查看更多
密码过期或已经不安全,请修改密码
修改密码
壹生身份认证协议书
同意
拒绝
同意
拒绝
同意
不同意并跳过

请保存图片至微信识别二维码参与活动
2017年美国医学会皮肤病学杂志,公布了一个鼓舞人心的好消息:14名肺癌患者接受PD-1抑制剂治疗后,出现了不同程度的头发变黑、返老还童的现象。事实上,类似的现象在国内的病友中也有所报道。下图就是医学杂志上征得患者本人同意后,刊登出来的患者使用PD-1抗体后头发变黑的对比照:

当然,并不是所有患者都这么幸运,也有人的是变白了。2019年美国LilangiS Ediriwickrema教授就报道了一例睫毛和眉毛变白的病例。


下图是一例典型的PD-1抗体导致的肾上腺皮质功能不全的患者,抽血化验的化验单:低钠(只有128,正常值135以上)、低皮质醇(只有1.3,正常值是10以上)、低ACTH(在5以下,正常值应该在10以上)。

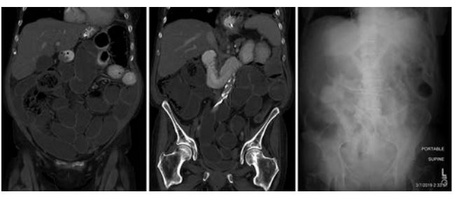
患者反复出现肠梗阻的症状,但是反复CT检查发现肠子是通畅的,也没有看到炎症反应、肠道感染等,因此怀疑是PD-1抗体导致的假性肠梗阻。激素治疗后有所好转,然后就开始全肠外营养支持。此后,患者病情稳定。

来源:咚咚癌友圈

请保存图片至微信识别二维码参与活动

查看更多