查看更多
密码过期或已经不安全,请修改密码
修改密码
壹生身份认证协议书
同意
拒绝
同意
拒绝
同意
不同意并跳过
基本资料
性别:男
年龄:50岁
主诉:主因“原发性肝癌术后1年余复发”于2014年12月入院。
现病史:
2013年6月因右肩及肝区疼痛,外院行超声示肝脏占位,CT考考虑肝癌(S4:9×6×8cm),
行肝肿瘤切除术
术后病理:肝细胞型肝癌。

术后1年(2014.6)外院复查,肝及肺内散在病灶,考虑转移,予索拉非尼治疗(400mg bid)。
既往史/家族史:无特殊
辅助检查
实验室检查:
AFP 4.47ng/ml,ALT 50.6U/L,AST 62U/L。
影像学检查:
索拉非尼治疗5个月后(2014.11)本院复查,对比外院CT:右肺下叶病灶较前稍小,肝S8、S5病灶较前增大。




入院诊断:
1、原发性肝癌综合治疗后;肝内及双肺转移瘤(BCLC,C期)
2、慢性乙型病毒性肝炎
下一步治疗方案:
观察?
外科?
TACE?
消融?

2014年12月第一次介入治疗:CT及超声引导下消融

60W/8min
2015年5月(半年后)复查:


2016年2月复查:

S2新发病灶:13mm×16mm
观察?消融?
2016年5月复查:

13×16mm→13×19mm(3个月)

S1 近门静脉右支主干旁可见稍低密度灶,直径约13mm
两个病灶如何处理?
2016年5月第二次介入治疗:TAE+射频消融

碘油标记
排查病灶

COOLTIP 160W/16min
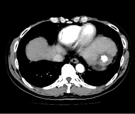
2016年12月复查:
2016.05 直径约13mm

2016.12 6mm×13mm

2016.05 直径约13mm

2016.12 6mm×13mm

2016.05 左下肺后基底段结节:7mm
较前未见明显变化

2016.12:13mm×10mm
下一步治疗方案:
消融?
TACE?
粒子?
二线药物未上市,
免疫治疗尚无

2016年12月第三次介入治疗:
STARmed17-15s30F 200W/11min

STARmed17-15s30F 200W/6min
2017年5月复查:

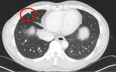
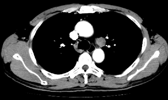
2016.12:双肺门及纵隔未见明显肿大淋巴结

2017.5:主-肺动脉窗新增一肿大淋巴结,大小约19mm×23mm
下一步治疗方案:
放疗?
粒子?
消融?
二线药物未进医保
免疫治疗尚无

2017年5月第四次介入治疗:纵膈淋巴结射频消融

Cool-tip 200W/10min
2018年8月复查:






2019年5月复查:






病例总结:



查看更多