查看更多
密码过期或已经不安全,请修改密码
修改密码
壹生身份认证协议书
同意
拒绝
同意
拒绝
同意
不同意并跳过
基本资料
性别:女
年龄:55岁
入院时间:2016年12月22日入院
主诉:便秘半年,大便带血半月
现病史:
患者自诉于2016年6月起无明显诱因下出现便秘,需服用通便药物方能排便,不服药则不解,便量少,大便干结,近半月来,患者使用通便药物排出大便带有少许鲜红色血液。
既往史:
既往体健,无高血压、心脏病史,无慢性支气管炎、慢阻肺病史,无甲亢、甲减等病史。
家族史:否认家族及遗传病史。
辅助检查
入院查体:
PS评分:0分,NRS评分:0分,全身未扪及肿大的浅表淋巴结,腹部平坦,腹软,无压痛,反跳痛,未触及包块,肝脾肋下未及。移动性浊音(-)。肠鸣音4次/分。肛门直肠指诊未触及明显肿物。
实验室检查:
肿瘤指标:CA199 70.68 U/ml ;
影像学检查:
胸部CT平扫+增强:未见明显异常。
腹部CT平扫+增强:结肠冗长,升结肠近段管壁不均匀增厚,考虑恶性肿瘤性病变可能
上腹部磁共振:肝内多发囊肿; 腹腔少量积液。
电子肠镜示:进镜至距肛门约20cm见溃疡浸润性病变,占据整个管腔,病变处管腔狭窄,内镜无法通过,活检质脆,易出血。其余所见大肠黏膜光滑,血管网清。
肠镜病理:(距肛门约20CM)高级别粘膜内肿瘤,不除外浸润癌。
治疗过程:
结肠癌根治术
2016年12月29日在全麻下进行腹腔镜下结肠癌根治术,术后病理:(结肠)中分化腺癌,侵及肠壁全层及肠壁外脂肪组织,手术切缘及基底部均未见癌累及。肠旁找及淋巴结7枚,其中4枚见癌转移。(pT3N2aM0 IIIB期)
2017-01-17 术后复查:
肿瘤指标:糖类抗原-199 58.97 U/ml
胸部CT平扫+增强:未见明显异常。
中腹部(双肾)CT平扫+增强:较前2016.12.23片无明显改变。
子宫及附件磁共振平扫+增强:直肠周围及骶前异常信号,考虑“直肠肿瘤”术后改变,未见明确肿瘤残留或复发征象。
辅助化疗:

2017年01月19日至2017年05月15日行XELOX方案化疗5周期
第一次进展(2017-06-02)



2017-06-02CT:结肠Ca术后改变,未见明确复发CT征象。 两肺多发小结节,考虑为多发转移瘤。

2017-06-02 血常规:
白细胞计数 2.52×10^9/L,
红细胞计数 3.02×10^12/L,
血红蛋白 104g/L,
血小板计数 59×10^9/L;
基因检测:KRAS、NRAS、BRAF全野生型
2017-06-29至2017-12-01:
西妥昔单抗800 mg D1 +伊立替康280 mg D1方案化疗8个周期。
第二次进展(2018-03-15)
2018-01-17:
2018-03-15:
2018-03-23至2018-07-06予:
伊立替康0.24g d1+左亚叶酸钙300mg d1+5-FU 0.5g IV d1, 5-FU 3g持续泵入46小时+西妥昔单抗注射液700mg d1 化疗8周期
第三次进展(2018-07-23)
2018-05-16:

2018-07-23:


行经皮肺穿刺:(肺)转移性腺癌,考虑来源于直肠。
免疫组化:
癌细胞 CK(+)、CK20(+)、CDX2(+)、CEA(+)、TTF-1(-)、
NapsinA(-)、Vim(-)、PD-L1(-)、CK7(-)、Ki-67约50%(+)。

2018-07-25 B型脑纳肽检测:
B型脑纳肽 265.53 pg/ml,肌酶谱、血清肌钙蛋白未见异常。
心电图:
1、窦性心动过缓,
2、T波改变。
心脏彩超:二尖瓣、三尖瓣、主动脉瓣微量反流。左室射血分数65%(50-70%),
2018-07-28至2018-12-27行方案:
贝伐珠单抗 300mg d 1+ 雷替曲赛 3.9mg d1 化疗7周期
第四次进展(2019-02-20)
2018-12-21:
2019-02-20:
肺部病灶行放疗+GM-CSF,2019-04-13选择右肺4个病灶作为靶区ITV,后者外扩0.5cm形成PTV,分别给予处方剂量:35Gy/10次。




2019-05-24至2019-07-04瑞格非尼靶向治疗:
第一周80mg/天,
第二周120mg/天,
第三周160mg/天,
后以120mg/天
第五次进展(2019-07-04)
2019-05-22:
2019-07-04:
REGONIVO:
目前入组50例患者(无既往瑞戈非尼治疗,允许既往肿瘤免疫治疗):
FPFV:2018年1月
LPFV:2018年10月
29例患者仍在治疗中(数据截止日期:ASCO GI 2019)
2个研究中心开放并在2个队列中进行招募:
胃癌患者
mCRC患者
主要目的:周期1的剂量限制性毒性(DLT)以研究最大耐受剂量(MTD)和推荐剂量(RD)
次要目的:
客观缓解率(ORR)
无进展生存(PFS)
总生存(OS)
疾病控制率(DCR)

所有患者的中位PFS :6.3个月
晚期结直肠癌的中位PFS :6.3个月
晚期胃癌的中位PFS 5.8个月
中位治疗持续时间:6.1个月
2019-07-09开始给予免疫联合靶向治疗:
卡瑞丽珠单抗(Camrelizumab)(SHR-1210)200mg d1 q3w 6周期+ 瑞戈非尼120mg d1-21 q4w
免疫治疗3周期后,患者感明显胸闷、乏力。
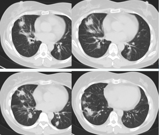
2019-09-05胸部CT:
与2019-07-04CT片比较:两肺多发结节部分增多伴周围炎症加重。
2019-07-04:
2019-09-05:
假性进展(pseudoprogression)




2019-09-10 游离甲状腺激素(FT3,FT4,促甲):超敏促甲状腺素 15.476mIU/l,游离甲状腺素 1.14ng/dl,游离三碘甲状腺原氨酸 2.43pg/ml。

免疫相关性甲减、免疫相关性肺炎
补充甲状腺素片
甲基强的松龙 40mg qd 治疗1周后胸闷、乏力等症状明显好转
继续给予免疫治疗3周期至2019-12-15
2019-09-05:
2019-12-27:
患者因免疫性肺炎,停用免疫治疗,于2019.12.27开始单药口服单药瑞戈非尼
2019-12-27:
2020.03.13:
病例小结:

查看更多