查看更多
密码过期或已经不安全,请修改密码
修改密码
壹生身份认证协议书
同意
拒绝
同意
拒绝
同意
不同意并跳过
基本资料
性别:男
年龄:55岁
初次入院时间:2018年6月
主诉:间断性右上腹部疼痛3月余,发现肝占位5天一般状况良好,PS:0分,外院上腹部CT提示肝右叶巨块型肝细胞癌
既往史:既往乙肝病史不详。
个人史:无吸烟饮酒史。
辅助检查
查体:心肺(-),右腹部触及巨大质软包块,无压痛、反跳痛,肝脾肋下未及。
影像学检查:
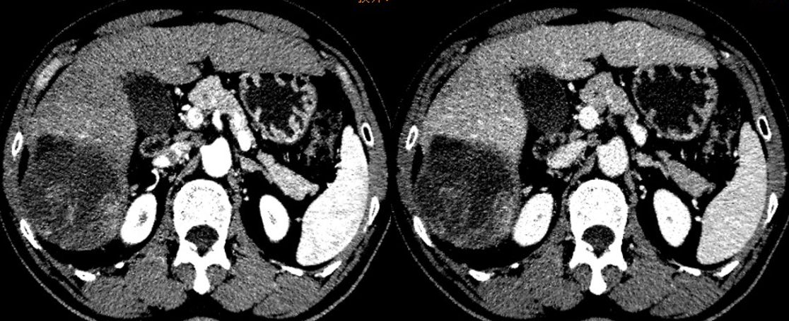
上腹CT:
2018年7月2日
肝右叶巨块型肝细胞癌
肿瘤最大径18cm
门静脉受压,未见癌栓形成
查血:AFP:484.5ug/L







入院诊断:原发性肝癌
治疗方案:
首选外科切除
↓
残肝体积不够 ; ICG 15min 20%
↓
TACE+靶向
↓
转化切除
治疗过程及疗效评价:
2018年7月6日行第一次TACE治疗:右叶巨块型肿瘤染色,超选肝右动脉肿瘤供血血管,栓塞后肿瘤血管染色消失,术后第一天患者开始口服靶向药物(索拉非尼)治疗。


2018年9月6日行第二次TACE治疗:右肾上腺动脉发出肿瘤供血动脉,超选栓塞后肿瘤血管染色消失。




2018年12月11日复查CT:肝右叶肿瘤较前缩小,肿瘤坏死面积较前稍增加。
AFP 26.55 ug/L,整体疗效评价:PR。






转化5个月后再评估:残肝体积足够,ICG 15min 3.8%,可行肝右叶外科切除。
转化时间:5个月。
手术标本组织病理学诊断:肿瘤组织几乎全部坏死,3个卫星结节镜下符合肝细胞癌,部分组织坏死,未见明确脉管内癌栓。
病理诊断:

2019年8月27日复查MRI:残肝未见肿瘤复发征象。
AFP 1.58 ug/L,整体疗效评价:CR。





治疗过程小结:

病例小结:
A.初治不可切除患者经过TACE联合靶向治疗后均转化成功
B.所有患者均进行2个TACE治疗周期,肿瘤坏死率均高达90%以上
C.所有患者转化治疗期间未出现肝内或肝外转移情况
思考:
A.靶向治疗在转化中所起的作用
B.切除后是否继续使用靶向药物
靶向治疗的作用:
TACE治疗BCLC-B HCC, 58.7%患者降至BCLC-0或A
一项荟萃分析显示:TACE+靶向ORR、DCR均优于单独TACE治疗
荟萃分析4项回顾性研究的ORR (OR=3.59,95% CI =1.74-7.39; I2 = 21%, P=0.0005)

荟萃分析4项回顾性研究的DCR(OR=4.72,95% CI=1.75-12.72;I2=56%,P=0002)

研究分为综述分析(8个研究, 包括1091例患者)和荟萃分析(4个研究, 包括973例患者)两个部分; 接受TACE+靶向治疗和TACE治疗, 主要评估结果包括OS, TTP, 客观缓解率和AEs
TACTICS研究:TACE联合索拉非尼显著延长PFS

PFS采用新的疾病进展定义:符合不可治疗的进展/TACE治疗失败的标准(新的病灶不应该视为肿瘤进展”,因为它不代表治疗失败,也不建议换用后线治疗)
TACE联合索拉非尼,可明显延长PFS(P=0.005)
TACTICS研究: TACE联合索拉非尼有延长OS的趋势
OS 差异无统计学意义(随访尚未终止)
ORR/DCR更高, 初期疗效好, 有助于改善患者依从性,更多潜在继续治疗机会
切除后是否继续靶向治疗

索拉非尼
STORM研究:阴性结果
2019 ESMO Asia 多项中国研究荟萃分析证实:术后使用索拉非尼显著降低复发,延长生存。


总结:
A.TACE联合靶向治疗在不可切除肝癌中具有较高的转化率
B.靶向药物可提高患者的PFS和OS,增加患者依从性,在转化治疗中不可或缺
C.目前尚未有依据表明转化成功后仍需继续服用靶向药物
D.切除后使用靶向药物显著降低复发,延长生存
查看更多