查看更多
密码过期或已经不安全,请修改密码
修改密码
壹生身份认证协议书
同意
拒绝
同意
拒绝
同意
不同意并跳过
基本资料
年龄:58岁
性别:男性
主诉:因“皮肤黄染5月“于2019.04.18就诊。
现病史:
患者5月前因无明显诱因皮肤、巩膜黄染,肝区隐痛,食欲下降,时伴恶心,当地医院查彩超提示“肝占位”,“AFP>3000ng/ml”,给予中药治疗,上述症状无明显减轻,今为求诊疗入院。发病来精神一般,食欲较差,大便正常,无黑便,小便色黄,近1月体重减轻5kg。
既往病史:
自诉乙肝携带者十几年,饮酒几十年,每日5两,已戒酒2月。
辅助检查
入院查体:
肝脾肋下未触及,肝区轻度扣痛,余无特殊。
实验室检查:
HBsAg (-)
CA19-9 35.9 U/ml, AFP 77911.0 ng/ml
血小板计数99 X10*9/L
总胆红素57.2 μmol/L, 直接胆红素26.3 μmol/L, 间接胆红素30.9 μmol/L
凝血功能基本正常
影像学检查:
(2019 .04.28)
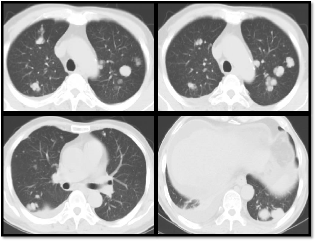
胸部CT:双肺多发转移瘤,大者大小约2.7cm×1.8cm。
肝脏MR:肝右叶多发结节及肿物,相互融合,最大截面约11.2×10.0cm,肝实质内多发斑片低强化灶,病变累及下腔静脉,伴下腔静脉、肝右静脉、门脉右支内条状充盈缺损。考虑肝癌伴肝内多发转移瘤及下腔静脉、肝右静脉、门脉右支瘤栓形成。






入院诊断:
1、原发性肝癌 BCLC C期,child-pugh B级,PS 1分
门静脉右支癌栓形成
下腔静脉癌栓形成
肝右静脉癌栓形成
肝内多发转移瘤
2、肺转移瘤
3、乙肝 肝硬化
首诊治疗方案:
治疗过程:
2019.04.28
口服索拉非尼400mg bid ,2级手足综合征,2月后影像学评估 SD。 AFP 46313.0 ng/ml
2019.07.02
患者要求行肝肿瘤穿刺病理: 符合肝细胞肝癌,伴大片坏死;另见小灶异型腺体结构,不除外混合性肝细胞 胆管细胞癌的可能。免疫组化结果显示:1号: Hepatocyte(1+),GPC3(3+),CK19(-); 3号:CK19(1+),Hepatocyte(-),GPC3(-) 。
2019.07.23
右股动脉入路肝动脉药盒植入术。
07-26、08-17、09-18、10-17 经药盒肝动脉化疗(mFOLFOX6)4周期.
2019.11.15
隔动脉栓塞+药物灌注术(吡柔比星30mg)
2019.11.28
支气管动脉栓塞+药物灌注术(奥沙利铂150mg+雷替曲塞4mg)
治疗期间疗效评估:
复查影像(2019 .07.19) 评估:SD



胸部CT:大部分较前增大,部分缩小。
肝脏CT:肝右后段基本被肿瘤替代,同前相仿,下腔静脉癌栓突入心房较前略缩小;肝右静脉、门静脉右后支瘤栓形成。
2019.11.09 复查CT



肝内肿瘤较前明显缩小,肿块侵入下腔静脉,向上突入右心房腔内,范围较前稍增大,腹水增多
双肺转移灶较前明显增多、增大
患者随访及复诊情况:
2019.11.13 出现双下肢及会阴(阴茎、阴囊)水肿
2019.11.15 行右侧膈动脉化疗栓塞术(术中造影右膈动脉为下腔静脉癌栓主要供血动脉)
2019.11.21 复查增强CT显示下腔静脉癌栓内碘油沉积,下肢及会阴水肿消失


2019.11.28 、2020.01.18行两次支气管动脉灌注化疗+栓塞,(术中用奥沙利铂150mg、雷替曲塞4mg,明胶海绵颗粒)
2020.03.11 复查CT



2020.04.17 复查CT:



2020.05.19 复查CT



肝内肿瘤未见明显存活,肿块侵入下腔静脉,其内可见碘油沉积
双肺转移灶较前未见增多
影像学对比:


病例小结:
该患者为肝癌 BCLC C期,无手术适应症,全身治疗联合局部治疗为主,患者口服索拉非尼靶向抗瘤治疗,肝动脉灌注化疗控制肝内局部病灶,膈动脉栓塞下腔静脉癌栓,双侧支气管动脉药物灌注,患者肿瘤负荷明显减轻,生存质量提高。
心得
1、FOLFOX 肝动脉持续灌注化疗控制肝脏局部病变疗效显著。
2、支气管动脉灌注化疗治疗不可控制的肺转移值得进一步探索。
3、靶向治疗+局部介入治疗治疗中晚期肝癌 (1+1>2)
查看更多