查看更多
密码过期或已经不安全,请修改密码
修改密码
壹生身份认证协议书
同意
拒绝
同意
拒绝
同意
不同意并跳过

痴呆是一种以获得性认知功能损害为核心,并导致患者日常生活能力、学习能力、工作能力和社会交往能力明显减退的综合征。
认知功能或精神行为损害可通过病史采集或神经心理评估客观证实,且至少具备以下5项中的2项:(1)记忆及学习能力损;(2)推理、判断及处理复杂任务等执行功能受损;(3)视空间能力受损;(4)语言功能受损(听、说、读、写);(5)人格、行为或举止改变。
引起痴呆的病因很多,不同病因,治疗效果和预后不同。因此尤其注意识别可治性、可逆性痴呆。当临床上遇见痴呆的患者,你又怎么定位?
CASE
患者,女性,87岁,因“反应迟钝1周”入院,患者在家中无明显诱因出现反应迟钝,记忆减退,忘记自己是否吃饭,有时认错家人,言语减少,伴有行为紊乱,表现为整夜不睡,起床做饭、外出走动等,无头痛、头晕、吐词不清、肢体活动障碍、四肢抽搐、口角抽动、意识丧失等症状。既往有高血压病史。
查体:神清语晰,少语,反应迟钝,时间、空间、人物定向力正常,近记忆力减退,远记忆力正常,计算力差(100-7=?),能执行部分命令,眼球各项运动不受限,无眼震,额纹对称,双侧鼻唇沟对称,伸舌居中,四肢肌力肌张力正常,指鼻稳准,肢体痛觉对称存在,四肢腱反射对称引出,双侧下肢病理征阴性。脑膜刺激征阴性。MMSE:5分。MoCA:1分。
毫无疑问,患者属于快速进展性痴呆疾病谱。
快速进展性痴呆(Rapid Progressive Dementia,RPD)是一类快速进展的痴呆综合征,目前尚无统一的定义,主要表现为急性或亚急性起病,往往在数周至数月内发生的严重认知功能减退,一般不超过2年。RPD病因繁多。

患者发病如此之急,除高血压外没有其他内科疾病,无中毒史,无发热,CJD发病又通常没有如此之快,那么病因会是什么呢?会是卒中吗?
完善常规辅助检查:血常规、肝肾功、电解质、血糖、输血前全套、甲状腺功能全套无明显异常。
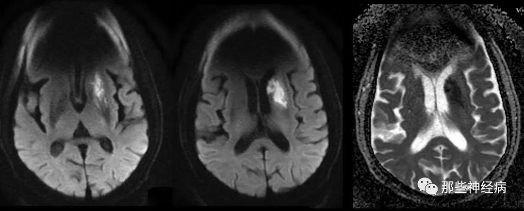
头颅MR弥散成像:

左侧基底节区见片状弥散受限病灶,主要为尾状核头部及壳核,考虑急性脑梗死。
来源:那些神经病
查看更多