壹生大学

壹生身份认证协议书

本项目是由壹生提供的专业性学术分享,仅面向医疗卫生专业人士。我们将收集您是否是医疗卫生专业人士的信息,仅用于资格认证,不会用于其他用途。壹生作为平台及平台数据的运营者和负责方,负责平台和本专区及用户相关信息搜集和使用的合规和保护。
本协议书仅为了向您说明个人相关信息处理目的,向您单独征求的同意,您已签署的壹生平台《壹生用户服务协议》和《壹生隐私政策》,详见链接:
壹生用户服务协议:
https://apps.medtrib.cn/html/serviceAgreement.html
壹生隐私政策:
https://apps.medtrib.cn/html/p.html
如果您是医疗卫生专业人士,且点击了“同意”,表明您作为壹生的注册用户已授权壹生平台收集您是否是医疗卫生专业人士的信息,可以使用本项服务。
如果您不是医疗卫生专业人士或不同意本说明,请勿点击“同意”,因为本项服务仅面向医疗卫生人士,以及专业性、合规性要求等因素,您将无法使用本项服务。

同意

拒绝

同意

拒绝

知情同意书

同意

不同意并跳过

工作人员正在审核中,
请您耐心等待
审核未通过
重新提交
完善信息
{{ item.question }}
确定
收集问题
{{ item.question }}
确定
您已通过HCP身份认证和信息审核
(
5
s)

黄雅为医生-一例关于前列腺癌术前辅助的病例

2023-12-20作者:医学论坛报秋宇资讯



基本情况

基本信息:男,68岁


主诉:前列腺癌内分泌治疗6月余


现病史:患者6月前因发现PSA升高(>400ng/ml),MRI提示:前列腺癌,累及精囊腺前缘,并骶前区盆腔、双侧髂血管旁多发淋巴结转移;右侧盆壁肌间隙结节,考虑转移可能性大;胸部CT及全身骨显像未见明显转移灶。在我院行前列腺穿刺活检,病理示前列腺腺泡腺癌(gleason评分4+4=8分,分组4),诊断前列腺癌(T4N1M1c),行醋酸戈舍瑞林+恩扎卢胺内分泌治疗,已行规律治疗6月余。入院查:PSA 0.05ng/ml,FPSA0.02ng/ml。


既往史:患者既往糖尿病病史,血糖控制可;余无特殊。


个人史:无特殊。


婚育史、家族遗传史:无特殊。


专科查体:前列腺中度增大,中央沟变浅,表面光滑,质地稍韧,未及明显结节,无触痛,指染无血迹。





检验检查

2023-05-09前列腺磁共振平扫+增强:“前列腺癌”治疗后复查,对比2022-11-24MR片:前列腺体积较前缩小,原DWI高信号消失;原右侧髂血管旁及盆壁肿大淋巴结,右侧闭孔外肌结节明显缩小或消失。


2023-05-08糖化血红蛋白测定(色谱法):糖化血红蛋白6.6%。


2022-11-28前列腺穿刺病理:癌组织呈腺样,筛孔状分布,细胞核大深染,异型性明显。


PSA




图片1.png

图片2.png


穿刺病理


图片3.png



8.png




全身骨显像:上段颈椎左侧、L5-S1、右肩代谢异常活跃,考虑良性病变可能。建议定期复查全身骨显像。


9.png

10.png




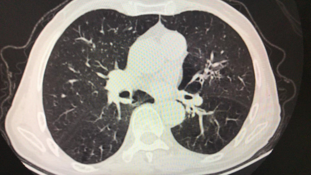
胸部CT平扫:两肺局限性肺气肿、肺大疱;两肺少许结节;右肺中叶及左肺上叶舌段慢性炎性病灶。





诊治经过

诊断前列腺癌(T2cN0M0),于2023/05/14在全麻下行腹腔镜下根治性前列腺癌切除术(机器人援助操作);术后恢复顺利。





术后病理

11.png





疗效评估

12.png





新辅助数据

目前有多家中心探索恩扎卢胺用于新辅助,结果显示恩扎卢胺可以降低患者分期,使患者获得手术切除肿瘤的机会。


13.png

14.png


NEAR研究:Ⅱ期单臂研究,为了探寻术前新型内分泌治疗新辅助的应用。纳入30例计划进行根治术做为初始治疗的中高危前列腺癌患者,接受12周口服新型内分泌药物治疗,须在最后一次服药后6周内进行机器人前列腺癌根治术。


结果显示:新型内分泌治疗新辅助可以使患者PSA下降的中位值达到93.4%,手术切缘阳性率与该中心既往进行根治术相比显著降低,只有12%(既往42.9%)。





总结思考

术前患者应用恩扎卢胺内分泌治疗,理论上可以降低前列腺癌的临床肿瘤分期。首先,经过内分泌治疗以后,不仅瘤体本身缩小,盆腔空间相对增加,术中可以更佳精准准确地切除肿瘤,降低了切缘阳性率。其次,在细胞学方面,新辅助内分泌治疗可降低肿瘤恶性程度。


通过该病例患者的治疗,可以看到ADT+普来坦联合治疗,为新辅助患者带来显著的PSA下降和肿瘤病灶的缩小并控制,减少手术难度。目前持续随访中,观察患者术前辅助情况。

200 评论

查看更多