查看更多
密码过期或已经不安全,请修改密码
修改密码
壹生身份认证协议书
同意
拒绝
同意
拒绝
同意
不同意并跳过
亲爱的读者朋友,您的意见对我们非常重要!为了更好地了解您的需求,提升文章内容质量,诚邀您花几分钟参与本次有奖问卷调研。参与者有机会获得精美奖品!
上期回顾

患者女性,24岁
主诉:腹痛1月。
既往史:既往体健。
个人史:社交饮酒4年。
体格检查:无特殊。
辅助检查:血常规、肝肾功及凝血功能等均未见异常。
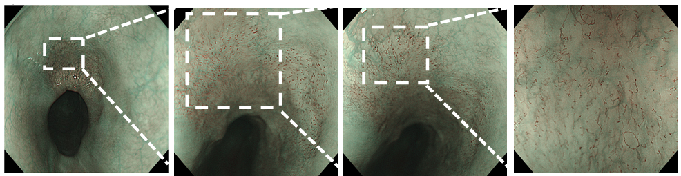
入院后完善胃镜检查:食管距门齿25~30 cm处见一片状黏膜色泽发红,其上血管网透见不良,NBI模式下见茶褐色区域,边界清楚,碘液喷洒后病变区域淡染色,稍吸气可见“榻榻米”征。
逐步放大,此区域IPCL相对比较稀疏,但是可以看到典型的IPCL呈B1改变,形成玫瑰花环样结构。
肛侧端IPCL仍然相对比较稀疏,呈B1改变,同样形成玫瑰花环样结构。
活检病理提示:食管鳞状上皮高级别上皮内瘤变。
年轻女性,既往有饮酒史。结合白光内镜提示Ⅱb型色泽发红病变,碘液喷酒后病变区域淡染色,稍吸气可见“榻榻米”征。M-NBI呈褐色区域,放大内镜下IPCL稀疏,局部有拉长、扩张及扭曲,呈不典型B1改变,局部仍然可见典型的IPCL呈B1改变,病理提示鳞状上皮高级别上皮内瘤变,术前诊断食管早期癌,浸润深度考虑为M1-M2,属于内镜下治疗的绝对适应证,患者进一步行ESD治疗。
内镜前端置透明帽,Dual刀予病变外缘约2~3 mm处标记,黏膜下注射甘油果糖盐水+肾上腺素+靛胭脂,病变抬举可,Dual刀沿标记点外缘约1~3 mm预切开,Dual刀逐步剥离至完整切除病变。术中少许出血,予热活检钳+APC止血。取出病变组织送检,切除病变大小约4.2×5.5 cm。
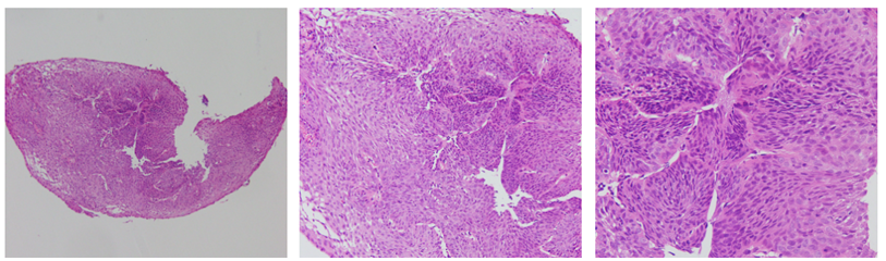
标本完整剥离后充分展平并用大头针四周固定,于中性福尔马林溶液中固定24h后取出清水冲洗,拔除固定针后,以口侧切缘为基线,垂直基线做连续2~3 mm的切片。
复原图如下:我们进一步行放大内镜下病理复原图的对应,1号标本IPCL稀疏,呈拉长、扩张及扭曲,为不典型B1改变,可见肿瘤细胞仅仅局限于基底膜周围,范围不超过上皮层下1/2,其上方可见正常鳞状上皮细胞覆盖。
6号标本IPCL呈典型B1改变的区域,肿瘤细胞已经突破基底膜,向固有层浸润,局部表面可见正常的鳞状上皮。
14号标本典型IPCL的区域,肿瘤细胞已经完全累及整个上皮层全层。
食管癌年轻女性患者极为罕见,白光内镜下形似炎症改变,极易漏诊或误诊,发现该病变关键的第一步是NBI 模式下色泽及形态的变化,尤其是NBI下色泽的变化,其次ME-NBI和碘染色也提供了有力的证据,该患者无肿瘤家族病史,或许饮酒导致了该病的发生。
患者ESD术后病理诊断基底层型鳞癌,其是指局限于上皮层1/2的鳞状细胞癌,细胞异型性大(细胞核之间的尺寸和形态差异显著;细胞极性消失,排列拥挤紊乱),有向下浸润的生物学特点,应注意与高级别上皮内瘤变相鉴别。该病变的边界由于部分表层有正常的鳞状上皮覆盖,ESD治疗范围应大于白光内镜下的病变范围。
术前考虑病灶为食管中段黏膜内早期癌,术前病变的范围需充分评估,精准定位病变的范围及浸润深度极为重要,该病变口侧端局部IPCL稀疏,且拉长、扩张及扭曲,未见典型的B1改变,需注意实际病变范围的确定,达到精准切除,防止切缘阳性。手术过程中需保证黏膜下注射充分,使得层次清晰,有助于病变的完全剥离。术中注意创面的有效处理,避免出血及穿孔。
食管SMT的内镜治疗 | 中日携手・遵医领航⑯
作者:遵义医科大学附属医院 鲁生念 王海波
查看更多