查看更多
密码过期或已经不安全,请修改密码
修改密码
壹生身份认证协议书
同意
拒绝
同意
拒绝
同意
不同意并跳过
咳嗽、后背疼是不是肺小结节导致的?
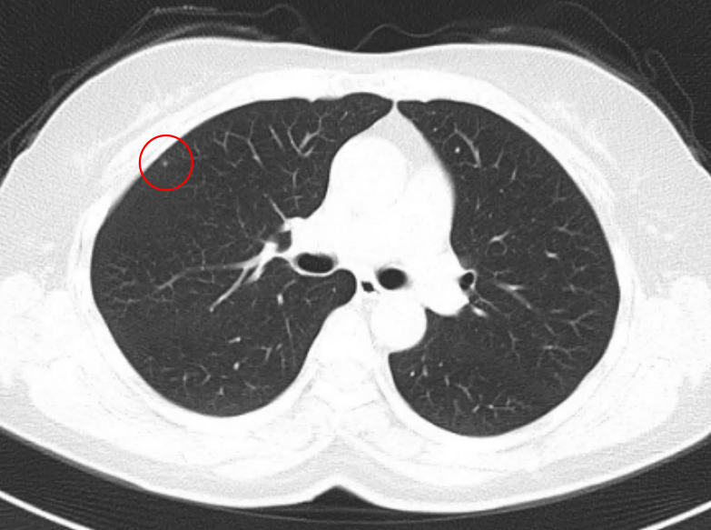
北京协和医院呼吸与危重症医学科副主任医师徐燕医生谈到,经常有患者咨询:「医生,你看我肺上发现一个小结节,虽然让我随诊观察,但是我现在咳嗽、咳痰,偶尔后背还有点疼,我的这些症状是不是由于肺部结节导致的?」

徐燕医生解释,如上图所示,肺上长了一个特别小的结节,它距离支气管非常远,也并不临近胸膜,像这样的肺小结节,不会导致咳嗽、咳痰以及后背疼痛的这些症状,上述症状也许是因为其他的原因导致的,还需要再寻找病因。除非是有些肺结节相对来讲比较大,恶性程度高,可能在早期发生了转移,导致了相应的症状。但是大部分的肺内小结节和微小结节不太可能会出现早期转移。
因此,肺小结节和微小结节通常不会导致任何症状,不必过于担心,需要寻找是否存在其他的原因导致相应的症状。徐燕医生再次强调,肺内微小结节和肺内小结节一般不会有症状出现,所以大家不必因此而过度担忧。
2cm的部分实性磨玻璃结节会不会是晚期肺癌?
徐燕医生提到,有时候在门诊还会遇到这样的患者,他的肺里发现的结节是一个部分实性的磨玻璃结节,大小在1~2cm左右。胸外科医生或者呼吸科医生会告诉患者,这个结节可能是一个早期的肿瘤,建议做手术切除。这个时候患者就会非常担心,最担心的问题就是「我这个肺结节可能是肺癌,是不是晚期肺癌?我是不是将来没有多长时间的生存期了,我该怎么办?」
在这种情况下,医生还是要和患者说明,一般通过肺癌早期筛查发现的肿瘤,大部分是早期的肺癌,通过手术切除以后可以达到治愈的目的,所以不用太担心。在做手术之前要进行系统性的评估,包括评估头部的影像学,看看是否存在脑转移;评估PET-CT,看看有无全身其他部位的转移。
真正的晚期肺癌什么样?
徐燕医生提到了这一点,经过胸部CT检查不一定发现的是肺内结节,有时候发现的是肿块,大于3cm以上的肺部病灶称之为肿块。而肿瘤越大,发生局部侵犯和远处转移的概率就会增大,更容易出现肿瘤相关的临床症状。因为出现临床症状就诊,最终诊断肺癌的患者,诊断时可能更多的是晚期肺癌。

如图所示,红圈处就是一个肿块,这个病灶已经超过5cm,相对来讲它就不太可能是早期的肿瘤了,经过系统的评估,这个肿瘤最终确定是晚期肺癌。所以,现在做低剂量螺旋CT肺癌筛查很重要的意义就是发现早期的肺癌,而避免肿瘤到了很晚期出现了症状再被发现。如果真是是早期肺癌,患者有机会行手术治疗,预后会比较好;如果诊断时分期比较晚,患者的治疗和愈后相对来讲会比较差。
来源:看呼吸
查看更多