查看更多
密码过期或已经不安全,请修改密码
修改密码
壹生身份认证协议书
同意
拒绝
同意
拒绝
同意
不同意并跳过
基本资料
性别:男
年龄:58岁
身高:170cm
体重:65kg
主诉:结肠肿物综合治疗7月。
现病史:患者于2019-8-21因反复胸痛、气促入住呼吸内科,期间查中腹部CT示:结肠癌肝、骨、淋巴结转移。电子肠镜示:直乙交界CA?肠镜病理提示:(直乙交界)结合免疫组化符合腺癌改变。免疫组化:CK弱阳性、CK20灶性+、syn-、cgA-、CD56-、Ki67(80%+)、P53(90%+,突变型表达)。诊断为结肠癌并腹腔淋巴结、肝、骨多发转移,转入我科,KRAS基因检查:检测到突变。
既往史/家族史:有浅表性胃炎、继发性肺结核、结节性甲状腺肿病史。
辅助检查
体格检查:
T36.5℃,P78次/分,R20次/分,BP127/81mmHg,神志清,双肺叩诊呈清音,听诊呼吸音清晰,未闻及干湿性啰音。心率78次/分,心律齐,各瓣膜听诊区未闻及杂音。腹部平坦,腹软,全腹无压痛及反跳痛,无移动性浊音,肠鸣音4次/分,双下肢无浮肿。
实验室检查:
CEA 578 ug/L
影像学检查:
胸腹部CT:
1、右中肺、双下肺少量炎症合并支气管扩张。
2、双上肺、右下肺背段继发性肺结核,病灶以纤维增殖灶为主,合并支气管扩张。
3、甲状腺右叶低密度灶,性质待定,结节性甲状腺肿?
4、肝脏稍低密度灶、腹膜后多发淋巴结肿大,性质待定,建议腹部CT平扫及增强扫描检查。 

入院诊断:
1、原发Ⅳ期结肠癌;
2、原发灶:直乙交界结肠癌
3、肝、骨、腹腔淋巴结转移
4、KRAS基因检查:检测到突变,标本不够未查MSI。
治疗方案:
一线治疗方案:
于13/9、29/9、15/10行氟尿嘧啶4.1+奥沙利铂140mg+亚叶酸钙600mg化疗3程。
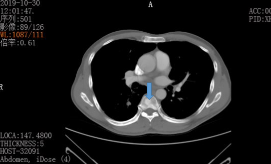
30/10日检查结果:与2019.08.20片胸部CT对比: 1、右中肺、双下肺少量炎症合并支气管扩张,同前片相仿。
2、双上肺、右下肺背段继发性肺结核,病灶以纤维增殖灶为主,合并支气管扩张,同前片相仿。 3、甲状腺右叶低密度灶,性质待定,结节性甲状腺肿?同前片相仿。
与2019.08.24片对比:
4、肝多发转移瘤,同前片大致相仿;腹膜后、肠系膜周围肿大淋巴结转移,较前片缩小。
5、肝多发小血管瘤。
6、胸骨、胸腰骶椎、骨盆及双侧股骨上段多发转移瘤。
7、乙状结肠肠壁不均匀增厚,考虑为结肠Ca,侵犯浆膜层。
8、双肾数枚小囊肿。
9、前列腺增生。CEA 1596 ug/L 。
疗效:PD

二线治疗方案:
9/11、26/11、11/12更改为依立替康+氟尿嘧啶+亚叶酸钙化疗3程,同期于11月初行腰椎转移瘤姑息性放疗。
31/12日检查结果:与2019.10.30片胸部CT对比: 1、双肺炎症同前片相仿。
2、甲状腺右叶低密度灶,性质待定,结节性甲状腺肿?同前片相仿。
3、右侧少量胸腔积液。
4、肝多发转移瘤,同前片大致相仿;腹膜后、肠系膜周围肿大淋巴结转移,较前片缩小。
5、肝多发小血管瘤。
6、胸骨、双侧肩胛骨、部分肋骨、锁骨、胸腰骶椎、骨盆及双侧股骨上段多发转移瘤,较前进展。 7、乙状结肠多段肠壁不均匀增厚,考虑为结肠Ca,侵犯浆膜层,未排除肠周淋巴结转移。
8、双肾数枚小囊肿。
9、前列腺增生。CEA 1808 ug/L 。
疗效:PD 

三线治疗方案:
2020-1-2日始予替吉奥+瑞戈非尼方案治疗。
影像学评估:
胸腹部CT:
1、右中肺、左下肺少量炎症合并支气管扩张,较前吸收、减少;原右下肺炎症已吸收。
2、双上肺、右下肺背段继发性肺结核,病灶以纤维增殖灶为主,合并支气管扩张,同前片相仿。 3、甲状腺右叶低密度灶,性质待定,结节性甲状腺肿?同前片相仿。
4、原胸腔积液已吸收。
5、肝多发转移瘤,同前片大致相仿;腹膜后多发小淋巴结,较前片缩小,拟转移。
6、肝多发小血管瘤,同前相仿。
7、胸骨、双侧肩胛骨、部分肋骨、锁骨、胸腰骶椎、骨盆多发转移瘤,与前大致相仿。
8、双肾数枚小囊肿,同前相仿。CEA 3697 ug/L 。
疗效:SD

病例总结:
1.原发直乙交界Ⅳ期结肠癌,肝、骨、腹腔淋巴结转移,KRAS基因检查:检测到突变,标本不够未查MSI。
2. KRAS突变型晚期结肠癌,根据NCCN、CSCO指南一线FOLFOX方案化疗,进展后予FOLFILI方案二线化疗联合骨转移灶局部放疗;二线进展后予瑞戈非尼三线靶向治疗,既往化疗骨转移灶进展明显,软组织病灶控制可,予联合口服5FU类药物治疗。
3. 该患者一线、二线方案化疗持续进展,临床中亦较为常见,该部分患者往往治疗效果不佳,预后较差;
4. 既往晚期结直肠癌一二线化疗进展后无更好的治疗方案,往往进入姑息对症治疗阶段,患者生存期短,生活质量低下,瑞戈非尼三线治疗为该部分患者提供选择,部分患者改善生活质量,延长生存,使更多患者临床获益。
查看更多