壹生大学

壹生身份认证协议书

本项目是由壹生提供的专业性学术分享,仅面向医疗卫生专业人士。我们将收集您是否是医疗卫生专业人士的信息,仅用于资格认证,不会用于其他用途。壹生作为平台及平台数据的运营者和负责方,负责平台和本专区及用户相关信息搜集和使用的合规和保护。
本协议书仅为了向您说明个人相关信息处理目的,向您单独征求的同意,您已签署的壹生平台《壹生用户服务协议》和《壹生隐私政策》,详见链接:
壹生用户服务协议:
https://apps.medtrib.cn/html/serviceAgreement.html
壹生隐私政策:
https://apps.medtrib.cn/html/p.html
如果您是医疗卫生专业人士,且点击了“同意”,表明您作为壹生的注册用户已授权壹生平台收集您是否是医疗卫生专业人士的信息,可以使用本项服务。
如果您不是医疗卫生专业人士或不同意本说明,请勿点击“同意”,因为本项服务仅面向医疗卫生人士,以及专业性、合规性要求等因素,您将无法使用本项服务。

同意

拒绝

同意

拒绝

知情同意书

同意

不同意并跳过

工作人员正在审核中,
请您耐心等待
审核未通过
重新提交
完善信息
{{ item.question }}
确定
收集问题
{{ item.question }}
确定
您已通过HCP身份认证和信息审核
(
5
s)

太“突”出也会卒中?——不容忽视的卒中少见原因

2023-11-18作者:论坛报沐雨资讯
非原创

重磅活动,免费报名,点击进入:

36afac7dc884805862e3c2adc23b892.jpg

作者及来源:王丽佳, 时代, 刘慧慧, 曹勇军, 刘春风, 石际俊. 茎突综合征相关颈内动脉夹层致缺血性卒中1例报道[J]. 中国卒中杂志, 2023, 18(9): 1049-1053.



尽管颈内动脉夹层相关缺血性卒中的报道较多,但引起动脉夹层的原因通常认为是运动或机械性损伤所致,比如按摩、长期频繁低头和抬头工作史。结合临床案例发现,毗邻颈内动脉的茎突如出现过长等结构性异常将会成为损伤与夹层的关键中介,如不引起重视易导致夹层复发或复发性卒中,尤其是合并颈内动脉夹层的青年卒中患者更应该关注茎突过长的问题。



苏州大学附属第二医院王丽佳等报道了一例茎突综合征病例,可为临床诊疗提供借鉴。





卒中高危人群,“卒”不及防

患者为51岁男性,工人,入院3天前买菜时突发右侧肢体无力,摔倒在地,伴有口齿不清。急诊进行头颅CT检查,提示多发腔隙性脑梗死,收入神经内科进一步治疗。追述病史,5年前因左侧肢体无力诊断为脑梗死,很庆幸未遗留明显后遗症,后自行停用二级预防药物。有糖尿病病史8年,口服降糖药物控制血糖,血糖控制良好。再次不同部位卒中,病因何为?





针对性常规检查,竟然出现双侧血管狭窄或闭塞

患者入院后完善血常规、生化、凝血功能、肿瘤标志物及免疫相关检查等均未见明显异常。



颈部超声检查提示右侧颈内动脉近段中度狭窄,左侧颈内动脉近段斑块形成。



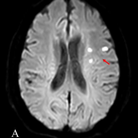
头颅MRI检查提示左侧额叶、放射冠及基底节区高信号(图A、B箭头所示);头颈CE-MRA显示右侧颈内动脉显影浅淡、断续显示、管径纤细,左侧颈内动脉闭塞,左侧椎动脉管径较对侧细,为非优势侧(图C箭头所示)。结合患者既往有脑梗死病史、2型糖尿病病史,本次脑梗死病因分型考虑为大动脉粥样硬化型,予以抗栓、他汀类药物治疗。问题来了,闭塞血管能否成功开通,代偿如何?



图片
图片
图片

患者头颅MRI影像





全脑DSA发现血管闭塞原因竟然是动脉夹层

进一步行全脑DSA检查,提示右侧颈内动脉C1段闭塞,可见线样血流(图A箭头所示);左侧颈内动脉C1段闭塞,闭塞残端呈“火焰征”(图B、C箭头所示);支架置入后DSA可见左侧颈内动脉狭窄明显缓解,近端显影良好(图D箭头所示)。说好的动脉硬化性狭窄怎么就夹层了呢?

图片
图片
图片
图片

患者DSA影像





三维CTA重建让真凶无处遁形:夹层之外仍有因

术后CTA复查可见支架置入后左侧颈内动脉形态良好,管腔通畅,右侧颈内动脉纤细(图A箭头所示);向影像科时代主任求助后,三维重建可见双侧茎突过长(左侧3.5 cm,右侧3.1 cm),毗邻颈内动脉(图B、C箭头所示)。本例患者尽管有糖尿病病史,但是由于工作原因长期频繁低头、抬头,过长的茎突刺激邻近的颈内动脉,长期的机械刺激使颈内动脉血管壁受损,最终导致夹层形成和再发脑梗死,是本次脑梗死的根本原因。既往脑梗死病史与右侧颈内动脉闭塞有关,亦考虑夹层。最终诊断为双侧茎突过长、茎突综合征。

图片
图片
图片

患者头颈CTA影像















划重点:

图片


1

茎突综合征是个啥?

茎突综合征是指由于茎突形态、长度(超过3 cm)、方位异常(正常成人的茎突与颅底平面之间垂直线的正常倾斜角一般向前、向内各偏斜25°左右,若角度>40°或<20°视为异常)和(或)茎突舌骨韧带骨化而引起的一系列临床症状,也称为茎突过长综合征。

2

警惕茎突综合征,不做卒中青年

茎突过长或方位异常会影响其周围组织结构而引起各种症状,根据茎突对神经或血管的压迫分为两种类型:经典型和茎突相关颈动脉或血管综合征。经典型表现为颈部疼痛、喉咙异物感和吞咽困难三联征,吞咽和打哈欠时加重;血管型表现为动脉局部闭塞伴侧支循环再通,(颈内动脉受压)顶叶或眶上部疼痛、头晕、晕厥、脑梗死,(颈外动脉受压)同侧面部、颈部疼痛,(颈内静脉受压)头痛、静脉高压,头部向对侧旋转而加重。临床表现取决于茎突的长度、角度和宽度。血管受压可引起机械性损伤,导致颈动脉受损或夹层,进而导致短暂性脑缺血发作或缺血性卒中,文献复习可见很多患者都有长期头颈部过度活动或急性机械性损伤的病史。

3

卒中青年要小心!摇头晃脑会惹祸

我们曾报道了1例吸毒的青年卒中患者,服用摇头丸后产生兴奋和长时间的摇头,过长的茎突因机械性损伤而导致双侧颈内动脉夹层。

4

针对性检查明确诊断,对因治疗是关键

茎突综合征的诊断需要通过详细的相关病史、症状体征并结合影像学检查来明确。茎突综合征的治疗主要是保守治疗和手术干预。保守治疗主要用于经典型,包括非甾体抗炎药或应用类固醇激素进行局部注射,合并颈动脉夹层相关的缺血性卒中时需要遵循指南予以规范抗栓药物治疗并动态评估夹层修复情况。本例患者采用保守治疗,规律抗血小板聚集和他汀类药物调脂治疗,随访至今无卒中再发。因此,茎突综合征相关的缺血性卒中应该引起足够的重视,以降低卒中再发风险。

转自:中国卒中杂志微信公众号

精品专题推荐

d97468435fc827d54b326cb6e0f2b24.jpg

国家神经系统疾病质控中心脑血管病专业组专家撰稿,21篇脑梗死临床诊疗干货文章,精准提升脑血管临床诊疗能力!

→点击进入

方.jpg

2023重磅·所有内容12月底下线】北京协和医院朱以诚教授团队撰写临床实用干货,神经科医生必看!

→点击进入

微信截图_20230906151452.png

华中科技大学同济医学院附属同济医院NICU王芙蓉教授团队撰写实用文章,解析一线临床神经重症处理难点、要点和常见问题!

→点击进入

24134018b379adae33ad946d162765b.png

华中科技大学同济医学院附属同济医院杨渊教授团队撰写17篇神经心理疾病临床干货文章,神经内科医生需要了解!

→点击进入

微信截图_20230713105729.png

国家神经系统疾病质控中心帕金森病专家组倾力打造,2023年度帕金森病规范诊治能力提升培训!

→点击进入

微信截图_20220429110229.png

脑血管病影像读图实战训练,跟随天坛医院放射科沈宓老师,练就影像读图火眼金睛!

→点击进入

微信截图_20230906151452.png

华中科技大学同济医学院附属同济医院NICU王芙蓉教授团队撰写实用文章,解析一线临床神经重症处理难点、要点和常见问题!

→点击进入


畅销20多年的医学影像品牌图书,汇集七大类480多种经典病例影像资料,轻松读片、准确诊断!

→点击进入

国际经典影像诊断学,从基础解剖到影像解剖和诊断,配图精美,解说翔实,囊括大量累及儿童大脑、颅颈和脊髓的疾病!

→点击进入

神经外科领域国际经典著作,畅销北美20余年,由赵继宗院士携首都医科大学附属北京天坛医院神经外科学系团队翻译,来自作者多年临床经验积累总结!

→点击进入



相关推荐


急性缺血性卒中早期症状加重的识别和处理丨协和神经科基本功第二季


急性缺血性卒中出血转化的评估和治疗原则丨协和神经科基本功第二季


帕金森病的规范性诊断与系统性评估丨帕金森病高质量诊疗2


帕金森病分型和精准治疗丨帕金森病高质量诊疗3


神经内科必会50个知识点!


各种脑干梗死综合征临床解剖及影像


中国缺血性卒中和短暂性脑缺血发作二级预防指南 2022


神经系统经典知识点最全总结|图解


从病例中学习脑出血的定位诊断


肌电图常用参数和临床意义丨协和神经科基本功第二季


神经科常用心理评估量表简介丨17天神经心理疾病诊治突破⑰


【同济神经重症临床干货③】神经重症患者,影像检查注意事项


《CT读片指南》颅脑疾病荐读④:脑干出血、脑出血









200 评论

查看更多