查看更多
密码过期或已经不安全,请修改密码
修改密码
壹生身份认证协议书
同意
拒绝
同意
拒绝
同意
不同意并跳过
基本资料
性别:男
年龄:55岁。
主诉:因“发现肝硬化12年,黑便1周”于2019-6-2 01:20入院。
既往史:慢性乙型病毒性肝炎40余年,未规律抗病毒治疗
个人史: 吸烟30余年,约20支/天
过敏史: 青霉素过敏
肿瘤家族史:(-)
辅助检查
病史介绍:
2007-5:外院体检发现肝硬化
2010-12:牙龈出血,外院检查提示肝硬化、脾大,脾亢(血细胞下降)及乙型肝炎携带,进而出现大量呕血、黑便,考虑上消化道出血,内科止血后行脾脏切除术
2012-12:我院MR提示S6小肝癌,于外科行肝部分切除术,AFP(-)。
2012-6-25:




2012-7-17:

2012-7-19:
外科术后2个月影像学复查:未见肿瘤残留,后返美--未定期复查--至2017-11-15
2017-11-15:

2017-11-15复查提示术区肿瘤复发
患者未在意--未进一步就诊--至入院(2019-6-2)前1周
院前1周无明显诱因出现黑便,牙龈少量出血
实验室检查:
AFP 7270ng/ml
2019-5-29血液学检查:


影像学检查:
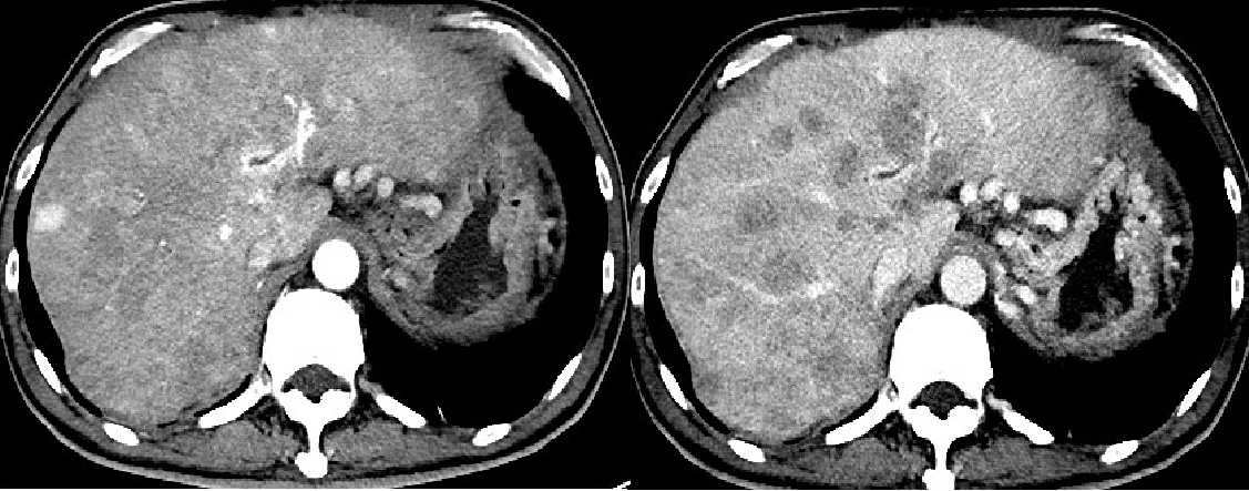
2019-5-28复查CT提示:
肝右叶部分缺失,残肝见多个结节低密度灶,边界欠清,增强扫描后轻度强化,考虑活性灶;门脉主干及左右支弥漫性增宽,可见充盈缺损,考虑癌栓。
2019-5-28:







入院前2天黑便明显增多,约10次/天,约500ml/天,6月1日晚11时再次解黑便后晕倒在地,遂急诊入院。
入院时患者上腹部闷痛,头晕、乏力,体重近6个月下降8Kg。
体格检查:
T:36.50℃ P:78次/分 R:20次/分 BP:115/53mmHg
贫血貌,巩膜苍白,无黄染,腹部平坦,见人形手术瘢痕,腹软,腹部无压痛,肝脏肋下未触及,无压痛。墨菲氏征阴性(-),移动性浊音(-),双下肢无水肿。
入院时血液学检查2019-6-2


入院诊断:
1.消化道出血
2.门静脉高压症
3.原发性肝癌术后复发伴门静脉癌栓形成 BCLC C期
4.肝炎后肝硬化 失代偿期 Child-Puhg A级 6分
5.慢性乙型病毒性肝炎
6.脾脏切除术后
患者治疗及手术方案:
对症支持治疗:禁食、扩容、输血、抑酸、止血等
生命体征稳定:TIPS
TIPS术前肝动脉造影


经颈静脉-肝中静脉穿刺门静脉


门静脉造影


8cm*6mm球囊扩张

植入8mm*8cmGORE覆膜支架VIATORR+8mm*10cm裸支架


TIPS支架植入后门静脉造影


8cm*8mm球囊扩张



球囊扩张后门静脉造影


测压:
术前测压:39cmH2O
术后测压:25cmH2O
TIPS术后第3天再次出现便血

解暗红色大便,
2019-6-6:血红蛋白下降至52g/L
血液学检查:
ALT:42U/L
AST:79.7U/L
ALB:29.5g/l
TBIL:21umol/l
PT:14.7s
Amm:47.1umol/l
再出血原因及手术方案:
支架堵塞?
动门脉瘘-动力型门静脉高压?
开放的侧支循环静脉未栓塞?
2019-6-6 TAE:


空白微球 300-500um*3+500-700um*2
2019-6-6 肠系膜上静脉造影
异常开放的侧支循环静脉:
2019-6-6 TIPS revision
8mm×6cm、8mm×8cm腹膜支架2枚
术后患者管理方案术后患者管理方案
术后血液学检查:


术后患者管理方案:
术后积极护肝治疗


术后患者管理方案及随访:
术后靶向联合免疫治疗:
仑伐替尼+PD-1抗体治疗2个月
抗凝:利伐沙班10mg/d
术后2月随访 2019-8-15腹部超声

术后2月随访 2019-8-15影像学





术后2月随访 2019-8-15血液学

病例总结:
查看更多