壹生大学

壹生身份认证协议书

本项目是由壹生提供的专业性学术分享,仅面向医疗卫生专业人士。我们将收集您是否是医疗卫生专业人士的信息,仅用于资格认证,不会用于其他用途。壹生作为平台及平台数据的运营者和负责方,负责平台和本专区及用户相关信息搜集和使用的合规和保护。
本协议书仅为了向您说明个人相关信息处理目的,向您单独征求的同意,您已签署的壹生平台《壹生用户服务协议》和《壹生隐私政策》,详见链接:
壹生用户服务协议:
https://apps.medtrib.cn/html/serviceAgreement.html
壹生隐私政策:
https://apps.medtrib.cn/html/p.html
如果您是医疗卫生专业人士,且点击了“同意”,表明您作为壹生的注册用户已授权壹生平台收集您是否是医疗卫生专业人士的信息,可以使用本项服务。
如果您不是医疗卫生专业人士或不同意本说明,请勿点击“同意”,因为本项服务仅面向医疗卫生人士,以及专业性、合规性要求等因素,您将无法使用本项服务。

同意

拒绝

同意

拒绝

知情同意书

同意

不同意并跳过

工作人员正在审核中,
请您耐心等待
审核未通过
重新提交
完善信息
{{ item.question }}
确定
收集问题
{{ item.question }}
确定
您已通过HCP身份认证和信息审核
(
5
s)

实例鉴证,携爱而行|呋喹替尼联合治疗结直肠癌拨云见日,晚期二线探索柳暗花明

2023-05-26作者:Kangn资讯

我国结直肠癌发病率在全部恶性肿瘤中位居第二位,死亡率位居第四位,而远隔脏器转移是晚期结直肠癌患者死亡的主要原因之一[1]。目前,化疗的疗效已进入平台期,分子靶向治疗成为改善晚期结直肠癌预后的主要治疗手段[2]。呋喹替尼作为我国自主研发治疗转移性结直肠癌(mCRC)的新型小分子靶向药物,2018年获得国家药品监督管理局(NMPA)批准并正式上市,为mCRC患者提供了治疗新手段与新选择。上市5年来,接受过呋喹替尼治疗的晚期结直肠癌患者已超过7万名,为相关患者带来了一定的生存获益。下面分享两例晚期结直肠癌术后应用呋喹替尼联合免疫或化疗的真实世界病例,期待为临床用药带来新思考。


(以下病例仅系相关主治医生在执业过程中的病情回顾与评述,个体病例通常具有差异性,具体治疗方案及用药应当结合个体情况并严格遵循医嘱。)



病例1


病例提供者

图片

李蓉 教授

云南省肿瘤医院消化肿瘤内科


  • 主治医师,肿瘤学博士研究生

  • 中华结直肠癌MDT联盟云南分盟昆明分会委员

  • 云南省预防医学会胰腺癌防治专业委员会委员

  • 云南省抗癌协会肿瘤临床化疗专业委员会秘书

  • 云南省戒烟联盟委员

  • 2018年“昆明医科大学青年岗位能手”;

  • 2018年云南省“五一巾帼标兵”;

  • 2017年云南省第一届全省医师“三基”技能大赛,个人赛“技术能手称号”;

  • 2017年云南省第一届全省医师“三基”技能大赛,团体赛一等奖;

  • 主持省级科研项目及博士研究生创新基金2项,参与国家自然科学基金等科研项目9项。第一作者发表论文6篇,其中SCI及北大核心3篇。参与获得2019年度云南省卫生科技成果奖三等奖(6/11)。


病例提供者指导老师

图片

谢琳 教授

云南省肿瘤医院消化肿瘤内科


  • 博士,博士研究生导师,教授,消化肿瘤内科主任

  • 云岭名医;云南省医学学科带头人;云南省中青年学术科技带头人

  • 美国Emory 大学医学院肿瘤研究中心访问学者

  • 中国南方肿瘤临床研究协会青年委员会副主任委员

  • 云南省转化医学会消化肿瘤分会主任委员

  • 云南省抗癌协会肿瘤临床化疗专业委员会主任委员

  • 中华结直肠癌MDT联盟云南分盟昆明分会常委

  • CSCO胆道专业委员会委员,CSCO肿瘤营养治疗专家委员会,抗癌协会抗肿瘤药物委员会委员等多个国家、省级专业委员会委员

  • 近5年主持国家自然科学基金2项和云南省级基金共计6项

  • 获云南省科技进步奖特等奖1项,二,三等奖及云南省卫生科技成果奖6项。以第一作者或通信作者发表论文50余篇,其中SCI收录14篇。单篇影响因子最高15.828。出版以主编,副主编身份出版专著或教材4部,参编4部。研究成果申请国家专利并获授权6项(其中发明专利5项,实用新型专利1项)


01
基本情况


一般资料:女性患者,54岁。


现病史:患者于2017年7月31日因“乙状结肠癌根治术后1月余”入院。


既往史:2005年于外院行阑尾切除术,2008年于外院行乳腺导管瘤切除术,2017年7月10日于外院行乙状结肠癌根治术。


查体:患者一般情况尚可,神志清楚;双肺呼吸音粗,未闻及啰音,心率80次/分,心律齐,腹部平坦,可见一长约20cm手术瘢痕,未见胃肠蠕动波,腹肌软,全腹无压痛,无反跳痛,无异常包块,肝脏、脾脏未触及;肠鸣音4次/分,无移动性浊音。


身体质量指数(BMI):24.61 kg/m2;体力状况评分(ECOG PS):1分;营养风险评分1分;日常生活能力(ADL):Ⅰ级。


2017年7月18日外院病理检查提示:乙状结肠中分化腺癌,浸润肠壁全层,达浆膜外,脉管内癌栓(-),神经侵犯(+),标本上下切缘(-)。淋巴结转移情况(0/14枚),肠系膜癌结节(+)。免疫组化:CK(+)、CK7(+)、CK20(+)、CK18(+)、CEA(+)、Ki-67(50%+)、EGFR(-)、CDX2(+)、S-100(-)、Her2(1+)、P53(+)、D240(-)、CD34(-)、TOPOⅡ(20%)、PSM2(+)、MSH2(+++)、MSH6(++)、MLH1(++)、pMMR。


2017年8月1日患者行腹部CT检查,提示:乙状结肠近端肠腔局限狭窄,肠壁稍厚,增强后欠均匀,轻-中度强化,邻近左侧髂血管旁见大小约2.9cm*2.0cm低密度结节,增强后边缘薄环状强化,中心无强化;肝左右叶散在多个低密度结节,边界尚清,强化几乎无强化,多考虑肝囊肿(图1)。


图片

图1. 腹部CT检查(2017年8月1日)


02
入院诊断


乙状结肠中分化腺癌 pT4aN1cM0 ⅢB期 pMMR(神经侵犯+)。


03
诊疗经过


1.术后辅助化疗:XELOX方案(2017年8月4日至12月18日)


患者分别于2017年8月4日、2017年8月25日、2017年9月15日、2017年10月11日、2017年11月2日、2017年11月24日、2017年12月18日行7周期XELOX化疗方案(奥沙利铂 200mg d1,卡培他滨 1500mg bid d1-14)。


患者于化疗第2周期、4周期、6周期治疗后复查腹部CT,提示腹腔内病灶较前未见明显改变。


患者无明显肿瘤复发及转移征象,建议患者继续行术后辅助化疗,但患者因个人原因未再治疗,分别于2018年5月11日、2018年11月27日至门诊不规律复查,期间未见肿瘤复发、进展。


2018年11月29日肠镜检查提示:见阑尾开口及回盲瓣清晰未见异常。盲肠、升结肠、结肠肝曲、横结肠、结肠脾曲、乙状结肠肠腔无狭窄、痉挛,结肠吻合口,开口大小正常,周围黏膜光滑规整,肛门内外未见异常。


  • 术后复发


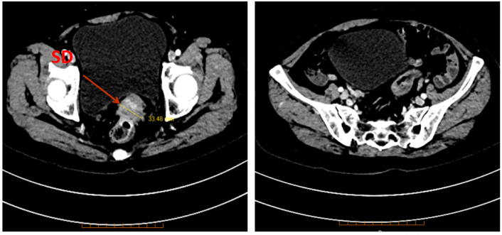
2019年10月17日行盆腔MRI检查提示:子宫直肠间隙内见一等T1等T2信号肿块,信号欠均匀,范围约3.1cm*4.3cm*2.9cm,DWI呈高信号,增强扫描不均匀环形强化,病灶大部分与宫颈后唇分界不清,部分基质消失,向后与直肠前壁分界不清,邻近肠壁增厚。考虑恶性,转移?宫颈及直肠受累(图2)。


2019年10月18日行腹部CT检查,对比(2018年5月11日)CT片后提示:降结肠近乙状结肠处肠壁稍厚,周围脂肪间隙模糊,较前减轻,请结合临床复查;宫颈增大并肿块形成,粘连直肠,直肠壁增厚,宫颈癌累及直肠可能,请结合妇检及肠镜;肝脏多发结节,多考虑肝囊肿,大致同前(图3)。


图片

图2. 盆腔MRI检查(2019年10月17日)


图片

图3. 腹部CT检查(2019年10月18日)


2019年10月22日行肠镜检查,提示:直肠新生肿物,性质待病检(多考虑癌复发)。病理检查提示(直肠)黏膜内腺癌。


2019年10月24日行宫颈活检,提示(宫颈)腺癌;免疫组化:考虑肠癌转移。


疗效评估:患者术后出现直肠、宫颈等多处新发病灶,肿瘤复发。

完善基因检测提示:KRAS、NRAS、BRAF野生型,MSS。


目前诊断:1.乙状结肠腺癌术后复发(KRAS、NRAS、BRAF野生型,MSS);2.宫颈继发恶性肿瘤;3.直肠继发恶性肿瘤。


2.一线治疗:FOLFIRI方案化疗1周期+“西妥昔单抗+FOLFIRI”方案治疗10周期(2019年10月29日至2020年6月16日)


患者于2019年10月29日行1周期FOLFIRI方案化疗(伊立替康 240 mg d1;左亚叶酸钙 300mg d1,氟尿嘧啶 500mg d1 3250mg civ 48h)。


患者于2019年11月15日、2019年12月3日、2019年12月25日、2020年1月15日、2020年2月1日、2020年2月22日、2020年3月19日、2020年4月9日、2020年5月15日、2020年6月16日行10周期“西妥昔单抗+FOLFIRI”方案治疗(西妥昔单抗 800mg d1;伊立替康 240 mg d1;左亚叶酸钙 300mg d1,氟尿嘧啶 500mg d1 3250mg civ 48h)。


通过患者的影像学检查提示,直肠-子宫颈间病灶较前未见明显改变(表1)。疗效评价:疾病稳定(SD)。经多学科会诊(MDT)讨论评估,病灶可局部切除,建议先行同步放化疗后择期手术治疗。


表1. 腹部CT及盆腔MRI检查

腹部CT

2019年11月29日

图片

腹部CT

2020年1月12日

图片

腹部CT

2020年2月18日

图片

盆腔MRI

2020年2月17日

图片

腹部CT

2020年4月4日

图片

盆腔MRI

2020年4月4日

图片

腹部CT

2020年4月28日

图片

盆腔MRI

2020年4月30日

图片


  • 盆腔放疗25次


患者于2020年5月至2020年7月23日行盆腔放疗25次,2Gy/F。放疗后患者症状缓解,拒绝手术,给予患者“西妥昔单抗+卡培他滨”维持治疗,此后定期至门诊复查,未见肿瘤进展(图4)。


图片图片

图4. 盆腔MRI检查(上:2020年7月23日;下:2020年9月3日)


患者于2021年1月6日复查胸、腹部CT检查,提示双肺部多发结节,大者位于右肺下叶后基底段,大小约1.3cm*1.3cm,考虑转移(图5)。


图片

图5. 胸、腹部检查(2021年1月6日)


患者肿瘤转移至肺脏。疗效评价:疾病进展(PD)。


目前诊断:1.乙状结肠腺癌 rT4aN1cM1a IVa期(KRAS、NRAS、BRAF野生型,MSS);2.宫颈继发恶性肿瘤;3.直肠继发恶性肿瘤;4.肺部继发恶性肿瘤。


  • 二线治疗:


1.呋喹替尼单药靶向治疗(2021年1月26日至2022年1月)


患者于2021年1月8日给予“贝伐珠单抗+FOLFOX”方案治疗,患者输注奥沙利铂约50ml后出现胸部、双上肢皮疹,感呼吸困难明显,患者拒绝继续尝试用药。


患者于2021年1月26日开始行呋喹替尼靶向治疗(呋喹替尼 5mg qd d1-21,Q4w)。


通过患者复查胸、腹部CT检查提示,患者在应用呋喹替尼治疗8周期期间肺部病灶较前未见明显改变,直肠-子宫颈间肿块较前稍增大(图6)。


疗效评价:SD。


图片图片

图6. 胸、腹部CT检查(上:2021年2月25日;下:2021年9月22日)


患者行呋喹替尼治疗12周期后于2022年1月13日复查胸、腹部CT检查,对比(2021年9月22日)CT片后提示:1、直肠-子宫颈间肿块较前变化不明显,病灶邻近直肠壁不规则增厚,大致同前;2、双肺多发实性结节,大者位于右肺下叶背段,大小约1.8cm*1.7cm,较前增大、增多,考虑转移,建议复查(图7)。


疗效评价:PD。


图片

图7. 胸、腹部CT检查(2022年1月13日)


2.呋喹替尼+信迪利单抗+局部病灶介入治疗(2022年1月24日至2022年10月)


患者肺脏肿瘤较前增多、增大,MDT讨论中介入科意见:评估肺脏肿瘤病灶后可行肺脏恶性肿瘤射频消融术,于2022年1月24日行“数字减影血管造影技术(DSA)下肺脏病灶消融术(右肺上叶)”。


全身治疗继续呋喹替尼靶向治疗(呋喹替尼 5mg qd d1-14,Q3w),加用免疫治疗(信迪利单抗 200mg d1 q3w)。


患者于2022年3月6日复查胸、腹部CT检查,对比(2022年1月14日)CT片后提示:1、直肠-子宫颈间肿块较前变化不明显,病灶邻近直肠壁增厚,大致同前;2、双肺多发实性结节,考虑转移瘤,大者位于右肺下叶背段,大小约2.2cm*1.8cm。其中右肺上叶尖段、前段部分病灶消融术后改变,未见确切活性,余病灶大致同前,建议复查(图8)。


图片

图8. 胸、腹部CT检查(2022年3月6日)


患者目前肿瘤进展,疗效评价:SD。


基于患者肺脏肿瘤继续进展,在此请介入科会诊,于2022年3月17日行“DSA下肺部肿瘤内碘125粒子植入术”(于右肺中每隔1cm植入1枚粒子,共植入9枚)。


全身治疗继续口服“呋喹替尼+信迪利单抗”靶向治疗(呋喹替尼 5mg qd d1-14,信迪利单抗 200mg d1,Q3w)。


患者于2022年6月2日复查胸、腹部CT检查,对比(2022年3月6日)CT片后提示:1、直肠-子宫颈间肿块较前稍缩小,病灶邻近直肠壁增厚,大致同前;2、双肺多发实性结节,考虑转移瘤,大者位于右肺下叶背段且其内致密影,大小约1.7cm×1.4cm,部分病灶为消融术后改变,较前无明显变化;右肺下叶背段结节并致密影,较前缩小(图9)。


图片

图9. 胸腹部CT检查(2022年6月2日)


患者目前病情稳定。疗效评价:SD。


患者病情稳定,可继续行当前呋喹替尼靶向治疗。但考虑患者治疗期间伴有乏力、恶心,自觉难以耐受,药物予适当减量(呋喹替尼3mg qd d1-14,信迪利单抗200mg d1,Q3w)。


患者于2022年10月11日出现便血、阴道流血,于2022年10月15日复查胸、腹部CT检查,对比(2022年3月6日)CT片提示:1、直肠-子宫颈间肿块较前稍增大,病灶邻近直肠壁增厚,大致同前;2、双肺多发实性结节,考虑转移瘤,部分病灶为消融术后改变,大者位于右肺下叶背段且其内致密影,大小约1.8cm*1.3cm,较前无明显变化(图10)。2022年10月30日上腹部MRI检查提示:肝右前叶上段结节,转移不能除外,建议隔期复查(图11)。


疗效评价:PD。


图片

图10. 胸腹部CT检查(2022年10月15日)


图片

图11. 上腹部MRI检查(2022年10月30日)


目前诊断:1.乙状结肠腺癌 rT4aN1cM1b ⅣB期(KRAS、NRAS、BRAF野生型,MSS);2.盆腔继发恶性肿瘤;3.肺部继发恶性肿瘤;4.肝脏继发恶性肿瘤(可能)。


3.呋喹替尼+信迪利单抗+外科局部手术治疗(2022年11月3日至2023年3月4日)


患者肿瘤进展,出现肿瘤阴道瘘,阴道流血,感染,里急后重情况明显,患者强烈要求控制症状。MDT讨论后评估可行盆腔廓清术联合腹腔热灌注,姑息性减轻症状,减低肿瘤负荷。于2022年11月3日行“女性盆腔廓清术+永久性结肠造口术+输尿管造口术”。术后病理检查,提示:“全膀胱+全子宫双侧附件+直肠及肿瘤”宫颈全取,宫颈内口、右卵巢、膀胱:镜下见腺癌组织。腺癌,结合HE、病史及免疫组化,首先考虑肠癌转移。术后给予腹腔热灌注3次,隔天一次,患者一般情况欠佳,暂未进行药物灌注。


患者于2023年1月9日、2023年2月6日继续口服“呋喹替尼+信迪利单抗”治疗(呋喹替尼 3mg qd d1-14,信迪利单抗 200mg d1,Q3w)。


2023年3月4日复查胸、腹部CT检查,对比(2022年10月15日)CT片后提示:1、膀胱、子宫、直肠缺如,盆底、骶前筋膜增厚粘连;会阴部软组织强化不均匀并强化结节灶,大小约1.6cm*1.2cm。2、双肺多发实性结节,较前增多、增大,考虑转移瘤,大者约2.8cm*1.6cm。3、肝右前叶上段、左外叶下段结节,前者较前增大,后者为新出现,多考虑转移;脾脏结节,较前新出现,性质待定;建议结合MRI(图12)。


图片图片

图片

图12. 胸、腹部CT检查(2023年3月4日)


疗效评价:PD。



MDT讨论:患者为姑息后线治疗,治疗目的:控制病情,维持生活质量。方案:推荐贝伐珠单抗+TAS102治疗。病情稳定情况下可进行肝内病灶分期消融治疗。


患者整个治疗过程中肿瘤标志物癌胚抗原(CEA)、糖类抗原153(CA-153)、糖类抗原199(CA-199)、糖类抗原724(CA-724)变化情况(图13、图14):


图片

图13. CEA变化情况


图片

图14. CA-153、CA-199、CA-724变化情况



病例总结


病例1为一名老年女性,乙状结肠中分化腺癌 pT4aN1cM0 ⅢB期 pMMR(神经侵犯+),术后行辅助化疗后发生盆腔转移。接受一线“FOLFIRI”方案化疗、“西妥昔单抗+FOLFIRI”方案化疗,出现肺脏转移后二线接受“呋喹替尼”靶向治疗,再次进展后接受“呋喹替尼+信迪利单抗”靶向治疗联合局部治疗。该患者在出现肺脏转移后接受呋喹替尼靶向治疗单药及“呋喹替尼+信迪利单抗”靶向治疗联合局部治疗后无进展生存期(PFS)共达25个月,为患者带来了一定的生存获益(图15)。患者在疾病再次进展后,正在接受贝伐珠单抗+TAS102治疗。


图片

图15. 患者病程示意图



病例2


病例提供者

图片

王兵 教授

武汉市第一医院肿瘤中心


  • 主治医师、医学博士

  • 中国抗癌协会中西整合胆道肿瘤专业委员会委员/秘书

  • 中国抗癌协会中西整合肝癌专业委员会委员

  • 中国中西医结合学会肿瘤专业委员会青年委员

  • 湖北省临床肿瘤学会中西医结合肿瘤专家委员会委员/秘书

  • 湖北省临床肿瘤学会健康教育专家委员会委员

  • 湖北省中医药学会肿瘤专业委员会委员/秘书

  • 武汉中西医结合学会肿瘤专业委员会委员/秘书

  • 发表核心期刊论文30余篇,参编著作3部,主持及参与课题4项


病例提供者指导老师

图片

胡作为 教授

武汉市第一医院肿瘤中心


  • 主任医师、博士生导师、肿瘤科主任

  • 世界中医药联合会肿瘤经方治疗专委会副会长

  • 中国抗癌协会中西整合胆道肿瘤专业委员会副主任委员

  • 中国中医药促进会肿瘤专业委员会副主任委员

  • 中华中医药学会肿瘤分会常务委员

  • 中国临床肿瘤学会中西医结合专家委员会常务委员

  • 中国医药教育协会肿瘤转移专委会常务委员

  • 中国康复医学会肿瘤康复专业委员会常务委员

  • 中国抗癌协会肿瘤传统医学专业委员会常务委员

  • 中国中西医结合学会肿瘤专业委员会常务委员

  • 湖北省中医药学会肿瘤专业委员会主任委员

  • 湖北省临床肿瘤中西医结合专家委员会主任委员

  • 湖北省抗癌协会中西医结合专业委员会副主任委员

  • 湖北省医学会肿瘤分会常务委员

  • 武汉中西医结合学会肿瘤专业委员会主任委员

  • 武汉市中医药学会肿瘤专业委员会副主任委员

  • 武汉中青年中医名医

  • 《医药导报》常务编委、《中医肿瘤学杂志》编委


01
基本情况


一般资料:女性患者,70岁。


现病史:患者主因腹胀伴下腹部包块进行性增大4月余,于2020年5月24日就诊。患者入院前(2020年4月)行相关影像学检查:


  • 腹部B超检查:子宫前上方见巨大囊性包块;

  • 上腹部MRI、下腹部及盆腔CT检查:腹腔-盆腔巨大囊性实性占位,来源待定,考虑肿瘤性病变,囊腺癌?结肠肝区管壁增厚,考虑肿瘤性病变可能(结肠癌)。


入院后行电子肠镜活检提示:横结肠近肝区处可见一环腔生长的菜花样新生物,堵塞管腔;宫颈管组织及宫颈活检提示:慢性宫颈炎伴局灶鳞状上皮增生,鳞状上皮内可见空泡变性细胞形成。


外院病理会诊,提示:(横结肠活组织)腺癌;(宫颈活检组织)慢性宫颈炎。


02
治疗经过


  • 手术治疗(2020年5月29日)


术前检查:


  • 腹部彩超提示:子宫前上方见巨大囊性包块,上达剑突下,下至耻骨联合上方,双侧达腋前线,内见众多分离光带及低回声,分隔光带及周边均可见血流信号影显示(图16);

  • 盆腔CT平扫提示:腹腔-盆腔巨大不规则囊实性低密度影,内见多发分隔,增强扫描病灶实性部分及分隔强化,囊性部分无明显强化(图17)。


图片

图16. 腹部彩超检查


图片

图17. 腹部CT检查


患者于2020年5月29日患者在外院行“全子宫+双附件切除+右半结肠癌根治+盆腔粘连松解术”。


术后病理:(右半)结肠中分化腺癌,癌组织穿透肠壁固有肌层侵及浆膜下层(pT3)伴癌结节1枚,癌周未见明确脉管内癌栓及神经侵犯;免疫组化:MSH6(+),MSH2(+),MLH1(+),PMS2(+)。(提示DNA的错配修复缺陷的几率很低、MSI-H及Lynch综合征的发生率很低)。(右侧)符合卵巢转移性肠型腺癌。(左侧)结合临床及免疫表型,符合卵巢转移性肠型腺癌。


基因检测提示:KRAS、NRAS基因为野生型,BRAF V600基因突变阴性。


术后分期:结肠恶性肿瘤(中分化腺癌 术后 pT3N0M1b ⅣB期 pMMR;KRAS、NRAS野生型;BRAF V600突变阴性)


1.一线治疗:贝伐珠单抗+mFOLFOX4方案(2020年7月至12月),贝伐珠单抗维持治疗(2021年1月至4月)


患者于2020年7月至12月行抗血管生成靶向+化疗,方案为:贝伐珠单抗+mFOLFOX4方案,5周期。


患者于2021年1月至4月行抗血管生成靶向单药维持,方案为:贝伐珠单抗,持续4周期。


患者于2021年10月(术后1年半)行辅助检查:


  • 腹部增强CT检查提示:肝内弱强化灶;肝内小结石或钙化灶;腹膜后淋巴结稍大,部分稍大;子宫未见显示,盆腔局部见结节状中等强化灶;右侧胸腔积液,右横膈区结节影,转移可能性大(图18)。

  • 肿瘤标志物CA125:122.5U/ml ↑。


图片

图18. 腹部增强CT检查(2021年10月)


目前诊断:结肠恶性肿瘤(中分化腺癌 术后 pT3N0M1b ⅣB期 pMMR,KRAS、NRAS野生型;BRAF V600突变阴性) 治疗后肝脏、盆腔、横膈膜转移。


2.二线治疗:呋喹替尼靶向治疗(2021年11月至12月),呋喹替尼+卡培他滨方案(2022年1月至11月),呋喹替尼靶向治疗(2023年1月至3月)


MDT讨论建议:1.全身治疗:行二线化疗联合靶向或免疫治疗;2.局部治疗:肝脏转移灶介入治疗或放射治疗。


患者及家属拒绝继续行静脉化疗、静脉靶向及免疫治疗,要求以口服治疗为主,遂予患者行以下治疗:2021年11月至12月口服呋喹替尼靶向治疗方案(4mg po qd D1-21 Q4w),2周期。


患者于2022年1月18日行辅助检查:


  • 腹部增强CT检查提示:肝内结节灶未见改变;腹膜后淋巴结增多、增大;子宫未见显示,局部结节大致同前;盆腔少量积液较前增多。

  • 肿瘤标志物CEA、CA125较前升高。


详细询问病情后发现,患者疾病缓慢进展可能与患者未规律服用呋喹替尼有关,建议患者继续严格按照时间及方法服用呋喹替尼,同时联合卡培他滨口服化疗。


患者于2022年1月起改行口服靶向治疗(呋喹替尼4mg po qd D1-21 Q4w)联合口服化疗(卡培他滨片 1g po D1-14 Q3w)。


患者于2022年4月、7月、11月复查影像学及肿瘤标志物稳定,疗效评估:SD。


患者耐受性良好。


患者肿瘤进展后CA-125升高,呋喹替尼+卡培他滨治疗期间稳定在正常范围内(图19)。


图片

图19. CA-125变化情况


2022年12月患者因颈部及腰部疼痛至骨科住院,复查提示颈椎压缩性骨折,因患者感染新型冠状病毒,未行手术治疗。


2023年1月至3月改行呋喹替尼单药治疗(4mg po qd D1-21 Q4w),2周期。



病例总结



病例2为一名老年女性,因发现腹腔-盆腔巨大囊性实性占位性病变4月余入院,术后诊断为:结肠恶性肿瘤(中分化腺癌术后,pT3N0M1b ⅣB期,pMMR,KRAS、NRAS野生型;BRAF V600突变阴性)。患者一线接受贝伐珠单抗+mFOLFOX4方案及贝伐珠单抗单药维持治疗,后出现肝脏、盆腔、横膈膜转移。患者二线接受呋喹替尼靶向治疗及呋喹替尼联合卡培他滨方案治疗,疗效持续SD,截至病例征集时间,PFS达16个月(图20)。


图片

图20. 患者病程示意图



总结



随着靶向药物的进展和应用,mCRC患者的生存期得到了显著改善[2]。在患者越来越追求长生存的当下,化疗的疗效已进入平台期,并未充分满足生存需求,而分子靶向药物将有望为结直肠癌患者带来更好的生存获益。以上两个病例均在结直肠癌术后发生复发转移,进入晚期治疗阶段后,在MDT指导下予以个体化诊疗方案为患者带来了一定的生存获益。


病例1患者术后经历放化疗、化疗联合靶向治疗,疗效欠佳,病情仍出现进展。三线应用呋喹替尼以及呋喹替尼+信迪利单抗治疗使患者获得达25个月PFS。病例2患者术后复发,一线靶向联合化疗方案PD后,二线应用呋喹替尼联合卡培他滨方案及后续单用呋喹替尼治疗使患者获得14个月PFS。这两个病例展示了在mCRC的二线和三线治疗中,呋喹替尼单药或联合治疗的个体化治疗方案为上述患者带来了一定的生存获益,也为临床病例用药带来了一定的提示与参考。


呋喹替尼是一种小分子酪氨酸激酶抑制剂(TKI),可通过高选择性地作用于血管内皮生长因子受体(VEGFR)-1/2/3,抑制血管生成,从而达到抑制肿瘤生长的目的,高选择性靶点也意味着临床上较好的耐受性。2018年FRESCO研究[3]见刊于《JAMA》,显示呋喹替尼用于二线治疗进展后的mCRC显著延长了患者中位总生存期(9.3个月 vs 6.6个月)和中位PFS(3.7个月 vs 1.8个月),且安全性良好。基于该研究数据,呋喹替尼作为Ⅰ级推荐(ⅠA类证据)写入《CSCO结直肠癌诊疗指南(2019)》三线治疗方案[4]


微卫星稳定(MSS)/pMMR型结直肠癌这类“冷”肿瘤一直是研究探索的难点和热点,一项李进教授团队开展的呋喹替尼联合信迪利单抗(“幸福组合”)Ⅰb/Ⅱ期研究[5]显示,“幸福组合”治疗MSS/pMMR mCRC患者的客观缓解率(ORR)达到20.0%,疾病控制率(DCR)达到100%,PFS达到6.9个月,中位OS达到20.0个月,提示呋喹替尼联合免疫治疗MSS型mCRC这类“冷”肿瘤具有一定的治疗前景。在病例1中,该患者三线应用“幸福组合”治疗方案为该例MSS/pMMR型mCRC患者带来了9个月PFS,也是“幸福组合”在真实世界中为mCRC患者带来获益的有效例证。


除了靶免联合治疗探索外,ASCO GI 2023会议上公布的一项呋喹替尼联合化疗的研究新进展。该研究是一项单臂、开放性、多中心、Ⅱ期临床研究,将呋喹替尼联合化疗(FOLFOX/FOLFIRI)用于晚期结直肠癌一线治疗探索,研究结果显示呋喹替尼组患者ORR为77.0%,DCR达100%,结果表明呋喹替尼联合化疗一线治疗mCRC显示出一定的疗效和可控的安全性[6]。在上述病例2中,呋喹替尼联合卡培他滨为其带来了14个月的生存获益,也是真实世界呋喹替尼联合治疗方案的探索实践。期待未来呋喹替尼联合治疗进一步的探索,为结直肠癌治疗提供新思路。


参考文献

[1].中国医师协会结直肠肿瘤专业委员会腹膜肿瘤专委会, 王锡山, 熊斌,等. 结直肠癌腹膜转移诊治中国专家共识(2022版)[J]. 中华结直肠疾病电子杂志, 2022, 11(4):265-271.

[2].中国医师协会结直肠肿瘤专业委员会, 中国抗癌协会大肠癌专业委员会, 国家癌症中心国家肿瘤质控中心结直肠癌质控专家委员会,等. 结直肠癌靶向治疗中国专家共识[J]. 中华结直肠疾病电子杂志, 2022, 11(5):353 -360.

[3].Li J, Qin S, Xu RH, et al. Effect of Fruquintinib vs Placebo on Overall Survival in Patients With Previously Treated Metastatic Colorectal Cancer: The FRESCO Randomized Clinical Trial. JAMA. 2018 Jun 26;319(24):2486-2496.

[4].《CSCO结直肠癌诊疗指南(2019)》.

[5].Guo Y, Zhang W, Ying J, et al. Phase 1b/2 trial of fruquintinib plus sintilimab in treating advanced solid tumours: The dose-escalation and metastatic colorectal cancer cohort in the dose-expansion phases. Eur J Cancer. 2023 Mar;181:26-37.

[6].Zhou FX, et al; Efficacy and safety of fruquintinib plus mFOLFOX6/FOLFIRI as first-line therapy in advanced metastatic colorectal cancer (mCRC). 2023 ASCO GI . Poster Session 152.

200 评论

查看更多