壹生大学

壹生身份认证协议书

本项目是由壹生提供的专业性学术分享,仅面向医疗卫生专业人士。我们将收集您是否是医疗卫生专业人士的信息,仅用于资格认证,不会用于其他用途。壹生作为平台及平台数据的运营者和负责方,负责平台和本专区及用户相关信息搜集和使用的合规和保护。
本协议书仅为了向您说明个人相关信息处理目的,向您单独征求的同意,您已签署的壹生平台《壹生用户服务协议》和《壹生隐私政策》,详见链接:
壹生用户服务协议:
https://apps.medtrib.cn/html/serviceAgreement.html
壹生隐私政策:
https://apps.medtrib.cn/html/p.html
如果您是医疗卫生专业人士,且点击了“同意”,表明您作为壹生的注册用户已授权壹生平台收集您是否是医疗卫生专业人士的信息,可以使用本项服务。
如果您不是医疗卫生专业人士或不同意本说明,请勿点击“同意”,因为本项服务仅面向医疗卫生人士,以及专业性、合规性要求等因素,您将无法使用本项服务。

同意

拒绝

同意

拒绝

知情同意书

同意

不同意并跳过

工作人员正在审核中,
请您耐心等待
审核未通过
重新提交
完善信息
{{ item.question }}
确定
收集问题
{{ item.question }}
确定
您已通过HCP身份认证和信息审核
(
5
s)

立足三线挽狂澜,呋喹替尼助力解决晚期结直肠癌肺转移患者生存困境

2023-11-21作者:Kangn资讯


结直肠癌(CRC)是全球常见高发的恶性肿瘤之一[1],根据我国国家癌症中心最新数据显示,结直肠癌发病率居恶性肿瘤第二位,死亡率居第四位[2]。其中,约30%患者在确诊时已发生远处转移[3],基本丧失手术切除机会,治疗更为棘手。常规的晚期CRC患者一线、二线治疗方式主要为化疗或化疗联合靶向治疗,但治疗效果有限,预后不良,在三线仍有60%以上患者有治疗需求[4]


2018年,我国自主创新研发的小分子酪氨酸激酶抑制剂(TKI)类靶向药物呋喹替尼由中国国家药品监督管理局(NMPA)批准成功上市,5年来为逾7万名中国CRC患者带来显著的生存获益。下面分享一例CRC肺转移患者三线应用呋喹替尼带来持久疾病稳定(SD)的案例,期待为临床用药带来新思考。


病例回顾


■ 病史信息


基本信息:男性,64岁。


主诉:便血1月余。


现病史:患者2021年3月无明显诱因出现便血,伴肛门下坠,偶有腹胀、腹痛,大便次数多,每天十余次,无排便困难。


既往史:高血压病史2年余。


查体:直肠指检发现距肛缘约5-6cm可及菜花样肿块,活动度差,指套染血。


辅助检查:


  • 2021年5月13日消化道肿瘤标记物检查示,CEA、CA199正常。


  • 2021年5月17日肠镜检查示,直肠肛上6-12cm见一近全周型新生物,表面充血糜烂(图1)。病理:(直肠)少量腺癌伴大片退变、坏死;pMMR。

图1 肠镜检查


  • 2021年5月18日直肠MR检查示,直肠中上段癌(T4aN2Mx),距肛下缘6.3cm,肿瘤骑跨腹膜反折,环周切缘阴性,可疑壁外血管侵犯(图2)。

图2 直肠MR检查


  • 2021年5月24胸部CT检查示,两肺多发结节,结合病史,转移可能大(图3)。

图3 胸部CT检查


诊断:直肠恶性肿瘤(cT4N2M1 Ⅳ期,pMMR)


■ 治疗经过


  • 第一阶段治疗(2021年5月至2021年9月)

经MDT讨论,鉴于患者便血且大便次数较多,肺部转移局部可处理,拟行以伊立替康为基础的同步放化疗方案。


患者于2021年5月31日开始接受盆腔放疗,并于6月4日、6月11日、6月18日、6月24日及7月2日接受5次Caplri方案同步化疗:伊立替康120mg(65mg/m2)静滴 qw+卡培他滨1.0g Bid。


期间完善UGT1A1基因检测:*28位点,6/7突变型,*6位点,GG野生型。


放疗结束后,患者因“急性心肌梗死”于2021年7月21日在当地医院行冠脉造影并行支架植入术。其后于2021年8月12日、9月2日行第1-2周期XELIRI方案化疗:伊立替康380mg 静滴 d1+卡培他滨 早1.5g 晚2.0g 口服 bid d1-14。


患者出现Ⅰ度骨髓抑制,消化道肿瘤指标无升高。2021年9月27日复查胸部CT检查示两肺多发结节,大部分较前(2021年5月24日)增大(图4);2021年9月28日复查直肠CT检查示直肠中上段病灶较前(2021年5月17日)退缩。疗效评价:疾病进展(PD)。


图4 胸部CT检查(左:2021年5月24日;右:2021年9月27日)


  • 第二阶段治疗(2021年10月至2022年6月)

进一步完善基因检测,提示KRAS EXON 2 G12v突变,NRAS、BRAF未见明显变异。


患者自2021年10月14日、11月3日、11月24日及12月15日接受一线XELOX+贝伐珠单抗联合方案:奥沙利铂240mg 静滴 d1+卡培他滨3# 口服 bid d1-14+贝伐珠单抗550mg 静滴 d1。第1-2治疗周期期间出现1级高血压,Ⅰ度白细胞下降;第3-4周期期间出现高血压。


2021年11月24日及2022年1月10日复查胸部及盆腔CT检查均提示,两肺多发结节,较前(2021年9月27日/2021年11月24日)大致相仿;直肠癌放化疗后,直肠中上段壁增厚较前相仿;膀胱前上方系膜区结节灶,较前相仿或稍小(图5、6)。疗效评估均为:SD。


图5 胸部CT检查(左:2021年11月24日;右:2022年1月10日)


图6 盆腔CT检查(左:2021年11月24日;右:2022年1月10日)


患者于2022年1月11日接受第5周期XELOX化疗,停用贝伐珠单抗,并于2022年2月21日接受腹腔镜下直肠癌扩大根治术(直肠前切除术+乙状结肠部分切除)+肠系膜淋巴结清扫术+腹腔镜下肾周粘连松解术+腹腔镜下肠粘连松解术+腹腔镜下结肠造口术。术后病理提示:直肠中分化腺癌(pT3N0M1 Ⅳ期)。


2022年3月30日复查胸部CT检查示,两肺多发转移瘤,较前基本相仿;心包少量积液,较前相仿。


患者于2022年4月1日、4月22日及5月13日再次接受XELOX+贝伐珠单抗方案治疗,期间出现Ⅰ度白细胞下降,Ⅱ度手足综合征。


2022年6月9日复查胸部CT检查示,两肺多发转移瘤,较前增大(图7);心包少量积液,较前稍增多。


图7. 胸部CT检查(2022年6月9日)


  • 第三阶段治疗(2022年6月至2022年8月)


患者于2022年6月13日、7月4日、7月22日及8月6日进行1-4周期FOLFIRI+贝伐珠单抗方案治疗:伊立替康320mg 静滴 d1+氟尿嘧啶700mg 静脉注射 d1、4700mg 持续输注维持46h +亚叶酸钙700mg d1+贝伐珠单抗0.4g d1。


2022年8月18日复查胸部CT检查示,两肺多发转移瘤,部分较前(2022年6月9日)增大;左锁骨上淋巴结增大;心包少量积液,较前相仿(图8)。疗效评估:PD。


图8 胸部CT检查(左:2022年6月9日;右:2022年8月18日)


  • 第四阶段治疗(2022年8月至今)

患者于2022年8月19日开始服用呋喹替尼(5mg qd d1-21 q4w)治疗,服药后血压升高,予以降压药对症治疗后血压控制可。


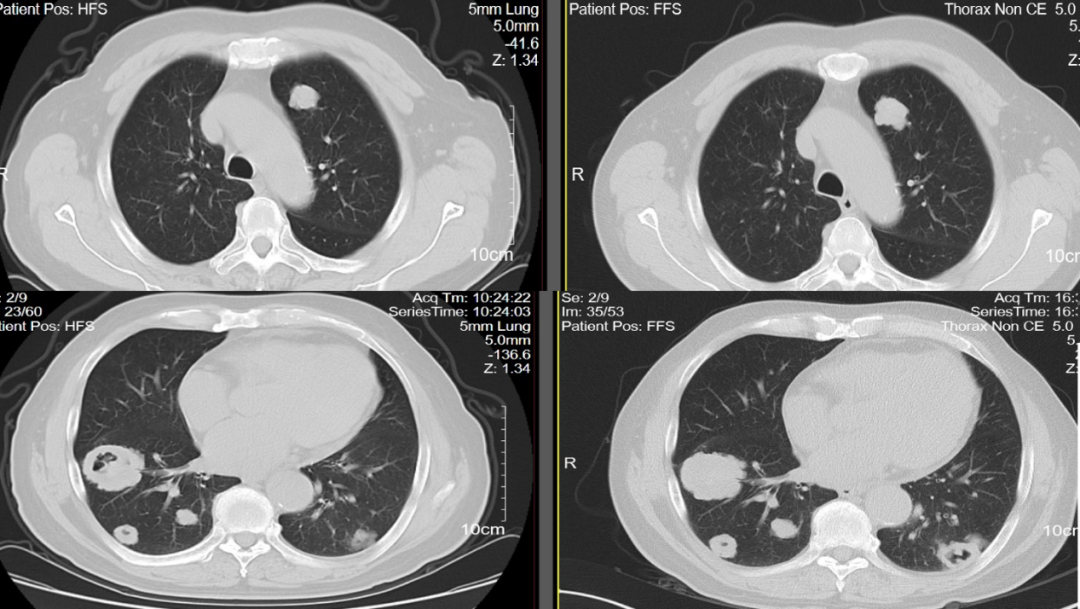
2022年10月13日复查胸部CT检查示,两肺多发转移瘤,部分较前(2022年8月18日)稍增大;2023年1月30日复查胸部CT检查示,两肺多发转移瘤,部分新发空洞形成,范围较前大致相仿(图9)。疗效评估:SD。


图9 胸部CT检查(左:2022年10月13日;中:2022年11月30日;右:2023年1月30日)


其后患者继续接受三线呋喹替尼治疗,于2023年4月11日复查胸部CT检查示,两肺多发转移瘤,部分较前(2023年1月30日)稍增大;心包少量积液,较前相仿(图10)。疗效评估:SD。


患者治疗期间出现高血压、Ⅱ度手足综合征。


图10 胸部CT检查(左:2023年1月30日;右:2023年4月11日)


病例总结


该病例患者为一名老年男性,因“便血1月余”入院,初步诊断为:直肠恶性肿瘤(cT4N2M1 Ⅳ期,pMMR)。患者经伊立替康为基础的同步放化疗、一线XELOX+贝伐珠单抗方案治疗后,接受腹腔镜下直肠癌扩大根治术(直肠前切除术+乙状结肠部分切除)+肠系膜淋巴结清扫术+腹腔镜下肾周粘连松解术+腹腔镜下肠粘连松解术+腹腔镜下结肠造口术,术后诊断为直肠中分化腺癌(pT3N0M1 Ⅳ期,pMMR)。患者于术后继续XELOX+贝伐珠单抗方案治疗,出现病情进展;二线接受FOLFIRI+贝伐珠单抗方案治疗后,出现了病情进展,遂三线接受呋喹替尼单药治疗(图11)。截至病例征集时间,患者疗效评价持续SD。


图11 患者病程示意图
(以上病例仅系相关主治医生在执业过程中的病情回顾与评述,个体病例通常具有差异性,具体治疗方案及用药应当结合个体情况并严格遵循医嘱。)


专家点评


呋喹替尼是一种高选择性的口服血管内皮生长因子受体(VEGFR)-1、-2及-3抑制剂,可抑制肿瘤血管生成。其独特设计使其激酶选择性更高,旨在尽可能地降低脱靶毒性、改善耐受性及对靶点提供更稳定的覆盖。


登顶《JAMA》杂志的FRESCO研[5]提示呋喹替尼单药在晚期CRC治疗中表现出良好的疗效。结果显示,呋喹替尼治疗组患者的中位总生存期(OS)达到9.3个月,相比安慰剂组显著延长2.7个月,患者死亡风险相对下降35%;中位无进展生存期(PFS)也达到3.7个月,相比安慰剂组显著延长1.9个月,疾病死亡或进展风险相对下降了74%。发表于《柳叶刀》的FRESCO-2研究[6]进一步提示了呋喹替尼在不同人种中一致的抗肿瘤疗效:结果显示,呋喹替尼组患者中位OS达到7.4个月,相较安慰剂组显著延长2.6个月,降低死亡风险34%;呋喹替尼组患者中位PFS达到3.7个月,相较安慰剂组显著延长达1.9个月,降低疾病进展风险68%。


上述研究[5-6]均显示,呋喹替尼较其他小分子TKI未出现新的不良反应,安全性良好。呋喹替尼的不良反应主要为高血压和手足皮肤反应,且大多可控可管理。


基于其疗效与安全性,呋喹替尼已于2018年由NMPA获批上市,用于治疗既往接受过氟尿嘧啶类、奥沙利铂和伊立替康为基础的化疗,以及既往接受过或不适合接受抗VEGF治疗、抗EGFR治疗(RAS野生型)的转移性CRC患者;并获《CSCO结直肠癌诊疗指南(2023)》(Ⅰ级推荐、1A类证据)[7]、《中国结直肠癌肝转移诊断和综合治疗指南(V2023)》[8]、《中国肿瘤整合诊治指南--结直肠癌、肛管癌》[9]、《2023 ESMO临床实践指南:转移性结直肠癌患者的诊断、治疗和随访——泛亚洲人群适用》[10]等国内外权威指南一致推荐,有望为晚期CRC患者带来更多生存获益。


在本病例中,患者三线接受呋喹替尼单药治疗为其带来持续的SD,安全性良好,是呋喹替尼在真实世界中为转移性CRC患者带来生存获益的又一力证。期待在未来研究的进一步探索中,呋喹替尼为晚期CRC患者带来循证医学证据更充足的诊疗方案。


专家简介

刘鲁迎 教授


  • 主任医师

  • 浙江省肿瘤医院腹部放疗科副主任(主持工作)

  • 中国医师协会放射肿瘤治疗医师分会第二届委员会胃肠肿瘤放疗学组委员

  • 中国医师协会结直肠肿瘤专业委员会放射治疗专委会委员

  • 中华医学会放疗分会胃肠学组委员

  • 浙江省医学会放疗专委会委员

  • 浙江省抗癌协会肿瘤转移专业委员会常委

  • 浙江省抗癌协会大肠癌专业委员会委员

  • 浙江省抗癌协会血液淋巴专业委员会委员

  • 浙江省数理医学学会胃癌专业委员会常委

  • 吴阶平基金会中西医结合营养专委会委员


参考文献:

[1]Sung H, Ferlay J, Siegel RL, et al. Global Cancer Statistics 2020: GLOBOCAN Estimates of Incidence and Mortality Worldwide for 36 Cancers in 185 Countries. CA Cancer J Clin. 2021 May;71(3):209-249.
[2]Zheng RS, Zhang SW, Zeng HM, et al. Cancer incidence and mortality in China, 2016[J]. JNCC, 2022, 2(1): 1-9.
[3]中国医师协会结直肠肿瘤专业委员会, 中国抗癌协会大肠癌专业委员会, 国家癌症中心国家肿瘤质控中心结直肠癌质控专家委员会. 结直肠癌靶向治疗中国专家共识[J/OL]. 中华结直肠疾病电子杂志, 2022, 11(05): 353-360.
[4]Tampellini M, Di Maio M, Baratelli C, et al. Treatment of Patients With Metastatic Colorectal Cancer in a Real-World Scenario: Probability of Receiving Second and Further Lines of Therapy and Description of Clinical Benefit. Clin Colorectal Cancer. 2017 Dec;16(4):372-376.
[5]Li J, Qin S, Xu RH, et al. Effect of Fruquintinib vs Placebo on Overall Survival in Patients With Previously Treated Metastatic Colorectal Cancer: The FRESCO Randomized Clinical Trial. JAMA. 2018 Jun 26;319(24):2486-2496.
[6]Dasari A, Lonardi S, Garcia-Carbonero R, et al. Fruquintinib versus placebo in patients with refractory metastatic colorectal cancer (FRESCO-2): an international, multicentre, randomised, double-blind, phase 3 study. Lancet. 2023 Jul 1;402(10395):41-53.
[7]《CSCO结直肠癌诊疗指南(2023)》
[8]中国医师协会外科医师分会,中华医学会外科分会胃肠外科学组,中华医学会外科分会结直肠外科学组,等.中国结直肠癌肝转移诊断和综合治疗指南(V2023)[J].中华结直肠疾病电子杂志, 2023, 12(1):1-15.
[9]《中国肿瘤整合诊治指南--结直肠癌、肛管癌(2022)》
[10]Yoshino T, Cervantes A, Bando H, et al. Pan-Asian adapted ESMO Clinical Practice Guidelines for the diagnosis, treatment and follow-up of patients with metastatic colorectal cancer. ESMO Open. 2023 Jun;8(3):101558.


200 评论

查看更多