查看更多
密码过期或已经不安全,请修改密码
修改密码
壹生身份认证协议书
同意
拒绝
同意
拒绝
同意
不同意并跳过
基本资料
性别:女
年龄:63岁
主诉:因肝癌切除2年后于2018年10月18日入院
现病史:
患者于2017年11月21日在外院行左肝恶性肿瘤切除术,术后病理提示肝细胞性肝癌。术后患者定期复查。2018年10月16日腹部CT提示:肝左叶恶性肿瘤切除术后改变,切缘稍低密度伴不均匀强化,与前片比较考虑肝癌复发。患者为求进一步诊治于2018年10月18日就诊于我科。
既往史:
既往慢性乙肝肝炎病史30余年,未进行规律抗病毒治疗。
辅助检查
实验室检查:
血生化:
甲胎蛋白: (591) ng/ml
丙肝抗体(阴性)
癌胚抗原(331)ng/ml
CA19-9(219.6) ng/ml
CA125(16.95) ng/ml
CA15-3(9.8) ng/ml
影像学检查:
腹部MRI:
检查时间:2018年10月19日
影像图谱:T1




腹部MRI:
检查时间:2018年10月19日
影像图谱:T2




结果说明:
2018年10月18日基线扫描,腹部MRI提示:左肝切缘见一长径约5cm的类椭圆形复发灶,与胃壁及十二指肠降段关系密切,后腹膜见肿大淋巴结。胸部CT未见明显转移征象。
腹部MRI:
检查时间:2018年10月19日
影像图谱:增强动脉期和延迟期








影像学检查:
DSA(一)
检查时间:2018年10月22日
影像图谱:

肝总动脉造影见左肝及部分右肝投影区见大片状异常染色。
DSA(二)
检查时间:2018年10月22日
影像图谱:

胃右动脉部分供血
DSA(三)
检查时间:2018年10月22日
影像图谱:

肝中动脉部分供血
DSA(四)
检查时间:2018年10月22日
影像图谱:

肝右动脉部分供血
DSA(五)
检查时间:2018年10月22日
影像图谱:

供血动脉栓塞后肝固有动脉造影,栓塞满意。但未行肝总动脉造影
结果说明:
2018年10月22日行TRA-TACE术,术中造影显示病灶部分由胃右动脉供血,术中共计用碘油4ml,艾恒100mg,吡柔比星30mg。栓塞完毕后未行肝总动脉造影。
实验室检查2018年12月10日检查结果:
血常规:
白细胞计数:(7.6) ×109 /L
红细胞计数:(4.13) ×109 /L
血红蛋白:(125)g/L
血小板计数:(205) ×109 /L
中性粒细胞绝对值:(6.19) ×109/L
淋巴细胞绝对值:(12.2)×109/L
血生化:
甲胎蛋白:(缺失) ng/ml
白蛋白:(41) g/l
总蛋白:(69) g/l
谷草转氨酶:(29)U/L
谷丙转氨酶:(17)U/L
总胆红素:(9.5)umol/L
直接胆红素:(1.5)umol/L
肌酐: (40)umol/L
凝血酶原时间:(14)秒
乙肝标志物:HBsAg(阴性);抗-HBs (阳性);HBeAg(阴性);抗-HBe(阴性);HBcAb (弱阳性)
HBV-DNA: (小于500) IU/ml
其他检查项目:(D二聚体960)
影像学检查:
腹部MRI(一)
检查时间:2018年12月11日
影像图谱:增强动脉期和延迟期




腹部MRI(二)
检查时间:2018年12月11日
影像图谱:增强动脉期和延迟期




结果说明:
2018年12月11日复查腹部MRI,与基线扫描相比,左肝切缘病灶及腹膜后淋巴结均增大,活性成分增多。本次疗效评价为PD。
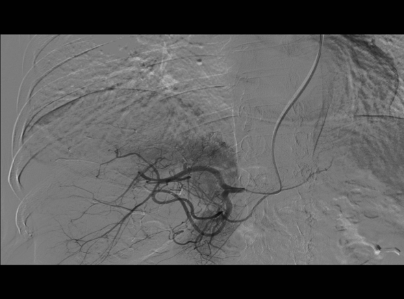
DSA(一)
检查时间:2018年12月13日
影像图谱:

胃右动脉消失,原病灶染色区域仍有片状染色
DSA(二)
检查时间:2018年12月13日
影像图谱:

肝中动脉仍有供血
DSA(三)
检查时间:2018年12月13日
影像图谱:

肝右动脉仍有部分供血
DSA(四)
检查时间:2018年12月13日
影像图谱:

以上供血动脉栓塞后肝总动脉造影,发现术区仍有大片状肿瘤染色
DSA(五)
检查时间:2018年12月13日
影像图谱:

胃十二指肠动脉造影,发现胰十二指肠动脉部分供血
DSA(六)
检查时间:2018年12月13日
影像图谱:

超选后确证
DSA(七)
检查时间:2018年12月13日
影像图谱:

栓塞后造影,术区碘油沉积良好
结果说明:
2018年12月13日行TRA-TACE术,术中胃十二指肠动脉造影显示胰十二指肠动脉部分供血。术中共计用碘油6ml,艾恒100mg,吡柔比星30mg,350-550um明胶海绵颗粒适量。术后12月14日查腹部CT提示:病灶内碘油不均匀沉积,胃窦壁及十二指肠降段肠壁部分碘油沉积。考虑病灶部分胃肠道血管供血,TACE疗效差,且可能出现胃肠道缺血、坏死、穿孔等并发症的风险,予联合靶向药物索拉菲尼 0.4g 2/日 口服 全身治疗,密切随访。
腹部CT:
检查时间:2018年12月13日
影像图谱:


结果说明:
术后12月14日查腹部CT提示:病灶内碘油不均匀沉积,胃窦壁及十二指肠降段肠壁部分碘油沉积。考虑病灶部分胃肠道血管供血,TACE疗效差,且可能出现胃肠道缺血、坏死、穿孔等并发症的风险。腹部MRI:
检查时间:2019年1月14日
影像图谱:


结果说明:
2019年1月7日患者于平湖市第一人民医院行胃镜检查提示:(胃窦)慢性轻度浅表性胃炎。2019-1-24 我院复查腹部MRI提示:左肝切缘病灶及腹膜后淋巴结均缩小,活性成分减少;胃窦部胃壁局部破溃与病灶相通。疗效评价为PR,遂停止TACE治疗,予继续口服索拉菲尼治疗。
腹部MRI:
检查时间:2019年3月12日
影像图谱:


结果说明:
2019-3-12 我院复查腹部MRI提示:左肝切缘病灶未见明显变化,腹膜后淋巴结缩小;复查胸部CT未见明显转移征象。疗效评价为SD,予继续口服索拉菲尼治疗。
腹部MRI:
检查时间:2019年7月2日
影像图谱:


结果说明:
2019年6月初患者因腹痛停用索拉菲尼,直至2019-7-2 我院复查腹部MRI提示:左肝切缘病灶肿瘤活性成分较上次明显增多,腹膜后淋巴结较上次明显增大。疗效评价为PD,予再次口服索拉菲尼治疗
腹部MRI:
检查时间:2019年8月6日
影像图谱:


结果说明:
2019-8-6 我院复查腹部MRI提示:病灶与前相仿。疗效评价为SD,予继续口服索拉菲尼治疗。
入院诊断:
主诉:肝癌切除术后近2年。
现病史:患者于2017年11月21日外院行左肝恶性肿瘤切除术,术后病理提示肝细胞性肝癌。
手术治疗:
2017年11月21,行左肝恶性肿瘤切除术。
治疗方案:
局部治疗:

局部治疗方案包括肝叶切除术、肝移植术、TACE、局部消融治疗、放疗、高聚焦超声、粒子植入、放射性核素免疫治疗等。
局部治疗期间的AFP:
2018年10月19日,AFP:591(ng/ml)
药物治疗:
不良反应:2019年6月初患者因腹痛停用索拉菲尼。
患者目前状况:
2019-7-2 我院复查腹部MRI提示:左肝切缘病灶肿瘤活性成分较上次明显增多,腹膜后淋巴结较上次明显增大。疗效评价为PD,予再次口服索拉菲尼治疗。
2019-8-6 我院复查腹部MRI提示:病灶与前相仿。疗效评价为SD,予继续口服索拉菲尼治疗。
治疗心得:
总结:HBV-DNA: (小于500) IU/ml抗病毒治疗也很关键。
索拉非尼联合TACE治疗HCC是一种安全有效的治疗方法,与单用TACE或索拉非尼单药治疗相比,联合治疗可显着延长生存时间OS。局部加全身治疗早期联合是肿瘤治疗的趋势。
这几年来在肝癌领域中TACE是中晚期肝癌的重要治疗手段,显著效果就是它能够迅速减低肿瘤负荷,但是同时,栓塞大血管导致的肿瘤组织缺氧,会诱导VEGF等促血管生长因子分泌增加,诱导肿瘤新生血管mvi生成,进而会导致残余肿瘤细胞增殖,导致复发转移,甚至肝外转移,影响患者的生存期;这是我们最不愿意看到的。
我们来看看 索拉非尼是一个小分子多激酶抑制剂,通过抑制肿瘤细胞表面和细胞内的多个激酶靶点,抑制肿瘤细胞增殖和肿瘤血管生成;在这里,正是恰到好处的多吉美保证了TACE治疗的更好的效果。所以介入科医师一定要有全身治疗的理念和全局观。
查看更多