查看更多
密码过期或已经不安全,请修改密码
修改密码
壹生身份认证协议书
同意
拒绝
同意
拒绝
同意
不同意并跳过
房颤作为一种最常见的心律失常,在我国患病率约为0.7%,而房颤导致的卒中占所有缺血性脑卒中的5%,其危害性足以引起我们的重视。让我们一起学习一下下面这几个病例,重现它的致病特点。
病例一
患者老年女性,以“头晕伴恶心、呕吐1天”为主诉入院;
现病史:1天前无明显诱因出现头晕,伴有视物旋转,与体位变化无关,持续性,伴有恶心、呕吐,呕吐物为胃内容物,未见咖啡样物体,无晕厥、复视、黒矇;无意识丧失;无耳鸣、听力下降;无肢体麻木、无力等伴随症状;
既往高血压病病史;个人史、婚育史、家族史无特殊;
查体:未见明显神经系统缺损体征。
辅助检查:12导联心电图示:窦性心律;头颅MRI示:双侧小脑半球多发斑片状急性期脑梗死,椎、基底动脉多发狭窄。
T2像


DWI像


MRA

依据脑梗死分型,当时考虑大动脉粥样硬化型,但是很奇怪为什么双侧小脑半球都有病灶,难道还有其他病因?碰巧的是患者在院期间诉心慌,就再次给予复查了心电图,如下:

竟然是阵发性房颤,患者心脏彩超瓣膜未见异常,于是给予利伐沙班抗凝治疗。
病例二
患者老年男性,以“突发言语不清伴左侧肢体无力4小时”为主诉入院;
现病史:4小时前无明显诱因出现言语不清,表现为吐字不清,语言欠流利,理解力正常,伴有左侧肢体无力,表现为左下肢行走不稳,上肢可上抬,持物不稳,无恶心、呕吐;无晕厥、复视、黒矇;无饮水呛咳、声音嘶哑、吞咽困难;无意识障碍及大小便失禁等伴随症状;
既往糖尿病、高血压病病史;个人史、婚育史、家族史无特殊;
查体:神志清,精神差,言语不清,双侧瞳孔等大等圆,直径3.0 mm,对光反射灵敏,左侧鼻唇沟变浅,左侧示齿不充分,示齿口角右歪,伸舌左偏,左上肢肌力3+级,左下肢肌力3+级,四肢肌张力正常,左侧Babinski征(+)。心脏听诊,律不齐,房颤节律,肺部听诊无异常。
辅助检查:12导联心电图示:心房颤动;

由于患者发病时间在6小时内,NIHSS评分5分,于是给予尿激酶100万U静脉溶栓,溶栓后NIHSS评分较前无变化,患者家属拒绝介入取栓,完善头颅MRI示:右侧顶颞叶、侧脑室旁及基底节区多发急性脑梗死,双侧大脑前动脉AI段及左侧大脑中动脉M1段略狭窄。
T2像

DWI像

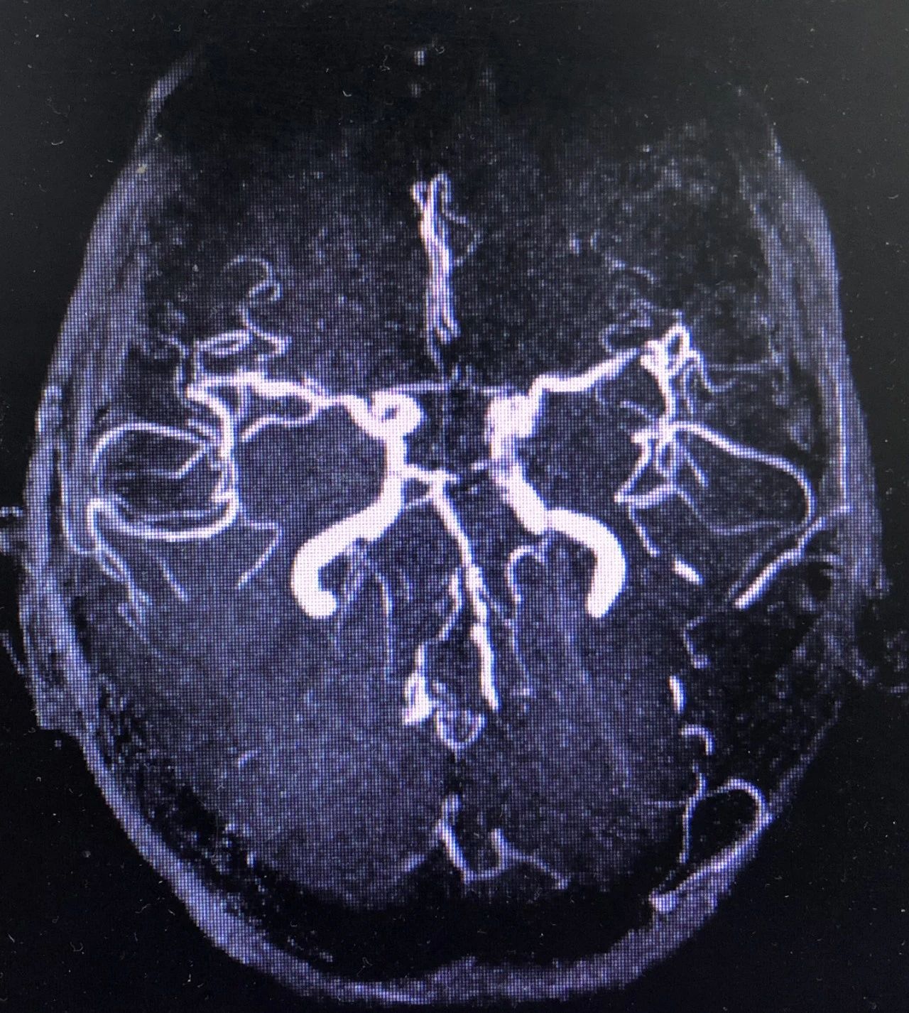
MRA

患者脑梗死病灶侧并未见到明显的血管狭窄,且存在房颤,考虑心源性栓塞,虽然给予了静脉溶栓,但效果不理想,可见栓塞事件溶开的几率不大,但DWI皮层和基底节区均可见病灶,显然溶开了一部分。
病例三
患者中老年男性,以“言语不能伴左侧肢体无力7小时”为主诉入院;
现病史:7小时前无明显诱因突发言语不能,表现为不能发音,理解力正常,伴有左侧肢体无力,表现为左下肢行走不能,上肢上抬不能,持物不能,于外院给予阿替普酶静脉溶栓,溶栓后仍言语不能,左上肢仍不能上抬,下肢可抬离床面,为进一步诊治,急来我院;
既往甲状腺功能亢进,并发心力衰竭病史;个人史、婚育史、家族史无特殊;
查体:神志清,精神差,言语不能,双侧瞳孔等大等圆,直径3.0 mm,对光反射灵敏,左侧鼻唇沟变浅,左侧示齿不充分,示齿口角右歪,伸舌居中,左上肢肌力2级,左下肢肌力3级,四肢肌张力正常,左侧Babinski征(+)。
辅助检查:头颅MRI示:右侧侧脑室旁、基底节区、颞岛叶急性脑梗死,右侧大脑中动脉M1段以远血管未见明确显影。心电图:窦性心律,左室高电压。
T2像


DWI像


MRA

这个病例可以看出患者起病急骤,症状瞬间达到高峰,梗死体积较大,大脑中动脉闭塞,当时考虑会是斑块脱落导致的吗?血管堵得这么彻底,栓塞事件再次映入眼帘,给予完善24小时动态心电图,不出所料,确实存在阵发性房颤。

通过上述三个病例,你是否对房颤导致的心源性栓塞有了进一步的认识了呢?正如那句“一枪撂倒是心栓”,所描述的一样,心源性栓塞具有起病急,症状瞬间达到高峰,梗死灶多为皮层,面积较大,静脉溶栓再通率低等特点;当然对于阵发性房颤,由于较为隐匿,不易被发现,但通过病变类型,考虑心源性栓塞可能性较大时,可通过长时程心电监测,从而提高阳性率,进而对患者做出正确的治疗策略。
来源:医学之声 作者:木木先生
查看更多