查看更多
密码过期或已经不安全,请修改密码
修改密码
壹生身份认证协议书
同意
拒绝
同意
拒绝
同意
不同意并跳过
基本资料
性别:男
年龄:56岁
主诉:因“便血2天”于当地医院就诊
既往史:高血压病史25年,氨氯地平5mg qd+厄贝沙坦150mg qd治疗,血压控制良好
个人史:吸烟30年,40支/日,现3支/日
家族史:父母均有高血压病史,2兄1姐有高血压病史。
辅助检查
实验室检查:
2017-9-15肠镜病理示:直肠中分化腺癌
c TNM:cTxNxM1a IVA期,ECOG:0分
CEA:64.09ng/ml
基因检测:KRAS突变
影像学检查:
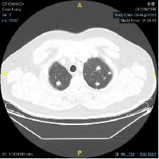
CT示:两肺多发转移瘤
MRI示:直肠上段占位,骶前癌结节形成
治疗经过:
2017-9-27至2017-11-12于外院
贝伐珠单抗500mgD1+奥沙利铂100mg/120mgD1+氟尿嘧啶0.5D1+CF 0.4D1+氟尿嘧啶2泵24小时*2天*4次
2017-12来我院就诊,MDT讨论后建议手术治疗,暂停贝伐单抗一次,行奥沙利铂200mgD1+卡培他滨1.5bidD1-14*1周期
2018-1-10行直肠癌根治术
术后病理:直肠溃疡型乳头状-管状腺癌,中-低分化,累及全层达脂肪结缔组织,未见明确化疗反应。切缘(—)。反复寻找肠系膜淋巴结,3/6见转移癌,部分淋巴结周围纤维结缔组织中见癌浸润
ypTNM:ypT3aN1bM1a IVA期,ECOG:0分
2018-2-6至2018-4-24“贝伐单抗700mgD1+奥沙利铂250mgD1+卡培他滨2.0bidD1-14”治疗4周期(第一周期未用贝伐单抗)
2018-3-30(2周期后)复查CT:多发肺转移,部分较前稍有退缩,部分较前稍有增大。疗效SD
2018-5-17(4周期后)复查CT:两肺多发转移,总体较前变化不大。疗效SD
2018-5-17至2018-6-28“贝伐单抗700mgD1+卡培他滨2.0bidD1-14”治疗3周期
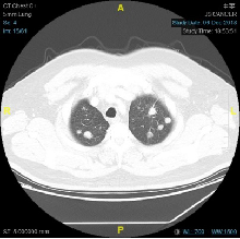
2018-7-19复查CT:两肺多发转移较前增大。疗效PD
PFS1:6个月
2018-02-06:






2018-07-19:





2018-07基因检测:KRAS突变,MSI-L:4.72%,TMB:5.38个/Mb,TNB:4.03个/Mb,PD-L1:TC<1%
2018-7-20至2018-11-01予“贝伐单抗700mgD1+伊立替康400mgD1+卡培他滨1.5bidD1-14”治疗6周期
2018-8-30(2周期)复查CT:双侧肺野多发转移,部分较前退缩,部分较前变化不大。疗效评价:SD
2018-10-11(4周期)复查CT:两肺多发转移灶及余胸腹部情况均较前变化不大。疗效评价:SD
2018-12-6(6周期)复查CT:与2018-8-30对比,疗效评价:PD
PFS2:5个月
2018-8-30:





2018-12-6:





2018-12-28、2019-1-25予“GB201 240mg po q12h” 治疗2周期
GB201是一种癌症干细胞通路靶向抑制剂
2019-2-21复查CT:两肺多发转移灶,部分较前增大。疗效评价:PD
PFS3:2个月
GB201联合FOLFIRI对比GB201在标准化疗失败的转移性结直肠癌患者中的随机、开放、国际多中心、III期临床试


GB201联合FOLFIRI非临床有效性依据:


GB201联合5-FU 或伊立替康:
1. 强烈协同抗肿瘤作用 2. 逆转化疗引起的干性信号通路激活
2019-2-25瑞戈非尼 靶向治疗
2019-5-6复查CT:两肺病灶较前增大。疗效评价:PD
PFS4:2个月
2019-2-21:





2019-5-6:





治疗过程中肿瘤标志物的变化:

AE及处理:
二级手足皮肤反应:尿素维E软膏缓解
一级口腔粘膜炎:漱口水
后续治疗方案的选择?
1、前序化疗方案药物的再次尝试
2、免疫检查点抑制剂的治疗
3、临床试验——多靶点持续抗血管联合免疫治疗
4、最佳支持治疗
多靶点持续抗血管联合免疫治疗机制与临床探索
免疫检验点抑制剂的作用机制:


肿瘤免疫与抗血管治疗具有协同作用
VEGF信号通路促进血管生成&抑制肿瘤免疫

抗血管治疗有助于重建肿瘤免疫平衡

免疫+抗血管治疗可能产生更强的抗肿瘤作用
免疫刺激——血管重塑循环

抗血管生成药物可以使肿瘤血管曲折正常化和重塑, 使免疫效应细胞肿瘤浸润增加
抗血管生成药物与免疫检验点抑制剂联合已被证明可能产生更有效的抗肿瘤作用, 并具有临床潜力
抗血管生成药物可减轻免疫抑制, 而免疫治疗可诱导血管改变或产生抗血管作用; 因此, 免疫治疗和/或抗血管生成治疗可能在肿瘤内形成免疫刺激——血管重塑循环
抗血管药物联合免疫检验点抑制剂可能产生更有效的抗肿瘤作用, 并具有临床潜力
REGOMUNE研究: 瑞戈非尼+ Avelumab治疗消化道肿瘤的多中心前瞻性开放标签I/II期研究
Ib期剂量爬坡部分(3+3方案)

II期研究部分: 采用I期研究阶段确定的II期推荐剂量(RP2D)
下一步治疗:
2019-5-8 帕博利珠单抗+瑞戈非尼
期待疗效
治疗回顾:


查看更多