您将无法使用本项服务。

同意

拒绝

同意

拒绝

知情同意书

同意

不同意并跳过

工作人员正在审核中,
请您耐心等待
审核未通过
重新提交
完善信息
{{ item.question }}
确定
收集问题
{{ item.question }}
确定
您已通过HCP身份认证和信息审核
(
5
s)

以为是个肺结节,没想到是个“定时炸弹” | 病例寻踪

2025-12-04作者:CMT琳资讯
非原创



咯血带来的恐惧


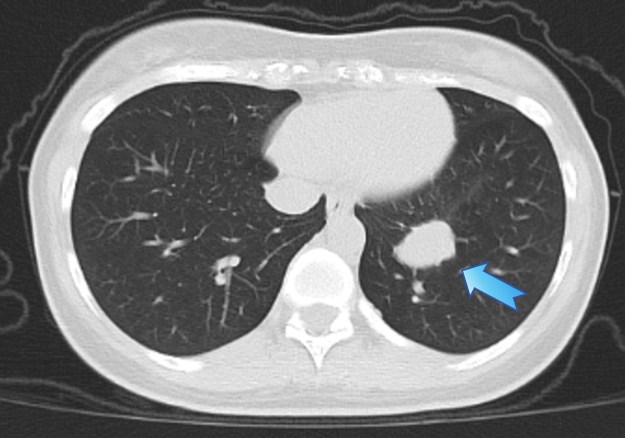
今年8月中旬,28岁的王女士(化名)在家中突然咳出鲜血,起初觉得只是咽喉炎或空气干燥引起的。没想到连着咳血,她赶紧前往当地医院就诊,胸部CT提示:左肺下叶约1.6 cm结节影,医生初步考虑为“结核球”。经省城三甲医院增强CT检查显示:病灶内部血供丰富,医生高度怀疑恶性肿瘤,建议尽快住院手术切除。这一判断让夫妻二人难以置信。


外院CT检查图像,箭头处为病灶


他们又赶往邻省另一家大医院,在接受抗感染治疗一周后,王女又出现两次明显咯血。复诊复查CT显示:结节由约1.6 cm增至约2.7 cm。当地医生再次建议尽快手术,认为可能需切除较大范围的左肺叶。由于病灶血供丰富,穿刺风险很高,所以难以获取病理。随后几天,夫妻俩辗转4家医院,答复几乎一致:必须手术切除。



一条“也许还能保住整肺”的路


这天,王女士家属在检索相关资料时了解到“介入治疗”这一方案——通过血管途径到达病灶,精准阻断异常血供,达到治疗效果。他们赶紧预约了瑞金医院放射介入科副主任医师王子寅的门诊。门诊评估中,王医生详细追溯病人每次咯血与影像变化,逐页核对不同医院的影像资料,仔细询问既往结核史、咯血量与频次。综合分析后,王医生给出不同的诊断:“这个病灶不一定是肿瘤,也不一定需要切肺。很有可能是血管性病变。如有需要,我们也可以安全地获得病理。”



精准锁定病灶,最大限度保住肺


王女士很快入住瑞金医院放射介入科病房。经过肺动脉CTA检查后,答案清晰——经团队讨论判定,该病变并非典型“肺内肿块”,而是位于左肺下叶分支血管内的肺动脉动脉瘤。该病变很少见,与咯血高度相关,一旦破裂可导致大出血,性命攸关。


王女士术前CTA图像


在手术室和麻醉科的支持下,瑞金医院血管微创介入治疗团队为王女士实施介入手术:由王忠敏主任医师主刀、王子寅副主任及单群刚主治医师担任助手,从股静脉穿刺建立通道,在影像引导下将导管逐级送入左肺下叶病变分支,完成超选择性插管,造影清晰显示动脉瘤轮廓与供血。确认定位后,于瘤腔内精准释放多枚解脱弹簧圈,阻断瘤内血流。复查造影未见残余充盈,提示出血风险已被当场解除。整个过程不开胸、不切肺,体表仅有一个微小穿刺点。


经过超选择性插管,完整显示动脉瘤轮廓与供血


术后CTA复查:动脉瘤得到了精确且完全栓塞


术后第二天肺动脉CTA复查显示:动脉瘤被完全“封堵”,局部血流切断。王女士恢复平稳,未再出现咯血,随后顺利出院。她感慨道,感觉自己全好了!



什么是肺动脉动脉瘤?为什么它如此危险?


肺动脉动脉瘤(Pulmonary Artery Aneurysm,PAA)为肺动脉局部血管壁异常扩张,虽少见但危险性高,一旦破裂可导致大量咯血,严重者可短时间内出现窒息或失血性休克。


该病变早期易与“肺结节”混淆,临床上常被误以为肿瘤或感染性占位。


常见原因有:

·感染相关,典型如肺结核,炎症坏死可侵蚀邻近肺动脉壁,形成Rasmussen动脉瘤,临床表现多为反复咯血。

·非感染因素,如系统性血管炎(如白塞病)、肺动脉高压、先天性心脏病(如动脉导管未闭、室间隔缺损)等,长期压力或炎症负荷可促使肺动脉扩张成瘤。


针对这类病变,血管微创介入治疗可在不切除肺组织的前提下,通过超选择性入路对致病血管进行“定点关闭”,以控制出血风险。



肺动脉动脉瘤如何预防?


1、结核要规范治到位:未充分治疗的结核可腐蚀肺动脉壁,形成Rasmussen动脉瘤,易致大咯血。请在医生指导下完成足疗程抗结核治疗。


2、高危人群要定期做影像复查:慢性结核空洞、白塞病、肺动脉高压等患者,建议规律复查低剂量胸部CT或肺动脉CTA,尽量在动脉瘤小、未破时发现。


3、基础病必须控制:血管炎症需规范应用免疫抑制治疗,肺动脉高压需降压管理,减少对血管壁的持续损伤。


4、任何反复咯血都要重视:哪怕只是痰中带血,也应及时就医并完善血管成像。必要时在评估后可行预防性介入栓塞,提前“封堵”高危血管,降低致命性出血风险。


5、减轻肺循环压力:戒烟,避免长期缺氧,遵循医嘱进行基础疾病的长期管理。


来源 | 上海交通大学医学院附属瑞金医院



200 评论

查看更多