查看更多
密码过期或已经不安全,请修改密码
修改密码
壹生身份认证协议书
同意
拒绝
同意
拒绝
同意
不同意并跳过
患者老年男性,因寒战、上腹痛急诊入院,入院后积极完善相关检查,经多学科会诊后诊断为“急性梗阻性化脓性胆管炎、感染性休克“,病情危急。经过多学科会诊讨论专家们一致认为,应尽早进行ERCP手术抢救病人,但当时病人情况危急,已无法转运至内镜中心ERCP手术室,只能行急诊床旁ERCP。床旁ERCP由于没有X线的指引,完全凭借操作医生的手感和经验进行盲插管,操作难度大,加之病人高龄,又增加了手术难度。生死瞬间,医生们只能放手一搏,消化内镜中心宛新建主任带领ERCP团队,凭借多年的临床经验,决定在床旁B超辅助下行ERCP术。

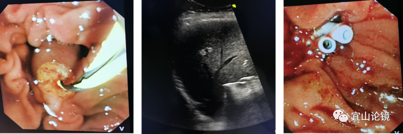
术中患者取仰卧位,给予心电监护,于床边行十二指肠镜操作,通过食管、胃腔后快速进入十二指肠。

确认乳头后,在床旁B超辅助下行插管,插管成功后退出导丝,顺导丝孔道以空针抽吸见脓性胆汁流出,再次床旁B超确认导丝位置后,置入塑料胆管支架于胆管内,定位引流通畅,再次床旁B超确认支架在位引流通畅,遂结束操作。
临床上常可遇见ACST患者因伴发严重并发症,或高龄,或各种原因无法搬运到内镜中心行 ERCP及常规内镜下胆管引流术,行急诊床旁免X 线内镜下胆管置管引流术能快速解决胆管梗阻,使胆道压力降低,缓解 ACST 症状,但因为无 X 线监视操作,相对有一定的难度和风险。
床旁非X光引导ERCP术与常规X线引导下ERCP诊疗的最大区别是具有一定的“盲目性“,即便手术者有更好的操作技巧与手感,仍需承担更大的操作风险与失败率,在操作上需根据实际情况量力而行,以解除梗阻作为基本目标,不必因强求取出胆道所有结石而增加出血、穿孔等并发症。
超声引导下 ERCP术可以一定程度上弥补没有X线下引导的不足,在B超引导下将导丝置人胰胆管内,而后进行胆管碎石以及乳头肌切开等操作。相比传统的介入放射引导下ERCP术,超声引导下置管避免了造影剂的使用,可以减少造影剂对患者的刺激,也能够通过生理盐水的注入时胰胆管得到扩张 ,一方面减小了导丝置入的难度,另一方面也有利于更加清晰地显示局部病变。B超的设备简单 、操作方便,再加以生理盐水注入后对胰胆管的扩张作用,能够在一定程度上减小造影和置管的难度,直接体现为缩短操作时间,避免了反复操作尝试对局部组织造成的损伤,减轻局部组织水肿程度,也有利于术后黄疸消退。
床旁ERCP需注意以下几个环节:
(1)操作者需有丰富的ERCP实践经验,有应对困难胆管插管、术中出血等复杂情况的能力;
(2)选择性胆管插管与取石过程中导管、导丝、取石网篮或取石气囊进入胆管的深度多需凭借经验与对前端阻力感的判断,过浅或过深均不利于治疗;
(3)内镜下表现提示壶腹部结石嵌顿者,首选针状刀切开术;
(4)胆道结石不必强求 一次性取出,而鼻胆管及支架引流是解除胆道梗阻的必需项目。
作者:上海市第六人民医院 夏 杰 宛新建
来源:宜山论镜

查看更多