壹生大学

壹生身份认证协议书

本项目是由壹生提供的专业性学术分享,仅面向医疗卫生专业人士。我们将收集您是否是医疗卫生专业人士的信息,仅用于资格认证,不会用于其他用途。壹生作为平台及平台数据的运营者和负责方,负责平台和本专区及用户相关信息搜集和使用的合规和保护。
本协议书仅为了向您说明个人相关信息处理目的,向您单独征求的同意,您已签署的壹生平台《壹生用户服务协议》和《壹生隐私政策》,详见链接:
壹生用户服务协议:
https://apps.medtrib.cn/html/serviceAgreement.html
壹生隐私政策:
https://apps.medtrib.cn/html/p.html
如果您是医疗卫生专业人士,且点击了“同意”,表明您作为壹生的注册用户已授权壹生平台收集您是否是医疗卫生专业人士的信息,可以使用本项服务。
如果您不是医疗卫生专业人士或不同意本说明,请勿点击“同意”,因为本项服务仅面向医疗卫生人士,以及专业性、合规性要求等因素,您将无法使用本项服务。

同意

拒绝

同意

拒绝

知情同意书

同意

不同意并跳过

工作人员正在审核中,
请您耐心等待
审核未通过
重新提交
完善信息
{{ item.question }}
确定
收集问题
{{ item.question }}
确定
您已通过HCP身份认证和信息审核
(
5
s)

肠程实例②丨维迪西妥单抗联合替雷利珠三线治疗结肠癌出其不意,斩断病魔,呵护生命

2024-06-13作者:chenmm资讯

我国结直肠癌发病率排名第二位,仅次于肺癌,其年新发病例56万例,且发病率呈现逐年上升趋势。晚期结直肠癌患者的预后极差,5年生存率仅为14%,传统化疗治疗方式已经无法满足患者的临床治疗需求。维迪西妥单抗是中国第一个可裂解连接子的创新HER2抗体偶联药物,是HER2中高表达及HER2低表达肿瘤患者的优选治疗方案之一,具有快速,精准,强效,安全的临床优势,并显著转化为患者长期生存获益。


本期,福建医科大学附属福州市第一总医院黄小兵医师分享了一例HER2(+),二线治疗进展后的降结肠癌肝转移(IV期,M1:肝),采用替雷利珠+维迪西妥单抗三线治疗后获得缓解的病例。同时,福建省肿瘤医院陈奕贵教授对该病理进行了精彩的评析。本报整理如下,以飨读者。


病例分享
图片1.png

黄小兵 教授

福建医科大学附属福州市第一医院肿瘤内科副主任医师

福建省金牌工匠

福建省数字工匠

福州市高层次人才

国家卫生健康委肿瘤领域专家库专家成员

中国抗癌协会第二届肿瘤支持治疗专业委员会委员

中国临床肿瘤学会(CSCO)基金会评审专家

第四届中国临床肿瘤学会(CSCO)青年专家委员会常委

福建省海峡肿瘤防治科技交流协会肿瘤康复分会副会长

福建省抗癌协会癌症康复与姑息治疗专业青年委员会副主任委员

福州市抗癌协会第一届神经肿瘤专业委员会委员

第三届海峡两岸职工创新创业创造大赛银奖

主持3项国家级基金课题、7项省厅级课题

在国内核心期刊、SCI发表学术论文多篇




病史资料

基本信息:男性,48岁

主诉:确诊“降结肠癌肝转移”1年余”

既往史:无特殊

体检:ECOG 0分,心肺未见明显异常,腹平、软,无压痛、反跳痛,肝脾触诊未见明显异常,移动性浊音阴性,直肠指诊未见明显异常


辅助检查

(2022.06.01)肠镜:进镜至距肛门55cm降结肠,可见环周不规则隆起,黏膜僵硬,腔狭窄,镜身无法通过,活检质硬,易出血。

病理:低分化腺癌

(2022.06.05) CT:1.右肺中叶结节,炎症性病变可能,MT待除,请结合临床2.右肺下叶及左肺上叶条片影,考虑陈旧性炎症。

image.pngimage.png

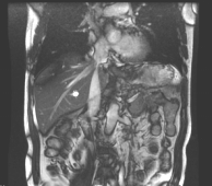
(2022.06.05) MR:1.右肝多发结节,考虑转移瘤可能2.左肾占位,错构瘤可能,MT待排3.双肾多发囊肿。(右肝多发结节,大约6个,主要集中在右肝,最大直径约2.8cm)。

image.pngimage.png

(2022.06.05) CEA:65.7ng/ml。

病理会诊:送检标本符合(左半结肠)中分化管状腺癌。

基因检测:Kras、Nras、BRAF基因均为野生型,MLH1(+)、MSH2(+)、PMS2(+)、MSH6(+),HER2(+),PDL-1 CPS<1。


临床诊断

降结肠癌伴肝转移(IV期,M1:肝)


第一次MDT讨论意见

根据基因检测结果,建议靶向药物+化疗的方案,结合相关指南和临床研究,推荐“西妥昔单抗注射液+FOLFIRI”方案转化治疗

目前肝脏转移病灶数目较多,暂不适宜局部治疗

患者经过3-6周期治疗后,再全面评价病情,决定是否姑息手术治疗等


治疗经过

2022.6.10-2022.7.7期间,予以“西妥昔单抗注射液+FOLFIRI”方案治疗3周期。第3周期患者出现全身多处重度皮疹(NCI-CTC3级),暂停西妥昔单抗注射液1次。


2022.07.13疗效评估:3周期治疗后,靶灶缩小35.7%,2.8cm→1.8cm,疗效评价为PR


(2022.07.13)CT:1.右肺中叶结节,慢性炎症性结节可能,较前大致相仿,请定期复查2.右肺及左肺上叶舌段多发条索影,考虑陈旧性炎症,较前大致相仿。

image.pngimage.png


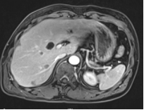
(2022.07.13)MR:1.右肝多发结节,考虑转移瘤可能,较前缩小2.左肾占位,错构瘤可能,MT待排3.双肾多发囊肿4、降结肠壁增厚,考虑MT。

image.pngimage.png


(2022.07.13)CEA:13.7ng/ml。

2022.7.21-2022.8.27期间予以“西妥昔单抗注射液+FOLFIRI”方案治疗第4-6周期。

2022.09.11 疗效评估:6周期治疗后,靶灶缩小47.2%,2.8cm→1.8cm→1.0cm,疗效评价为PR


(2022.9.11)CT:1.右肺中叶结节,慢性炎症性结节可能,较前大致相仿,2.右肺及左肺上叶舌段多发条索影,考虑陈旧性炎症,较前大致相仿。

image.pngimage.png


(2022.9.11)MR: 1.降结肠癌肝转移化疗后复查,较前片病灶稍缩小,请结合临床2.右肝后叶上段转移瘤,较前明显缩小,余未见显示3.左肾占位,错构瘤可能,较前相仿4.双肾多发囊肿。

image.pngimage.png


(2022.9.11)CEA:8.2ng/ml


第二次MDT讨论意见

经MDT讨论,认为经过转化治疗后,降结肠的姑息手术可行,患者能获益。


治疗经过

2022.09.26行“腹腔镜辅助左半结肠切除术(局部根治术)”。

病理(2022-32729):(左半结肠)中分化管状腺癌,浸润最深处于浆膜下层,两切端净;淋巴结转移如下(3/22):“肠旁淋巴结”(3/17),“左结肠A旁”0/2,“253组”0/3。


基因检测:Kras、Nras、BRAF基因均为野生型,MLH1(+)、SH2(+)、PMS2(+)、MSH6(+),HER2(+),PDL-1 CPS<1。

2022.10.26疗效评价:右肝新发病灶,最大1.8 cm X1.6 cm,考虑疾病进展,疗效评价PD


(2022.10.26)CT: 1.右肺中叶结节,慢性炎症性结节可能,较前大致相仿2.双肺少许陈旧性炎症3.左肾上极错构瘤。

image.pngimage.png


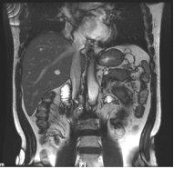
(2022.10.26)MR:1.降结肠癌肝转移化疗后复查,较前片病灶稍缩小,请结合临床2.右肝后叶上段转移瘤,较前增大,右肝多发新增病灶3.双肾占位,错构瘤可能,较前相仿4.双肾多发囊肿。

image.pngimage.png


(2022.10.26)CEA:23.5ng/ml。

患者疾病进展,2022.10.27-2022.11.30期间予以更改二线方案“贝伐珠单抗+FOLFOX”治疗第1-3周期。

2022.12.09疗效评价:3周期治疗后,靶灶缩小11.11%,1.8 cm→1.5 cm,疗效评价为SD


(2022.12.09)CT: 1.右肺中叶结节,慢性炎症性结节可能,较前大致相仿,请定期复查2.双肺陈旧性炎症,较前大致相仿3.左肾上极错构瘤。

image.pngimage.png


(2022.12.09)MR:1.降结肠癌肝转移姑息术后,术区未见明显异常,建议定期随访2.肝内多发转移瘤,较前相仿3.双肾占位,错构瘤可能,较前相仿4.双肾多发囊肿,部分为复杂囊肿,较前相仿。

image.pngimage.png


(2022.12.09)CEA:18.5ng/ml。

2022.12.10-2023.1.12期间予以“贝伐珠单抗+FOLFOX”方案治疗第4-6周期

(2023.01.28)PET-MR复查示:结肠吻合口旁糖代谢轻度增高的稍大淋巴结,建议随访除外转移;肝脏多发转移病灶,最大直径约2.0厘米(SUVmax6.0),结肠吻合口旁淋巴结性质待定。


第三次MDT讨论意见

考虑二线治疗进展,与患者及其家属交流病情,考虑患者病理:HER2(+)、PDL-1 CPS<1,多学科会诊,建议后续改“替雷利珠+维迪西妥单抗”三线治疗,患者及其家属其表示知情同意。遂2023.02.09-2023.05.14期间以“替雷利珠+维迪西妥单抗”方案三线治疗。


治疗经过

2023.05.16疗效评价6周期治疗后,靶灶缩小35%,2.0 cm→1.3 cm,疗效评价为PR


(2023.05.16)CT:1.右肺中叶结节,考虑慢性炎2.双肺散在陈旧性炎症3.双侧胸膜稍增厚4.左肾上极错构瘤,以上较前相仿。

image.pngimage.png


(2023.05.16)MR:1.降结肠癌肝转移姑息术后,术区未见明显异常,建议定期随访2.肝内数个小转移瘤,较前变小变少3.双肾占位,错构瘤可能,较前相仿4.双肾多发囊肿,部分为复杂囊肿,较前相仿。

image.pngimage.png


(2023.05.16)CEA:7.3ng/ml。

2023.6.8-2023.06.20期间继续予以“替雷利珠+维迪西妥单抗”方案三线治疗。

2023.06.20疗效评价:8周期化疗后靶灶缩小45%,2.0 cm→1.1 cm,疗效评价为PR


(2023.06.20)CT:1.右肺中叶结节,考虑慢性炎症2.双肺散在少许陈旧性炎症3.双侧胸膜稍增厚4.左肾上极错构瘤,以上表现均较前相仿。

image.pngimage.png


(2023.06.20)MR:1.降结肠癌肝转移姑息术后,术区未见明显异常,建议定期随访2.肝内数个小转移瘤,较前大致相仿3.双肾占位,错构瘤可能,较前相仿4.双肾多发囊肿,部分为复杂囊肿,较前相仿。

image.pngimage.png


(2023.06.20)CEA:6.8ng/ml。

2023.07.10-2023.12.30期间,继续维持“替雷利珠+维迪西妥单抗”方案治疗。

2023.12.30疗效评价:靶灶较基线缩小50%,2.0 cm→1.0 cm,疗效评价为PR


(2023.12.30)CT:1.右肺中叶结节,考虑慢性炎症2.双肺散在少许陈旧性炎症3.双侧胸膜稍增厚4.左肾上极错构瘤,以上表现均较前相仿。

image.png


(2023.12.30)MR:1.降结肠癌肝转移姑息术后,术区未见明显异常,建议定期随访2.肝内数个小转移瘤,较前大致相仿3.双肾占位,错构瘤可能,较前相仿4.双肾多发囊肿,部分为复杂囊肿,较前相仿。

image.png


    (2023.12.30)CEA:4.3ng/ml。

2024.01.21-2024.03.21期间继续维持“替雷利珠+维迪西妥单抗”方案治疗。

2024.03.21疗效评价:18周期治疗后靶灶缩小45%,2.0 cm→1.1 cm,疗效评价为PR

2024.05.21疗效评价:24周期之后靶灶有所增大,2.0 cm→1.1 cm→1.3 cm,疗效评价为PR


(2024.05.21)CT: 1.右肺中叶结节,考虑慢性炎症2.双肺散在少许陈旧性炎症3.双侧胸膜稍增厚4.左肾上极错构瘤,以上表现均较前相仿。

    image.pngimage.png


(2024.05.21)MR:1.降结肠癌肝转移姑息术后,术区未见明显异常,建议定期随访2.肝内数个小转移瘤,较前有所增大(对比与2023-12-30)3.双肾占位,错构瘤可能,较前相仿4.双肾多发囊肿,部分为复杂囊肿,较前相仿。

image.pngimage.png




专家点评
微信图片_20240606161900.png

陈奕贵 教授

福建省肿瘤医院 腹部肿瘤内科23区科主任、医学硕士、主任医师

福建省抗癌协会肿瘤科普专业委员会 主任委员

福建省抗癌协会癌症康复与姑息治疗委员会 副主任委员

福建省抗癌协会胃癌专业委员会 委员

福建省海峡肿瘤防治科技交流协会精准医学专业委员会 常委

中国抗癌协会肿瘤营养及支持治疗专业委员会营养支持治疗学组 成员

福建省医学会疼痛学分会 委员



抗体偶联药物(ADC)是一种新型的肿瘤治疗药物,近几年间取得了令人瞩目的进展。


本次病例分享一例HER2(+),二线治疗进展后的降结肠癌肝转移案例。患者一线使用西妥昔单抗注射液+FOLFIRI治疗6周期,复查CT与MR提示患者疗效达PR,获得了行姑息手术的机会。经MDT讨论予以腹腔镜辅助左半结肠切除术,然而术后一月复查CT和MR发现右肝新发病灶,疾病进展,因而进入二线治疗。二线使用贝伐珠单抗+FOLFOX方案治疗6周期,遗憾的是,PET-MR复查示肝脏多发转移病灶。经专家会诊,于2023年02月09日开始采用替雷利珠单抗+维迪西妥单抗三线治疗方案至今,在长达15个月的随访期内,疗效评估持续达PR。“替雷利珠+维迪西妥单抗”治疗是Her-2阳性结肠癌患者三线可选方案之一,副作用相对比较小,安全性好,使用方便,值得临床关注。


维迪西妥单抗(RC48)是荣昌生物自主研发的一款ADC,同时是我国首个原创ADC,于2021年6月9日由NMPA宣布上市,适应证为至少接受过2个系统化疗的HER2过表达局部晚期或转移性胃癌(包括胃食管结合部腺癌)的患者和既往接受过含铂化疗且HER2过表达局部晚期或转移性尿路上皮癌的患者。目前,维迪西妥单抗在多癌种中的研究也正在同步开展,2023年维迪西妥单抗在美国临床肿瘤学会(ASCO)、欧洲肿瘤内科学会(ESMO)、欧洲肿瘤内科学会亚洲会议(ESMO-ASIA)重磅会议及《European Urology Oncology》、《European Journal of Cancer》、《Cancer Medicine》等重磅期刊上再传捷报,涉及泌尿、乳腺、肺癌、肠癌、阴茎癌、乳房外paget病等多个瘤种均有突破。


200 评论

查看更多