查看更多
密码过期或已经不安全,请修改密码
修改密码
壹生身份认证协议书
同意
拒绝
同意
拒绝
同意
不同意并跳过
基本资料
性别:男
年龄:66岁
身高:160cm
体重:60kg
主诉:右半结肠癌肝转移化疗后2周。
现病史:患者2019.4体检行CT考虑肠癌肝转移可能,肠镜活检示结肠腺癌,于2019.5.9-10.19予贝伐珠单抗+mFOLFOX6方案化疗12次,化疗4次评价疗效SD,化疗8次及12次评价疗效PR,后予卡培他滨维持治疗,期间复查评价疗效SD,2019.3.25门诊复查评价疗效PD,于2020.4.11-5.26予贝伐珠单抗+FOLFIRI方案化疗4次,化疗4次后复查评价疗效PD。
既往史/家族史:无特殊
辅助检查
体格检查:KPS 90,浅表淋巴结未及,心、肺无特殊。腹平软,无压痛、反跳痛,未及包块,肝脾肋下未及,移动性浊音(-),肠鸣音4次/分。
实验室检查:
血常规:

肝肾功能:

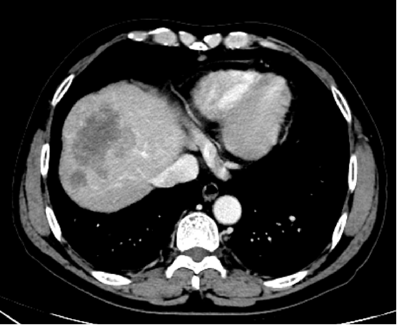
影像学检查:
2020.6.8胸腹盆增强CT








入院诊断:
升结肠腺癌肝转移 IVA期
治疗方案:
一线治疗方案:
贝伐珠单抗+mFOLFOX6方案
病理检查结果:腺癌
二线治疗方案:
贝伐珠单抗+FOLFIRI方案
病理检查结果:腺癌
三线治疗方案:
瑞戈非尼 120mg qd*21天/28天
病例总结:
患者为升结肠癌肝转移患者,初始不可切除,根据NCCN、CSCO指南予贝伐珠单抗+mFOLFOX方案化疗12次后评价仍为不可切除,根据CSCO指南予卡培他滨维持治疗,进展后根据NCCN、CSCO指南予贝伐珠单抗+FOLFIRI方案化疗4次后复查提示肿瘤进展,根据NCCN、CSCO指南予瑞戈非尼120mg qd*21天/28天治疗,目前复查评价疗效SD,副反应可耐受。
查看更多