200
评论
查看更多
密码过期或已经不安全,请修改密码
修改密码
壹生身份认证协议书
同意
拒绝
同意
拒绝
同意
不同意并跳过
肺梗死(PI)通常是另一种原发疾病状态的并发症,最常见的是肺栓塞(PE)。了解与PI相关的鉴别诊断十分重要,相关的体征和症状都不具有特异性。
肺梗死的表现特征与肺栓塞的表现特征重叠,但有一些重要的区别。
并发肺栓塞和肺梗死的患者,主要表现为呼吸困难(69%~78%)、胸痛(49%~70%)、单侧下肢肿胀或疼痛(27%~31%)、发热(5%~11%),咯血(4%~19%)。
所有诊断为肺栓塞的患者,不论是否有肺动脉栓塞,其特征均包括呼吸困难(72%~75%)、胸痛(36%~38%)、深静脉血栓(22%~33%)和咯血(4%~8%)。
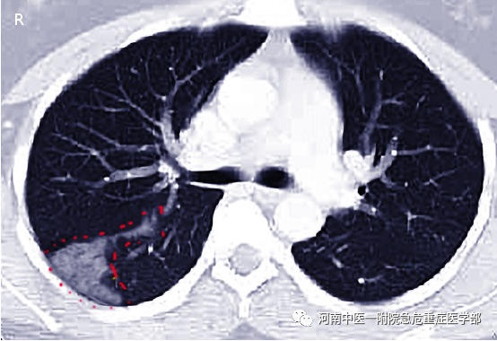
计算机断层扫描(CT)是最有可能结合临床表现诊断PI的影像学技术。与肺梗死相关的CT表现包括供血血管或“血管征”、中央透亮和半圆形。如果CT上出现中心透亮的血管征象而没有空气支气管征象,则检测PI的特异性为99%。


X线图像可能是诊断肺梗死的第一项检查。汉普顿隆起(肺周围楔形实变)、韦斯特马克征(影像学上血管纹理少或透亮增加)和弗莱舍征(肺动脉突出)是特异性表现,但缺乏足够的诊断敏感性。其他特征如肺不张或局灶性实变可能存在,但既不敏感也不特异。
心电图、D-二聚体、通气/灌注扫描和超声心动图等诊断研究中发现的异常在预测PI和预测肺栓塞(PE)方面均可发挥作用。
本文首发于河南中医一附院急危重症医学部
查看更多