查看更多
密码过期或已经不安全,请修改密码
修改密码
壹生身份认证协议书
同意
拒绝
同意
拒绝
同意
不同意并跳过
作者:郑州市中心医院 李琳 刘喜灿 卜淑芳

译者前言:儿童和青少年急性缺血性卒中是不容忽视的问题,中国的文献报道鲜有提及具体治疗方法,IVT和(或)EVT在国内能否常规开展?
背景:儿科人群中的急性缺血性卒中(AIS)是一种罕见事件,估计发病率为每年1.6/100000。虽然大多数患有卒中的儿童不会死于急性疾病,但脑损伤的后果会在他们的一生中持续存在。
治疗患有卒中的儿童和年轻人面临的挑战包括认知延迟、及时调查和成像的逻辑挑战、广泛的鉴别诊断、多种卒中病因以及缺乏超急性治疗的试验证据。葡萄牙皇家儿科和儿童健康学院最近的指南首次提出了儿童卒中溶栓和机械血栓切除术的建议。
有越来越多的病例报告表明,儿童AIS的治疗采用溶栓和/或机械血栓切除术。我们报告一例4岁男孩因左大脑中动脉(MCA)闭塞而患AIS,经溶栓和机械取栓成功治疗。
病例汇报:一名4岁男童在突然出现右腿震颤和右偏瘫30分钟后被送入急诊室。没有大便或尿失禁或咬舌的证据。前几天没有发烧或其他症状的报告。在检查中记录了表现性失语症、右半偏瘫和伴有面部受累的半感觉减退,儿科国立卫生研究院卒中量表(PedNIHSS)得分为14。相关既往病史包括因左心发育不全综合征、先天性心脏病(congenital heart disease ,CHD)和轻度发育迟缓而进行的多次手术(最近一次是1年前)。药物包括赖氨酸乙酰水杨酸100 mg/d、普萘洛尔5 mg和卡托普利10 mg,3次/天。
脑电图检查结果正常。脑计算机断层扫描(CT)显示没有急性缺血的证据(图1)。CTA显示左大脑中动脉M1段有血栓(图2)。该患者符合静脉注射重组组织型纤溶酶原激活剂(rtPA)治疗的所有标准纳入标准,包括血压参数、实验室研究和头部影像无颅内出血。在症状出现后3.5小时,静脉注射rtPA,剂量为0.9 mg/kg,总剂量的10%团注,其余90%在1小时内注射。rtPA灌注治疗完成且无并发症。在rtPA后1小时内,观察到他的右侧偏瘫和失语症有所改善,PedNIHSS评分为7分。

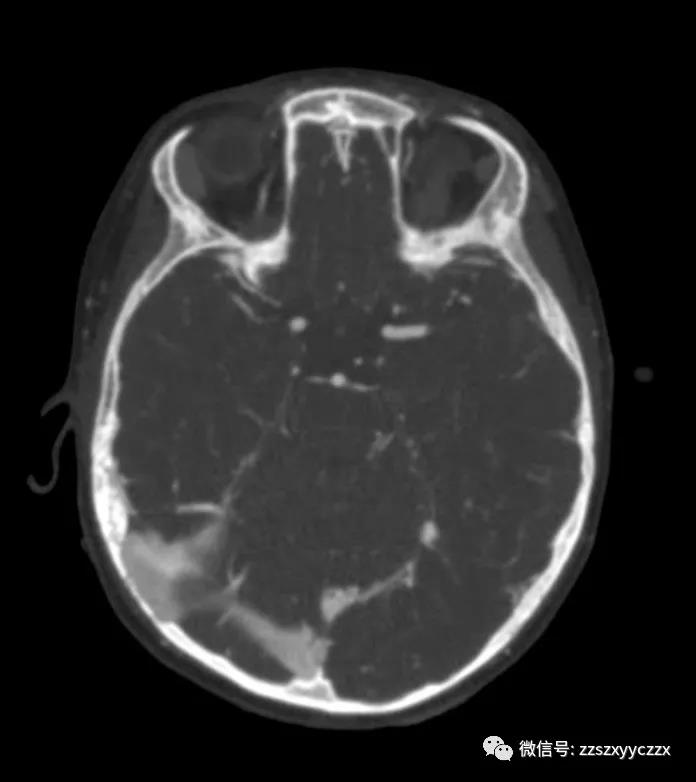
图1 非增强CT未显示实质性低密度灶

图2 CTA显示左侧MCA-M1段血栓
病人被转到一家三级医院。在症状出现后约9小时进行数字减影血管造影,显示左侧M1完全闭塞。患者成功地利用retriever 支架(TREVO 4 mm×20 mm)和机械抽吸进行了血栓切除术。对比血管造影显示左侧M1(TICI 2b)完全再通。超声心动图未显示心内血栓。心电图监测正常。后续的磁共振成像显示一个已确定的缺血性病变,累及左后豆状核内囊区。血液组套检查延长对于易栓症或自身免疫性疾病诊断不明确。出院时,即血管事件发生后8天,患者完全从失语症中恢复,有轻度右侧偏瘫,但已经能够独立行走,PedNIHSS评分为2。开始使用华法林进行长期抗凝治疗。
关于儿童卒中溶栓和取栓的有限文献由小病例系列组成,因此现有建议基于专家共识和成人患者的证据。我们描述了一名患有左大脑中动脉闭塞症的4岁男孩的儿科AIS治疗,该男孩在接受溶栓治疗后进行了机械血栓切除术。我们没有报告任何可归因于诊断或治疗方法的并发症。
首次神经影像学检查是在症状出现后1小时,溶栓治疗是在3.5小时,血栓切除术是在症状出现后9小时。第一次神经成像(非对比脑CT)不能诊断AIS。只有CT血管造影证实了我们的怀疑。即使在rtPA后症状有了初步改善,我们还是决定进行血栓切除术,取得了良好的效果。本病例的临床表现特征(偏瘫和言语障碍)与成人卒中患者相似,这些患者的临床表现被认为是神经系统急症,需要进行紧急神经影像学检查。局部神经症状可能与癫痫发作和随后的Todd’s 轻瘫有关的假说是造成诊断和治疗延迟的部分原因。
据估计,约19–44%的AIS儿童出现癫痫发作。对于出现新发癫痫并伴有局灶性神经功能缺损的儿童,进行神经影像学检查必须有一个较低的阈值。将患者从第一家医院转移到神经血管中心所需的时间也导致血管内治疗延迟。儿童卒中的原因与以动脉粥样硬化为主的成人明显不同。
心脏病是最常见的病因之一,先天性病因占主导地位。需要心脏手术的复杂先天性心脏病儿童卒中风险最高,且在术后结束即刻,该风险仍然升高。我们的病例增加了越来越多的证据,证明需要对复杂先心病儿童进行优化长期卒中预防的研究。目前,管理决策必须个体化,并在经验丰富的团队内做出,包括儿科神经学家和介入神经放射学家。关于接受静脉溶栓和血管内治疗的儿科病例的数据必须共享,以记录并发症和结果。
来源:郑州市中心医院卒中中心
查看更多