壹生大学

壹生身份认证协议书

本项目是由壹生提供的专业性学术分享,仅面向医疗卫生专业人士。我们将收集您是否是医疗卫生专业人士的信息,仅用于资格认证,不会用于其他用途。壹生作为平台及平台数据的运营者和负责方,负责平台和本专区及用户相关信息搜集和使用的合规和保护。
本协议书仅为了向您说明个人相关信息处理目的,向您单独征求的同意,您已签署的壹生平台《壹生用户服务协议》和《壹生隐私政策》,详见链接:
壹生用户服务协议:
https://apps.medtrib.cn/html/serviceAgreement.html
壹生隐私政策:
https://apps.medtrib.cn/html/p.html
如果您是医疗卫生专业人士,且点击了“同意”,表明您作为壹生的注册用户已授权壹生平台收集您是否是医疗卫生专业人士的信息,可以使用本项服务。
如果您不是医疗卫生专业人士或不同意本说明,请勿点击“同意”,因为本项服务仅面向医疗卫生人士,以及专业性、合规性要求等因素,您将无法使用本项服务。

同意

拒绝

同意

拒绝

知情同意书

同意

不同意并跳过

工作人员正在审核中,
请您耐心等待
审核未通过
重新提交
完善信息
{{ item.question }}
确定
收集问题
{{ item.question }}
确定
您已通过HCP身份认证和信息审核
(
5
s)

儿童阻塞性睡眠呼吸暂停低通气综合征手术治疗相关问题|13天OSA诊疗能力提升⑫

2023-07-14作者:论坛报小璐资讯
原创

上期答案

1.OSA须与哪些疾病相鉴别?

参考解析:(1)鼾症;(2)上气道阻力综合征;(3)发作性睡病。


2.CPAP治疗的适应证是什么?

参考解析:(1)中、重度OSA患者;(2)轻度OSA患者,但症状明显(如白天嗜睡、认知障碍、抑郁等),合并或并发心脑血管疾病和糖尿病者;(3)手术治疗失败或复发者;(4)OSA合并慢阻肺者;(5)OSA患者的围手术期治疗。


儿童阻塞性睡眠呼吸暂停低通气综合征手术治疗相关问题



作者:北京同仁医院 王小轶


由于儿童特殊的生长发育及结构特点,儿童睡眠呼吸暂停的主要病因是上呼吸道周边的一些腺体发生病变,例如扁桃体或腺样体发炎、肿大,儿童入睡后肌肉放松,肿大的腺体暂时阻塞上呼吸道,通气受阻使得睡眠时不能经鼻呼吸而出现张口呼吸。现举例北京同仁医院耳鼻咽喉科两个典型的重度儿童OSAS诊断和治疗病例。


病例一


杜某某,男,3岁。主因睡眠打鼾伴张口呼吸1年余,以腺样体肥大、扁桃体肥大收住北京同仁医院耳鼻咽喉科。患儿偶有夜间睡眠憋醒现象,白天出现轻度嗜睡、乏力及注意力不集中等症状,感冒后症状加重。住院前于北京儿童研究所营养科、内分泌科就诊,未发现明显异常。

查体:身高1.17m,体重35kg。双侧鼻腔可见少量清涕,腺样体堵塞后鼻孔约2/3,双侧扁桃体Ⅱ肿大,表面无脓性分泌物。入院后行多导睡眠监测:呼吸暂停低通气指数121.1次/小时,夜间最低血氧饱和度63%。

完善常规术前检查后,于全麻下行腺样体切除术和双侧扁桃体切除术。术后当晚行脉搏血氧饱和度监测,3%氧减指数69.2次/h;术后第二晚行脉搏血氧饱和度监测,3%氧减指数38.9次/h。术后出现发热等症状,给予对应治疗后逐渐缓解,出院。


病例二


赵某某,男,5岁。主诉睡眠打鼾1年余,门诊诊断阻塞性睡眠呼吸暂停综合征,腺样体肥大收住院。患儿1年余前无明显病因出现睡眠打鼾,伴鼻塞、间歇性流涕,吞咽时阻塞感,偶有咳嗽、发热,未行特殊治疗,症状无缓解。自发病以来,精神可,无头痛、乏力、盗汗,体重无明显改变。

查体:身高1.2m,体重30kg。双侧鼻腔少量黏脓性分泌物,鼻咽部腺样体增生占后鼻孔3/4,悬雍垂居中,双侧腭扁桃体Ⅲ肿大,无分泌物附着。术前多导睡眠监测:呼吸暂停低通气指数56次/小时,夜间最低血氧饱和度61%。

术前给予人工压力滴定后,确定给予持续4.5 cmH2O水平治疗。5天后全麻下行“腺样体切除术,双侧扁桃体切除术”,手术顺利,术后拔除气管插管顺利,转入ICU,术后第一天转回普通病房,无发热等不良事件发生,术后第5天行多导睡眠监测,呼吸暂停低通气指数5.3次/小时,术后症状完全缓解,出院。


1、儿童阻塞性睡眠呼吸暂停低通气综合征定义


儿童阻塞性睡眠呼吸暂停低通气综合征是指儿童睡眠过程中反复发生上呼吸道部分或完全阻塞,干扰儿童正常的通气和睡眠结构紊乱而引起的一系列病理生理变化。


2、腺样体肥大、扁桃体肥大是儿童阻塞性睡眠呼吸暂停低通气综合征的主要病因


淋巴组织在咽部形成内环和外环,内环与儿童睡眠呼吸暂停发生密切相关。内环由扁桃体及淋巴滤泡等淋巴组织成,环状排列在呼吸道及消化道的进口处。在咽部黏膜中大量淋巴细胞聚集形成淋巴滤泡,而无数的淋巴滤泡在某些部依汇聚形成团块状的淋巴组织,称扁桃体,包括咽扁桃体(腺样体)、鼻咽部的咽鼓管扁桃体、腭扁桃体和舌扁桃体等。内环的淋巴组织在儿童期发育旺盛,各淋巴组织体积较大,3~10岁时特别显著,在受到病毒、细菌、过敏原等各种刺激后肿大更为明显,阻塞上呼吸道。由于儿童颌面骨性结构较颅面骨性结构发育较晚,6岁左右恒牙萌出,而此阶段又是腺体肥大的高峰期,患儿长期张口呼吸,出现牙列不齐、硬腭高拱等所谓“腺样体面容”。


3、儿童阻塞性睡眠呼吸暂停低通气综合征的诊断


在睡眠监测中心完成的多导睡眠监测是诊断儿童阻塞性睡眠呼吸暂停低通气综合征的可靠客观标准,即阻塞性暂停低通气指数(OAHI),以OAHI>1次/小时作为界值。同时,根据OAHI进行了病情严重程度分度:1次/小时<OAHI≤5次/小时为轻度,5次/小时<OAHI≤10次/小时为中度,OAHI>10次/小时为重度。没有条件进行标准多导睡眠监测时,可采用经过验证的便携式睡眠监测设备,结合病史、体征等进行综合诊断。

前述两个病例,都是在手术后为及时掌握病情变化,而又不宜在睡眠监测中心接受多导睡眠监测,而采取了夜间睡眠脉搏血氧饱和度监测的方式。不建议单独使用儿童相关问卷或量表进行诊断。


4、腺样体切除术、扁桃体切除术是治疗儿童阻塞性睡眠呼吸暂停低通气综合征的基本方法


儿童确诊阻塞性睡眠呼吸暂停低通气综合征,尤其是中、重度患儿,临床检查腺样体和()扁桃体肥大,无手术禁忌,可行腺样体和()扁桃体切除术,可减轻患儿症状、提高生活质量、改善多导睡眠监测结果。然而围手术期也存在术后疼痛、进食减少、出血、感染、麻醉并发症、腭咽功能障碍等情况的可能。尤其是肥胖、重度患儿,术后发生呼吸暂停低通气指数残留较高,建议上气道持续正压通气补充治疗。

病例一术后即出现发热、存在很高的呼吸暂停低通气指数,适于继续接受上气道持续正压通气治疗。而病例二在手术前接受上气道持续正压通气治疗,避免了上述问题的出现,可作为重度患儿围手术期的重要补充治疗。在接受上气道正压通气治疗前,首先进行包括多导睡眠监测的人工压力滴定,决定治疗模式和治疗参数。

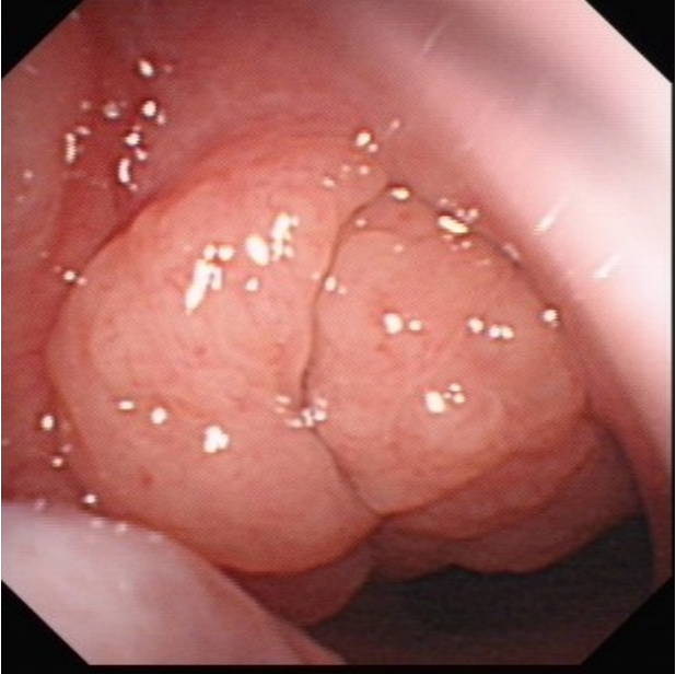
image.png图1 儿童腺样体肥大


互动小问题:

1、儿童阻塞性睡眠呼吸暂停低通气综合征主要病因是什么?

2、儿童阻塞性睡眠呼吸暂停低通气综合征诊断标准是什么?


阻塞性睡眠呼吸暂停的其他治疗


猜你想看

慢阻肺患者排痰困难怎么办?这四类祛痰药物能帮到你!

肺功能检查与呼吸康复,有怎样的联系?

呼吸衰竭常见原因及处理原则

呼吸驱动测定异常,到底意味着什么?

慢性阻塞性肺疾病的三联疗法

易坦静,该如何正确应用于儿童?

儿童肺炎支原体肺炎的三大类用药

肺功能检查,如何助力哮喘诊疗?

COPD的诊疗,肺功能扮演了什么角色?

常规肺功能检测,掌握适应证和禁忌证!

抗感染药物雾化给药要点速记

奥司他韦使用指引

200 评论

查看更多