查看更多
密码过期或已经不安全,请修改密码
修改密码
壹生身份认证协议书
同意
拒绝
同意
拒绝
同意
不同意并跳过
基本资料
性别:男
年龄:54岁
初次就诊时间:2016年6月
主诉:结肠癌术后1月
现病史:患者2016-05因“左中下腹隐痛不适3月余”就诊*县人民医院,查肠镜示:降结肠肿瘤,病理示:“降结肠”腺上皮重度异型增生,癌变。于2016-05-14行剖腹探查术,术中见病灶位于降结肠、乙状结肠交界处,直径约5.0cm,呈缩窄性,表面侵及浆膜层,与后腹膜致密粘连,肠系膜血管根部有数枚肿大淋巴结,近端大肠轻度扩张。行“降结肠癌根治术”,术后病理示:“乙状结肠”溃疡型中分化腺癌,侵及全层;“上下切缘”未见癌累及;“瘤周淋巴结(2/5)”见癌转移。
既往史:高血压病史5年,口服尼群地平,痛风病史20年
个人史:吸烟史,30年,每天1-2包,已戒烟2月
肿瘤家族史:否认肿瘤家族史
辅助检查
体格检查:
ECOG评分:0分。轻度贫血貌,巩膜无黄染,双锁骨上(-)。腹平软,见手术疤痕,无压痛、无反跳痛,肝脾肋下未及,移动性浊音(-)。
实验室检查:
血红蛋白96g/L,HBsAg (-),胆红素正常范围内;
CEA 12.57 ng/ml;CA199 4.69 u/ml
病理检查:
影像学检查:
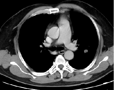
2016-06-13CT:
1、肠癌术后
2、肝左内叶结节,转移灶可能
3、左肺舌叶及左下肺后基底段结节,转移可能



2016-07-07MR:
肝左内叶上部结节,转移灶


第一次多学科讨论:
诊断:乙状结肠癌术后肝肺转移,pT4aN2aM1b IVb期
原发灶评估:已切除
转移灶:肝及肺(寡转移:总数3枚)
治疗目标:根治性治疗(NED)
治疗方案:新辅助化疗,分别行肝肺局部治疗
治疗经过:
于2016-06-13至2016-09-27予“奥沙利铂200mg d1+卡培他滨1.5 bid d1-14 ”方案化疗6周期。
2016-09-06CT:
1、肠癌术后
2、肝左内叶上部转移灶缩小
3、左肺舌叶及左下肺后基底段结节变化不大



2016-10-24MR及CT:
1、肝左内叶转移灶缩小
2、肺结节变化不大




2016-10-27行肝部病灶射频消融治疗。
2017-02-07CT及上腹部MR:
1、肝左内叶转移灶合并射频消融后改变(2016-10-27行射频消融)
2、左肺舌叶转移灶增大




2017-05-17CT及上腹部2017-05-20MR:
1、肝左内叶转移灶合并射频消融后改变,范围缩小
2、左上肺转移灶增大,左下肺小结节变化不大





患者拒绝行肺部治疗,等待观察。
2017-06-29:
1.肝脏合并射频后改变变化不大
2.左上肺转移灶增大,左下肺小结节变化不大



于2017-07-07我院行胸腔镜下“左上肺舌段切除术”,剖检标本见左上肺舌段肿块约1.5*1.5cm。
术后病理:左上肺:腺癌,中分化,结合病史首先考虑结肠癌转移。
左11组淋巴结1枚:示慢性炎。

2017-08-15CT左上肺术后改变:
(2017-07-07左上肺舌段切除),左下肺小结节及肝脏情况较前变化不大。


2017-11-30:左肺术后情况改善,余变化不大


2018-07-09:
1、左残肺新见转移灶
2、左腋窝新见肿大淋巴结;余变化不大
3、脂肪肝较前明显,肝脏病灶治疗后改变较前相似


第二次多学科讨论:
讨论焦点:姑息 or NED
转移灶评估:肺内局部复发,腋窝新增转移灶
病情评估:PD
治疗目标:NED
MDT建议:新辅助化疗+靶向
治疗经过:
于2018-07-30、08-21予“贝伐单抗700mgD0+伊立替康400mgD1+雷替曲塞6mgD1”治疗2周期。
2018-09-11:左残肺转移灶稍缩小,左腋窝肿大淋巴稍缩小,余变化不大

2018-11-9:左残肺转移灶变化不大,左腋窝肿大淋巴结稍缩小
2018-9-11:

2018-11-9:


2018-12-29:变化不大



“贝伐单抗700mgD0+伊立替康400mgD1+雷替曲塞6mgD1”治疗6周期后建议再次行局部治疗,患者拒绝,继续给予“贝伐单抗700mgD1+雷替曲塞6mgD1”维持治疗。
2019-03-26:左残肺转移灶增大,左腋窝肿大淋巴结相似,左锁骨上淋巴结稍大;余变化不大




2019-04-23:放疗前定位CT肺转移灶增大;余变化不大




2019-05-08:定位CT左残肺转移灶稍大(2019-05-27行肺部转移灶大分隔放疗)




2019-05-26至2019-06-04行肺转移灶大分割放疗:肺部转移灶 DT 49Gy/7f 7Gy/f
2019-06-28CT:
1、左残肺残端转移灶缩小,左舌叶另一枚小结节及左下肺胸膜下结节较前增大,亦考虑转移灶。左胸膜增厚较前明显,胸膜转移可能。
2、左腋窝(胸壁)转移灶较前稍增大;余变化不大


第三次多学科讨论:
转移灶评估:肺内病灶缩小但新增病灶,腋窝转移灶增大
病情评估:PD
治疗目标:姑息治疗
MDT建议:免疫+靶向
治疗经过:
2019-07-01:开始予特瑞普利单抗240mg d1+瑞戈非尼 120mg qd治疗(第一周80mg,第二周、第三周120mg)
2019-08-23CT:
1、左肺手术残端及左肺舌叶结节,较前缩小,左下肺胸膜下结节较前稍增大;
2、左侧腋窝下方胸壁强化结节较前饱满,余较前变化不大


CEA水平变化:
不良反应:
手足皮肤反应:1级
皮疹:1级
REGONIVO 研究:


治疗回顾:

查看更多