200
评论
查看更多
密码过期或已经不安全,请修改密码
修改密码
壹生身份认证协议书
同意
拒绝
同意
拒绝
同意
不同意并跳过

作者:北京大学第一医院 唐光健
患者男性,62岁,上腹痛伴呕吐1天,加重3小时。
右侧十二指肠旁疝

图1 增强CT扫描十二指肠降部中段水平,可见十二指肠降部扩张(箭号);

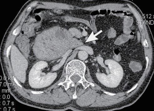
图2 增强CT扫描十二指肠水平段水平,可见十二指肠水平部中段呈尖削状,远侧“消失”(箭号);

图3 增强CT扫描肾下极水平,肠系膜上动、静脉(箭号)右侧可见环形肠绊(箭头);

图4 增强CT扫描门静脉期上腹部冠状位厚块最大密度投影(slabMIP,层厚约3cm),示肠系膜上静脉近段空肠支(箭号)经肠系膜上动、静脉主干(箭头)背侧进入右侧腹;

图5 增强CT扫描上腹部冠状位slabMIP(层厚约7cm),示经肠系膜上动、静脉(箭号)背侧(小肠系膜根)疝向右侧的十二指肠空肠曲及空肠近段形成的肠绊(箭头),空箭号示疝口。
在十二指肠旁疝中,以小肠内疝最为常见,约占所有内疝的50%,但右侧十二指肠旁疝相对少见,与小肠系膜-腹膜融合失败,于小肠系膜根的中上部形成小肠系膜根壁窝-Waldeyer窝相关,十二指肠空肠曲及空肠近段疝入囊内,肠系膜上动脉与静脉位于疝口。患者临床表现为小肠高位梗阻的症状。利用CT的薄层大范围扫描可清楚显示疝的解剖,并做出正确诊断,提示临床应对系膜缺损修补。
病例学完啦~
在本系列病例中,您还存在哪些疑问?
点击按钮提问
唐光健教授会对您的问题进行指导哦~
↓↓↓
下期预告
↓↓↓
明日发布,敬请期待!
查看更多