查看更多
密码过期或已经不安全,请修改密码
修改密码
壹生身份认证协议书
同意
拒绝
同意
拒绝
同意
不同意并跳过
作者:弓思文1 王金泉2 张志宏2
作者单位:
1南方医科大学第一临床医学院,金陵医院,国家肾脏疾病临床医学研究中心,南京210002
2东部战区总医院 国家肾脏疾病临床医学研究中心 全军肾脏病研究所
通信作者:王金泉
摘要
病史摘要 患者男性,29岁,因“矮小、多指(趾)、缺牙,尿检异常伴血压升高3月”入院
症状体征 患者有自幼矮小、多指(趾)、缺牙等症状,3月前无明显诱因发现泡沫尿,伴有血压升高无浮肿。
诊断方法 患者中等量蛋白尿伴有血压升高,肾活检病理光镜下观察到局灶节段性肾小球硬化。全外显基因检测检出EVC2基因杂合突变。
治疗方法 来氟米特片20mg/d免疫抑制,缬沙坦胶囊、硝苯地平控释片降压,新肾炎胶囊、益肾丸、百令胶囊保肾治疗。高血压保肾饮食,加强锻炼,减轻体重。
临床转归 患者尿蛋白持续增高,血肌酐逐渐升高。
关键词:Ellis-van Creveld 综合征;局灶节段性肾小球硬化;EVC2基因;慢性肾炎
引 言
Ellis-van Creveld综合征(Ellis-van Creveld syndrome,OMIM 225500,又称软骨外胚层发育不良)是一组常染色体隐性遗传病,同时也归属于纤毛病,以骨骼、外胚层和心脏等发育不良为主要特征的。骨骼病变多表现为短肢、短肋、轴后多指(趾)等。外胚层发育不良表现为指(趾)甲发育不良和先天缺牙。心脏病变主要表现为单个心房的房间隔缺损或房室隔缺。我们报道1例以多指(趾)畸形、缺牙、矮小症、蛋白尿为主要表现的Ellis—van Creveld 综合征,旨在提高对本病的认识,减少误诊和漏诊。
临床资料
一、一般资料
患者因“矮小、多指(趾)、缺牙,尿检异常伴血压升高3月”入院,患者出生伴有双手(足)多指(趾),双足二趾三趾连趾,分别于出生后一月内行多指矫正术,出生后6月左右行多趾矫正术。自幼身材矮小,牙齿自然生长26颗。3个月前患者发现尿中泡沫丰富于当地医院体检,查尿常规发现尿蛋白2+,尿红细胞计数5.5/ul,血生化中血肌酐正常,伴有血压升高至180/90mmHg,当地医院给予厄贝沙坦、氨氯地平口服降压治疗,服用降压药物后血压可控制在140/90mmHg左右。因于当地医院复查尿检未发现明显改善,遂于我科门诊就诊,查尿蛋白定量1.77g/24h,尿常规中尿红细胞计数5.5/ul,生化示血肌酐0.96mg/dl,eGFR(CKD-EPI)106ml/min/1.73m2,以“慢性肾炎”收入院。自发病以来偶有口腔溃疡,脱发,伴有腰背疼痛,双侧髋关节疼痛,偶有咳嗽咳痰等。
追问病史,患者3岁时因意外烫伤,于7岁行左上肢植皮手术。有吸烟史2~3年,平均7~8支/天。患者身高 150cm,体重 63kg,BMI 28kg/m2,环行步态,语言流利,智力正常。方颅,牙齿稀疏,可见26颗牙齿。双手(足)可见6指(趾)矫正术后瘢痕,双足二趾三趾可见连趾(图1),左臂及左手桡侧可见陈旧瘢痕,双膝外翻。第二性征发育未见明显异常。父母体健,非近亲婚配,一妹体健,否认家族中同样疾病患者,否认家族性遗传病史。

图1:患者双手双足情况
A:双手可见6指矫正术后瘢痕,左手可见陈旧烫伤瘢痕
B:双足可见6趾矫正术后瘢痕,双足二趾三趾可见连趾
二、检查
尿常规:尿蛋白阳性(1+)、尿红细胞计数5.5/ul、24小时尿蛋白定量0.62 g/24h;血生化:肌酐1.09mg/dl、尿素氮12.22 mg/dl、尿酸306μ mol/L、eGFR(CKD-EPI) 91ml/min/1.73m2。体液免疫IgE 250 IU/ml、ASO 234 IU/ml、IgG4 2050 mg/L。淋巴细胞,补体C3 、C4,抗核抗体谱、ANCA谱均阴性;血单特异性游离轻链,免疫固定电泳图谱示未见明显异常。肾脏超声:左肾/右肾106/104 mm,双肾结构欠清楚,左肾囊肿,右肾结石。心脏超声提示:超声心动图大致正常。胸部CT:1.胸部平扫未见明显异常;2.肝囊肿。无肋骨发育异常。腹部CT:1.左肾包膜下血肿,左肾周少许渗出;左肾囊肿可能;2.肝脏散在小囊肿;3.腹腔、腹膜后多发大小不等淋巴结;4.腰4锥体低密度灶,考虑许莫氏结节可能。
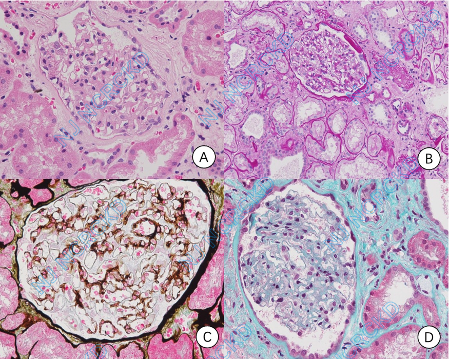
肾脏病理学:免疫荧光观察肾小球2个,冰冻切片荧光染色IgG、IgA、IgM、C1q均阴性。荧光染色IgG1、IgG2、IgG3、IgG4阴性,肾间质IgG4阴性。IV型胶原α3、α5均正常。冰冻切片荧光染色κ轻链、λ轻链均阴性。光镜下观察15个肾小球中8个球性废弃,1个节段硬化,1个肾小球袢皱缩明显伴囊腔相对扩大,囊内见渗出。余正切肾小球增大。PASM-Masson阴性。肾小管间质轻度慢性病变,多处小灶性肾小管萎缩、基膜增厚,非萎缩小管节段基膜亦增厚,间质少量单个核细胞、浆细胞浸润,皮质间质多处小灶性纤维化,髓质间质纤维化+~++。小动脉节段和全层透明变性,小叶间动脉弹力层增厚分层。肾脏病理小结:主要诊断:局灶节段性肾小球硬化(考虑高血压和肥胖相关)。(图2)
基因检测:EVC2基因有2个杂合突变。经家系验证分析,c.2833C>T(p.R945X)受检人之父该位点杂合变异,受检人之母该位点无变异,受检人之姐妹该位点无变异;c.608T>C(p.L203P)受检人之父该位点无变异,受检人之母该位点杂合变异,受检人之姐妹该位点无变异。

图2:患者肾脏病理光镜检查结果
A:HE染色×400;B:PAS染色×200;C:PASM染色×400;D:Masson三色染色×400
三、诊断与鉴别诊断
患者因尿检异常入院,肾脏病理观察到FSGS表现,电镜下未见异常免疫复合物沉积。对患者及其亲属进行全外显子基因检测回报EVC2基因突变。综上检验及检查结果可明确诊断局灶节段性肾小球硬化(高血压、超重有关);Ellis-van Creveld综合征;高血压3级 高危组;超重。
四、治疗
根据患者临床表现以及FSGS的病理结果,治疗上给予来氟米特片20mg/d免疫抑制,新肾炎胶囊、益肾丸、百令胶囊保肾;缬沙坦胶囊、硝苯地平控释片降压治疗。嘱患者高血压保肾饮食,加强锻炼,减轻体重。
五、治疗结果、随访及转归
出院后患者尿蛋白量,血肌酐逐渐增加,末次随访2022年7月4日,患者尿蛋白定量3.57g/24h,尿红细胞计数未见异常,血肌酐增高 1.28mg/dl。自述血压控制在130/80mmHg左右,体重未见明显减轻。
讨 论
Ellis-van Creveld综合征是一种罕见的以常染色体基因隐形遗传为主要遗传方式的疾病,主要临床表现为口腔、肢、骨骼异常、心脏异常。起病与位于染色体 4p16 上的 EVC 或 EVC2基因突变有关,通过功能丧失机制导致该病,具有遗传异质性。Ellis-van Creveld综合征的患者通常有四个特征:(1)不成比例的侏儒症,(2)双侧多指,(3)外胚层发育不良,(4)心脏畸形,占50%-60%。然而,EVC综合征也可引起身体其他器官的异常,如斜视、胸壁改变、肺畸形、尿道下裂、尿道上裂、隐睾、肾畸形、关节发育不良、血液系统异常、围产期髓母细胞白血病、中枢神经系统异常和智能障碍等。成人肾脏病变异常罕见,肾小球病变未见报道。本次报道一例29岁的男性患者,以尿检异常为主要表现就诊,经穿刺活检术后发现患者为局灶节段性肾小球硬化,通过基因全外显子检测,发现患者EVC2突变。结合患者临床相关检验检查等,患者局灶节段性肾小球硬化(高血压、超重有关);埃-范综合征诊断明确。其父亲,母亲均为杂合子携带者(图3),家族中并无其他相同症状患者(图4)。
患者治疗采用来氟米特20mg/d免疫抑制,降压及保肾治疗,末次随访患者24小时尿蛋白量2.62g/24h,追问患者生活习惯,未规律测量血压,未控制饮食,控制体重。
目前尚无Ellis-van Creveld综合征与成人肾小球肾炎关联的报道。本例患者为青年男性,除骨骼,外胚层发育不良以及肾脏FSGS病变外,还有肝囊肿,肾囊肿,腹腔、腹膜后多发淋巴结等器官损伤,心脏超声未见异常,具体原因不详。系统性纤毛疾病与神经感觉性听力损失和视网膜变性有关,但该名患者听力检测与眼底检查未见异常。尚无肾病诊断与Ellis-van Creveld综合征相关的确切证据,该在给予降压等治疗后,患者肾脏症状未见明显好转,需密切观察,长期随访,监测重要器官受累情况,如发生异常及时治疗。
本文报道了一例罕见的FSGS合并Ellis-van Creveld综合征患者。经免疫抑制及降压治疗后,症状未见明显缓解,目前该病在成人患者中诊断较少,缺乏治疗指导,多采用对症治疗。目前对于青年的FSGS诊断仍有漏诊,其基因检测十分重要。

图3:先证者及父母EVC2基因测序结果
A:箭头指示突变位点,先证者c.2833C >T(p.R945X)来源于父亲
B:箭头指示突变位点,先证者c.608 T > C (p.L203P) 来源于母亲

图4:EVC2家系谱图
参考文献:略
来源:东部战区总医院供稿
查看更多