查看更多
密码过期或已经不安全,请修改密码
修改密码
壹生身份认证协议书
同意
拒绝
同意
拒绝
同意
不同意并跳过
基本资料
性别:女
年龄:65岁
身高:165cm
体重:64Kg
主诉:直肠癌姑息术后1月
现病史:1个月(2017-2-5)前因“腹痛伴排便困难”来我院就诊,肠镜见肛门8-13cm见一紫红色肿块,表面凹凸不平,有溃疡形成,触之易出血,病灶约占肠腔全周,伴肠腔狭窄,肠腔尚可通过。胸腹盆CT示直肠近端与乙状结肠交界处肠壁增厚,考虑肠癌,病变侵出浆膜层可能,周围小淋巴结可见。两肺多发结节状转移灶。于2017-02-10在我院普外科行“腹腔镜下直肠癌姑息性切除术”,术后病理示:直肠溃疡型中分化管状腺癌、合并少量黏液腺癌成分(约20%),免疫组化结果:肿瘤细胞:Her2(2+),P53(野生型),Ki67(+约80%),VEGF(1+),EGFR(1+),MLH1(+),MSH2(+),MSH6(+),PMS2(+);脉管:D2-40(+),CD34(+)。分子病理: K-ras 第2外显子点突变,N-ras、BRAF野生。
既往史/家族史:否认“糖尿病”、“高血压”等其他慢性疾病史;否认家族遗传病病史。
辅助检查
体格检查:
全身浅表淋巴结未触及肿大。双肺呼吸音粗,未闻及明显干湿啰音,心前区无隆起,心尖搏动位于左锁骨中线第五肋间内1cm处,未触及震颤,心率90次/分,律齐,心音有力,各瓣膜区未闻及明显杂音及额外心音。腹平坦,未见肠型及胃蠕动波,未见腹壁静脉曲张。全腹无压痛、反跳痛及肌紧张,肝脾肋下未及,肝肾区无叩击痛,移动性浊音阴性,肠鸣音正常。双下肢无水肿。
实验室检查:
2017-03-05 血常规、肝肾功能、电解质、纤溶功能、尿常规未见明显异常
2017-03-05 粪便常规提示隐血阳性
2017-03-05 肿瘤标记物示:CEA 21.3ng/mL,余未见明显异常
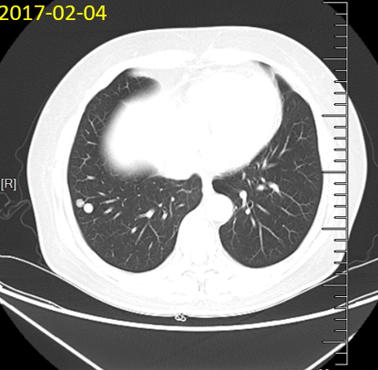
2017-02-04 胸腹盆CT提示双肺多发转移灶,余未见明显转移征象
影像学检查:

入院诊断:
病灶发生或复发时间、部位及状态、转移情况、基因分析结果:
直肠中分化腺癌姑息术后复发(肺转移)
MSS型
ras突变、Braf野生型
治疗方案:
一线治疗方案:
2017-03-10行化疗,方案为:奥沙利铂200mg iv d1+卡培他滨1.5g Po Bid d1-14,21d一周期。2017-04-07、 2017-04-27、2017-05-23、2017-06-23、2017-07-19行化疗联合靶向,方案为:奥沙利铂200mg iv d1+卡培他滨1.5g Po Bid d1-14+贝伐珠单抗 480mg iv d1,21d一周期。
2017-08-10开始维持治疗,方案为卡培他滨1.5g Po Bid d1-14+贝伐珠单抗 480mg iv d1,21d一周期。
化疗过程中出现2度骨髓抑制,以白细胞降低为主。
2018-01-09复查CT提示肺部病灶增大、增多,疗效评价:PD
影像学资料:







二线治疗方案:
2018-01-19、02-02、02-19、03-07、03-23、04-06、04-23、05-08、05-24开始二线治疗,方案为:伊立替康 180mg iv d1+5-Fu 0.5g bolus iv 3.0g civ 46h+贝伐单抗 300mg iv d1,14d一周期
化疗过程中出现3度骨髓抑制,以血小板降低为主
2018-06-08 开始单药卡培他滨维持治疗
2018-09-11复查CT提示肺部病灶增大、增多,疗效评价:PD
影像学检查:






三线治疗方案:
2018-09-12开始三线治疗,方案为:瑞戈非尼 160mg po d1-21,28d一周期;
治疗过程中出现2度手足综合征,减量至120mg;
2018-11-08复查胸部CT提示肺部病灶稍增大,疗效评价为SD;
继续口服瑞戈非尼 120mg po d1-21,28d一周期;
2019-01-07复查胸部CT提示肺部病灶明显增大、增多,但患者生活质量良好,拒绝再次化疗,要求继续瑞戈非尼治疗;
继续口服瑞戈非尼160mg po d1-21,28d一周期;
治疗过程中出现1度手足综合征及2度血小板减少。
疾病进展检查结果:






2019-03-21、2019-06-19 复查胸部CT提示肺部病灶稍增大,疗效评价:SD;
继续口服瑞戈非尼160mg po d1-21,28d一周期;
2019-09 失访;
2019-11 患者出现明显干咳,伴有胸闷、气喘,来我科就诊,查胸部CT提示肺部病灶明显进展,停用瑞戈非尼治疗;
2020-01 患者死亡。
疾病进展检查结果:








病例总结:
该患者为一例左半ras突变型肠癌,因肠梗阻入院,急诊行原发灶姑息性切除术,根据NCCN、CSCO指南以及CALGB 80405研究结果,给予患者抗血管生成联合化疗治疗,一线治疗失败后结合ML18147研究结果,给予患者选择贝伐珠单抗跨线治疗,在三线治疗中结合目前指南建议,选择瑞戈菲尼治疗,三线PFS时间近4个月,在三线进展后患者拒绝行进一步化疗,继续瑞戈菲尼治疗,最终线OS达35个月。特别值得关注的是三线治疗过程中,虽然病情进展,但患者生活质量高,持续瑞戈菲尼用药仍带来近16个月的OS,值得大家重视。
查看更多