查看更多
密码过期或已经不安全,请修改密码
修改密码
壹生身份认证协议书
同意
拒绝
同意
拒绝
同意
不同意并跳过
基本资料
性别:男性,
年龄:64岁
主诉:因“便中带血”于2015年9月天津市人民医院就诊
现病史:
2015.11.9行肠镜检查:距肛缘15cm见BorrmannIII型肿物,占据肠腔3/4,表面溃疡改变,内镜不能通过。
咬检病理示:直肠腺癌
CT:直乙交界肿物,并肠周淋巴结肿大,肝项小囊肿右肾囊肿,双肺多发结节均小于5mm,考虑肺转移
临床分期: T4NxM1
2015.11.16于天津市人民医院行腹腔镜直肠癌前切术
术后病理:直肠中分化腺癌,侵出肌层至肠周围软组织,切端(-),肠周淋巴结1/14 术后未行相关基因检测
病理分期:T3N1M1 IV
KPS:100分 BSA 2.02m2
原发灶切除
多发肺转移灶
2015.12-2016.6在人民医院给予FOLFOX方案化疗12周期
出现I度周围神经毒性
2016.12月 复查CT 双肺下叶多发结节、肝左叶内侧段结节,肝右叶近边缘处结节,考虑转移瘤,评价PD。
辅助检查
治疗经过:
晚期一线治疗:
2017.1 来我科治疗
患者双肺病灶增多,肝多发转移
治疗目标: 控制疾病进展,提高生活质量,延长总生存
治疗策略:全身系统治疗
2017.1.7-2017.4.27给予FOLFIRI治疗9周期
3.6.9周期后疗效缩小SD 后进入维持治疗
影像学检查:
一线治疗过程CT:
2017.2.13:
2017.3.27:
2017.5.8:
2017.8.9:
维持治疗:
2017.5.12给予卡培他滨维持治疗
2018.2.27维持治疗期间复查CT,双肺病灶增大,肝方叶近边缘病变范围较前增大,考虑PD
二线治疗:
2018.3.13-7.16调整为FOLFIR+安维汀9周期 3.6.9周期复查CT SD
2018.8.23-2018.10.8给予卡培他滨+安维汀 三周方案维持治疗
二线治疗过程CT:
2018.2.7:

2018.4.25:
2018.6.15:
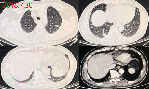
2018.7.30:
三线治疗:
2018.11复查疗效评价PD
2019.3我院参加HA121-28 I期临床研究 2月后PD
三线治疗过程CT:
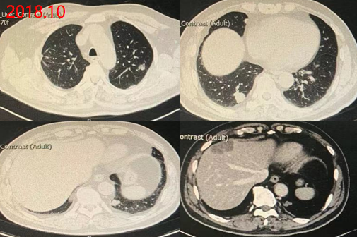
2018.10:
2019.2.14:
2019.3.19:
2018CSCO指南:姑息治疗组3线治疗方案:

瑞戈非尼:多通道同阻断结直肠癌信号通路

瑞戈非尼治疗mCRC的两项关键性III期研究 CORRECT & CONCUR(具有相似的研究设计)

基线特征:CONCUR研究人群为亚洲人,接受更早线治疗的患者比例高于CORRECT研究

早线治疗患者比例的增加对研究结果会产生影响吗?
其他特征:CORRECT & CONCUR 研究

CONCUR研究中40%患者既往未接受过靶向药物治疗,对研究结果有影响吗?
两项研究均达到主要终点,证明瑞戈非尼较安慰剂延长OS


CORRECT & CONCUR研究:PFS(次要终点)


CONCUR研究中未用过靶向治疗药物的患者,在化疗失败后应用瑞戈非尼治疗可使中位OS达到9.7个月

CONCUR研究获益大于CORRECT研究的原因分析:
1.可能与接受更早线治疗患者更多
2.既往未接受任何靶向治疗患者比例更高
3.以及瑞戈非尼®治疗时间更长有关
手足皮肤反应:
手足皮肤反应是瑞戈非尼治疗的一种常见不良反应。
主要表现为受压迫区皮肤改变(如红斑、水肿),典型的指间关节弯折处过角质化及红斑,但不伴有疼痛;如不及时治疗,则可能发展为疼痛性剥皮、水泡、出血或角化过度。
常见于治疗早期(2-4 周)。
不会危及生命,但会显著影响患者的日常生活,其发生风险随时间的延长而降低。

前2周期发生HFSR(所有级别)患者OS的Kaplan-Meier分析曲线

瑞戈非尼治疗患者中,任何时间发生HFSR(所有级别)患者OS的Kaplan-Meier分析曲线

瑞戈非尼治疗发生3级HFSR患者的中位OS为7.8个月(95%CI 6.7, 11.8)、2级HFSR的为11.5个月(95%CI 8.7,未估算)

后线治疗:
2019.5.1开始口服瑞戈非尼 120mg qd,2周期后调整为160mg至今
2周期后复查CT,疗效评价缩小SD(肺空洞化)
1周期后出现口唇周围皮肤干裂,对症治疗后好转,偶发鼻出血
2周期后出手足皮肤反应I级,口腔黏膜炎I级
食欲不振I级,乏力
总体耐受性好
后线治疗过程CT:
2019.5
2019.7.8:
2019.9.6:
2019.11:

治疗小结:
查看更多