查看更多
密码过期或已经不安全,请修改密码
修改密码
壹生身份认证协议书
同意
拒绝
同意
拒绝
同意
不同意并跳过
基本资料
性别:女
年龄:56岁
现病史:2017年8月因“便血”在外院行肠镜检查病理示:(直肠8cm)腺癌,中分化
既往史:无特殊
辅助检查
查体:
ECOG评分:1分
实验室检查:
基因检测:KRAS突变,余无突变。微卫星检测为MSS型
影像学检查:
MRI:肝脏多发异常信号影,结合病史考虑转移
临床诊断:TxNxM1 IV期 MSS型
治疗过程:
转化治疗:
2017-08-23在外院行“奥沙利铂+卡培他滨”方案化疗1周期,同时予肝脏转移灶超声刀治疗
2017-09-20至2018-01-08“贝伐单抗 +奥沙利铂+卡培他滨”方案治疗5周期
期间复查肝脏转移瘤略有缩小
疗效评估:SD
2018-02-04在该院全麻下行“直肠癌扩大根治术”
术后病理:(直肠)腺癌,Ⅱ级,浸润型肿块,大小约2.5×1.5×1.2cm,癌组织浸润至肠壁固有肌层外纤维脂肪结缔组织;局灶间质纤维化,伴钙化及灶性区淋巴细胞浸润,结合临床,符合化疗后改变。上下切缘及另送(吻合圈)均未见癌残留。肠周及另送(第252组)淋巴结见癌转移(1/17、1/3);另送(253组)淋巴结未见癌转移(0/4)
pTNM分期:pT3N1bM1 IV期
一线治疗:
2018-03-28在该院行“奥沙利铂+卡培他滨”化疗1周期
2018-05-03至2018-11-8行“贝伐单抗+奥沙利铂2+卡培他滨”6周期
2018-11-24行肝S4段病灶消融术
病情进展:
2019-01-07(治疗结束3月后复查)
CT示:肝S6及S8段病灶较前2018-11-09增大,S4、S5较前新发。
MR示:肝内多发异常信号,肝右叶膈顶部S8、S6段病灶较前稍增大,S4、S5段病灶较前新发
疗效评估:PD
PFS:17月
二线治疗:
2019-01-11至2019-02-17行“伊立替康+雷替
曲赛”方案化疗2周期
病情进展:

2019-03-17复查CT病情进展(2周期治疗结束后)
CT示:肝内多发稍低密度影,病灶较前增多,部分病灶较前增大
疗效评估:PD
PFS:2个月
三线治疗:

2019-05-30(2周期后复查)
MR示:肝内多发异常信号灶,考虑肝内多发转移,其中S4段病灶较前(2019-3-18) 稍小,S6段一枚病灶较前大致相仿,余病灶较前进展
疗效评估:PD
PFS:2个月
多学科讨论:
转移灶评估:肝脏多发转移
ECOG评分:1分
治疗目标:姑息治疗
MDT建议:免疫+靶向
REGONIVO 研究:
REGONIVO 2020 ASCO GI

截止到19年9月1日的中位PFS
CRC 7.9个月 一年PFS率41.8%
GC 5.6个月 一年PFS率22.4%

截至19年9月1日的中位OS
CRC 未达到 一年OS率68%
GC 12.3个月 一年OS率55.3%
四线治疗:
2019-07-05至2019-11-14行“信迪利单抗
200mgd1+瑞戈非尼 80mg qd” 治疗6周期
病情进展:
4周期后复查病情稳定
2019年8月19日CT:

2019年10月22日CT:
再起波澜(6周期后)
2019年10月22日CT:
2019年12月4日CT:
多学科讨论:
转移灶评估:肝脏病灶增大
治疗目标:姑息治疗
MDT建议:靶向+化疗
疗效评估:PD
PFS:5个月
2019-12-05至2020-03-11行“贝伐单抗 300mg d1 + 伊立替康 0.3 d2 +亚叶酸钙 0.6 d2 + 5-FU 0.6 iv civ46h d2 q2w”方案化疗3周期(6次)
(FOLFIRI+贝伐单抗)
2周期后复查CT提示病灶较前缩小
疗效评价:SD
疗效评估:
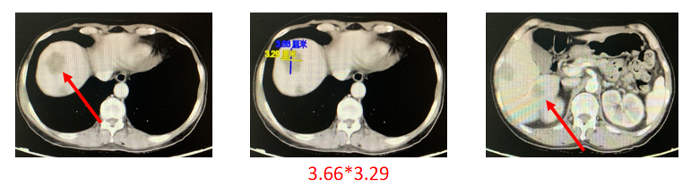
2019年12月4日CT:
2020年2月18日CT:
CEA水平变化:

不良反应:
手足皮肤反应、腹泻,一级反应
治疗回顾:

随访至2020-03,总OS:31月
查看更多