查看更多
密码过期或已经不安全,请修改密码
修改密码
壹生身份认证协议书
同意
拒绝
同意
拒绝
同意
不同意并跳过
基本资料
性别:男
年龄:61岁
初诊时间:2015年1月
主诉:升结肠癌术后近1月。
现病史:因“腹胀伴肛门停止排便”,在外院查上腹部CT示“小肠梗阻”,肠镜检查示“升结肠癌”,2014-12-17行“结肠癌根治术”,术后病理示:升结肠溃疡型腺癌,高-中分化,大小3*3.5cm,癌组织侵及浆膜下,两切缘未见癌,周围淋巴结见癌转移(1/8),癌结节4枚。
既往病史:无高血压,糖尿病,冠心病等。
个人史:吸烟 40包年,少量饮酒 。 否认肿瘤家族史。
体格检查:无特殊。
辅助检查
实验室检查:
血红蛋白103g/L,HBsAg (-),胆红素正常范围内;
CEA 1.65 ng/ml(ref 0.00-3.4ng/ml);
影像学检查:
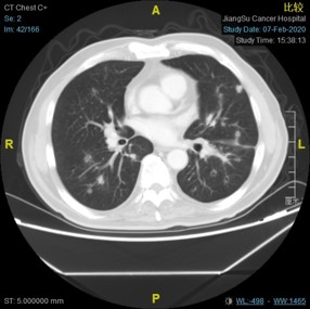
胸部及腹部增强CT检查提示“结肠癌术后,吻合口周围肠系膜结构致密,见斑片索条影,腹壁切口肿胀,未见明显强化结节,以上均拟术后改变为主;左下肺见斑片,暂拟炎性病灶。”


Q1 诊断分期(第8版AJCC)及治疗:
升结肠腺癌术后pT3N1M?
治疗过程:
2015-01-13至2015-05-07行“卡培他滨1.5 bid d1-14 + 奥沙利铂 200mg d1”化疗6周期。 2015-05-07查CEA 2.43ng/ml。
2015-05-08 CT示:左下肺结节,较前稍增大,实性成分较前稍增多,拟转移可能。
未行特殊治疗。

2015-09-23CT:左下肺结节,较前增大,拟转移;结肠术区肠系膜结构致密,见斑片索条影,较前变化不大,仍考虑为术后改变;盆腔积液较前减少。
未行特殊治疗。

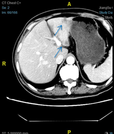
2016-03-03复查CT:左下肺结节增大,考虑转移;肝脏新见结节,不除外转移;上腹术后改变较前相似;右甲状腺病变基本同前。


2016-03-23原肠道手术标本二代基因测序提示:全RAS及BRAF基因野生型。 l2016-03-29、04-19行“伊立替康0.4 d1+雷替曲塞5mg d1”化疗2周期。
2016-05-12复查CT:左下肺结节缩小,考虑转移;肝脏结节,较前增大,拟转移;上腹术后改变较前相似;右甲状腺病变基本同前。
2016-3-3:

2016-5-12:

RECIST1.1: 肝脏病灶8.7毫米增大到12.1毫米,左下肺病灶14.5毫米缩小到8毫米。疗效评价:稳定。
2016-3-3:

2016-5-12:

Q2 下一步如何治疗:
原方案治疗;
BEV联合化疗;
C225联合化疗;
瑞戈非尼;
局部治疗(射频、立体定向治疗等)
治疗过程:
后于2016-05-16行肝脏射频消融治疗。
2016-05-23、06-13继予“伊立替康0.4 d1+雷替曲塞6mg d1”方案化疗2周期。


2016-07在解放军**医院行肺部病灶γ刀治疗。
后随访观察。
2016-9-22:CEA 3.18 ng/ml






2017-1-11:CEA 4.95 ng/ml




2017-4-19:CEA 19.23 ng/ml





2017-7-19 :CEA 77.67 ng/ml






2017-8-14:CEA 91.41 ng/ml
PET/CT结果(2017-08-17)
1、结肠癌术后化疗后,结肠术区见金属吻合器影,周围肠系膜结构稍致密,见斑片索条影,考虑术后改变为主。
2、肝脏内见多发稍低密度影,FDG代谢不同程度增高,结合病史考虑转移可能大。
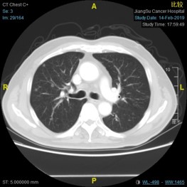
3、左下肺见片状实变影,FDG代谢轻度增高,结合病史,考虑治疗后改变可能,请结合患者既往老片并密切随访。


2017-8-20行FOLFIRI+西妥昔单抗治疗4周期。
2017-10-20:CEA 12.19 ng/ml





2017-12-19:CEA 5.28 ng/ml





Q3 下一步如何治疗:
C225+FOLFIRI
C225+单药化疗
C225
口服化疗
维持治疗(C225+IRI)
2018-3-8:CEA 4.89 ng/ml





2018-8-7:CEA 18.4 ng/ml





2018-12-27:CEA 91.15 ng/ml






2019-01-04、01-24予“贝伐单抗500mgD1+雷替曲塞5mgD1+奥沙利铂200mgD1”治疗2周期。
2019-2-14:CEA 62.33 ng/ml








2019-02-15、3-7、3-28、04-18予“贝伐单抗500mgD1+雷替曲塞5mgD1+伊立替康0.35D1”治疗4周期。








随后采用了贝伐单抗+雷替曲塞的维持治疗。
2019-9-26:CEA 241.3 ng/ml








Q4 下一步如何治疗:
瑞戈菲尼
呋喹替尼
瑞戈菲尼+PD1抑制剂
西妥昔单抗再挑战
其它
2019-09-29、10-20、11-11予以特瑞普利240mg ivgtt+瑞戈菲尼80mg qd治疗3周期。
2019-12-2:CEA 241.3 ng/ml








Q5 下一步如何治疗:
假进展?
呋喹替尼
西妥昔单抗再挑战
其它
CT、DNA基因检测示:
NRAS,KRAS及BRAF野生型,无cMET,HER2,PIK3CA等耐药基因突变或扩增。 l遂采用再挑战策略,西妥昔单抗0.8 d1+伊立替康0.3 d1 q2w治疗4周期。
















病例总结:
充分使用化疗药物及靶向药物,并结合有效的局部治疗。
靶向药物的使用顺序上,对于右半RAS野生,三线使用抗EGFR单抗,并在1年后成功完成再挑战。
在使用抗血管靶向药物时,坚持持续抗血管,大分子和小分子序贯使用,也为后期再挑战奠定了基础。
免疫治疗后,能否增效后期化疗?
查看更多