查看更多
密码过期或已经不安全,请修改密码
修改密码
壹生身份认证协议书
同意
拒绝
同意
拒绝
同意
不同意并跳过
一、病史介绍
患者谢某,女,26岁,因“左侧肢体无力108分钟”就诊。
患者于108分钟前(2019-5-22 23:00)突然出现左侧肢体无力,表现为上肢尚可抬举,走路左偏,无舌僵、言语不清,无恶心、呕吐,无视物不清,无跌倒发作,无四肢抽搐,症状持续不缓解,自行到达我院,到院时症状缓解,患者发病来神志清,精神可,大小便未排。
既往史、个人史及家族史:平素身体健康状况良好,无高血压、糖尿病、心脏病疾病史,无传染病史,预防接种史随社会进行,无外伤手术史,无输血史,无食物及药物过敏史。否认吸烟、饮酒史。否认家族遗传性疾病史,否认家族中类似疾病发病史。
入院查体:T:35.8℃;P:105次/分;R:19次/分;BP:左132/65 mmHg,右135/71 mmHg。双肺呼吸音清,无明显干湿性啰音,心率105次/分,心律齐,未闻及杂音,腹软,无压痛及反跳痛,双下肢无水肿。神志清,精神可,言语流利,双侧瞳孔等大等圆,直径3.0 mm,对光反射灵敏,额纹对称,无鼻唇沟变浅,伸舌居中,咽反射正常,四肢肌张力、肌力正常,无偏身感觉减退,双侧巴氏征阴性。
二、诊疗经过
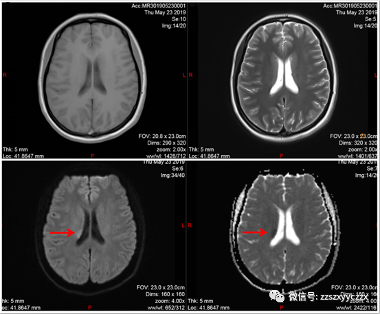
患者于发病后108分钟(2019-5-23 00:48)到达急诊,分诊考虑急性脑卒中,立即进入卒中绿色通道诊疗。00:49立即予以开放静脉通路,同时送检血常规、肝、肾功能、电解质、血糖、心肌酶、凝血功能等检验项目;行头颅CT平扫,结果未见颅内出血(见图1)。01:05急查头颅MRI+MRA+SWI提示右侧颞叶、海马区、侧脑室旁异常信号,考虑急性期脑梗死(见图2)。
诊断思路:
①青年女性,急性起病,表现为“左侧肢体无力108分钟”;
②既往体健;
③一过性左侧肢体无力,入院时症状缓解,无神经系统缺损症状;
④头颅CT排除脑出血,头颅MRI提示急性脑梗死。
故诊断:急性脑梗死(右侧颈内动脉系统)。患者NIHSS评分0分(见表1)。
表1 患者入院NIHSS评分

检验结果示:随机血糖:6.3 mmol/L;血常规(2019-5-2300:51)、凝血功能(2020-5-23 01:04)未见明显异常。

图1 头颅CT平扫排除出血

A、右侧侧脑室旁异常信号

B、右侧颞叶异常信号
图2 头颅MRI平扫提示右侧颞叶、海马区、侧脑室旁异常信号,考虑急性期脑梗死(A、B中红色箭头所示)

A、头MRA

B、头PWI

C、头PWI
图3 头MRA右侧椎动脉颅内段纤细,考虑左侧椎动脉优势;左侧后交通动脉开放(A);颅脑PWI未见明显灌注异常(B、C)
实施治疗:患者发病时间小于4.5小时,有静脉溶栓治疗适应证。同时初步排除溶栓禁忌证,与患者及家属沟通溶栓治疗获益及风险后,患者及家属签署溶栓治疗同意书。约01:58(即发病178分钟后,DNT 70分钟)予以阿替普酶(0.9 mg/kg)静脉溶栓治疗,按患者体重61kg计算,阿替普酶总量为54.9 mg,其中5.4 mg静脉注射,剩余剂量于1小时内静脉滴注完毕。
脑血管病情评估:患者入院急查MRA+PWI示:右侧椎动脉颅内段纤细,考虑左侧椎动脉优势;左侧后交通动脉开放;颅脑PWI未见明显灌注异常(见图3)。患者无大血管病变,肢体无力症状呈一过性,NIHSS评分为0分,溶栓过程中为出现症状波动。未对患者行进一步全脑血管造影术及血管内治疗。
入院后余治疗给予改善循环、调脂稳定斑块及对症支持治疗。
同时完善脑血管病危险因素筛查:
表 检验结果
超声示:
卵圆孔未闭;三尖瓣少量反流;左心功能正常;双侧颈动脉、椎动脉、锁骨下动脉未见明显异常;双下肢动脉、深静脉超声未见明显异常。
心脏发泡试验(见图5):阳性(Ⅳ级);右心声学造影提示:卵圆孔未闭。

图5 心脏发泡试验结果
请心内科会诊指导治疗,考虑患者卒中与卵圆孔未闭相关,建议病情稳定后介入下行封堵治疗。患者于2019-6-4局麻下行右心导管检查+房间隔缺损封堵术。
三、处理要点及诊疗体会
(一)溶栓治疗
患者肢体无力症状呈一过性,入院后症状缓解,NIHSS评分0分,完善头颅CT排除出血,结合病史考虑急性缺血性脑血管病。急查头颅MRI结果提示急性脑梗死,考虑患者轻型卒中。
《中国急性缺血性脑卒中静脉溶栓指导规范》指出,对发病 3 小时内轻型卒中,伴有致残性症状的患者,推荐静脉溶栓治疗。征得患者及家属同意后,予以静脉溶栓治疗。
(二)脑梗死发病机制分析
该患者为青年女性,既往体健,对于青年卒中患者而言,危险因素的筛查显得尤为重要。大样本研究显示,心源性栓塞约占全部青年缺血性卒中的5.1%~18.2%,病因主要包括心律失常、心脏瓣膜病、心脏肿瘤、心肌病、感染性心内膜炎、心脏手术后、卵圆孔未闭(patent foramen ovale, PFO)/房间隔缺损等。而研究发现成人中卵圆孔未闭(PFO)的发生率非常高, <55 岁的隐源性卒中患者,PFO 的检出率高达 40%~50%。PFO可通过反常栓塞、PFO处原位血栓以及相关心律失常等机制引起卒中。该患者心脏发泡试验提示存在卵圆孔未闭。
卵圆孔位于房间隔的中下部,是由第二房间隔下缘与第一房间隔形成的一个“片阀样”结构,是胎儿时期血液循环重要的一处生理通道。大多数人卵圆孔在出生后3个月关闭,但部分成年人当两房间的压力梯度变化时,卵圆孔仍可能再开放形成右向左的分流。
25%~34%的成年人卵圆窝部两层隔膜未完全融合,在卵圆孔顶端遗留的月牙形裂隙即成为卵圆孔未闭。PFO引起缺血性卒中的机制可能为:右心房压力升高,卵圆孔重新开放,为反常栓塞提供了通道。所谓反常栓塞,是指来源于静脉系统或右心房的栓子通过右向左分流通道进入动脉系统引起的栓塞。
(三)病因治疗及预后
研究显示,在年龄≤50岁的缺血性卒中人群中,反常栓塞风险评分(RoPE)可预测缺血性卒中相关PFO的概率。目前认为,在60岁以下伴有PFO的卒中患者中,与单纯接受抗血小板治疗的患者相比,接受PFO封堵术的患者卒中复发风险较低。
该患者RoPE评分9分,住院期间行PFO封堵术,出院后随访1年余未再出现脑血管病事件发作。
附:

来源:郑州市中心医院卒中中心(作者:邢燕蒙 王润青)
转载已获授权,其他账号转载请联系原账号
查看更多