查看更多
密码过期或已经不安全,请修改密码
修改密码
壹生身份认证协议书
同意
拒绝
同意
拒绝
同意
不同意并跳过
1例术后腹腔耐碳青霉烯类肠杆菌科细菌感染患儿的诊疗全程
前言
肝移植术后的患者较易出现腹腔感染。常见感染类型有病毒感染、真菌感染和细菌感染等。细菌感染主要以革兰阴性杆菌为主,根据细菌种类,临床上常选相应抗菌药物治疗。
近年来,耐碳青霉烯类肠杆菌科(CRE)感染在器官移植术后较为常见。CRE是指对亚胺培南、美罗培南、厄他培南、多利培南中任何一种碳青霉烯类抗菌药物耐药,或者证实产碳青霉烯酶的肠杆菌科细菌。本文分享一例儿童肝移植术后腹腔CRE感染的诊疗过程。
案例经过
女患,8月龄,因胆道闭锁于2018年11月30日在肝胆胰外科接受儿童活体肝移植手术。术后病理结果符合先天性胆道闭锁所致结节性硬化改变,假小叶形成,汇管区内细胆管增生明显。术后给予头孢哌酮/舒巴坦+米卡芬净抗感染,应用常规免疫抑制治疗。
患儿术后第2天常规留取腹水培养,报告为CRE大肠埃希菌,药敏显示庆大霉素及阿米卡星敏感,而亚胺培南和美罗培南耐药,MIC均为8mg/L。
术后第5天原本清明透亮的腹水变浑浊,继续留腹水培养,3日后回报结果与此前一致。
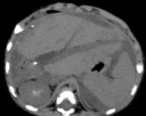
术后第8天,发热加重,白细胞、CRP、PCT进行性升高,患儿引流管每日引出脓性液体10-20mL,彩超提示腹腔内无明显包裹性积液,见图1。


▲图1 腹部CT
术后第8天,抗菌药物升级为美罗培南。
术后第9天,腹水逐渐浑浊呈咖啡色样脓汁。
术后第10天,采集血培养,2天后报告为CRE肺炎克雷伯菌。术后第10天,经感染科、小儿ICU科、药剂科、检验科等多学科会诊,抗感染治疗方案更改为美罗培南+阿米卡星,同时加强营养支持(肠内营养联合肠外营养),给予丙种球蛋白提高免疫力,治疗2天后患儿外周血白细胞、CRP、PCT逐渐下降,恢复正常,术后第10-21天外周血白细胞、CRP、PCT水平变化见图2-1、2-2、2-3。

▲图2-1 术后外周血WBC水平变化

▲图2-2 术后CRP水平变化

▲图2-3 术后PCT水平变化
患儿术后21天顺利出院。
案例分析
1患儿已经培养出CRE,为何仍推荐美罗培南治疗?
该患儿术后多次进行腹水培养,且体温、白细胞、CRP、PCT进行性升高。对于CRE所致感染,根据共识推荐,当亚胺培南或美罗培南MIC≤8 mg/L时,依然可以考虑使用亚胺培南或美罗培南,但应延长输注时间、增加每日给药次数、增大给药剂量。尽管该患儿美罗培南耐药,但MIC=8mg/L,所以仍然推荐使用美罗培南,会诊后临床医师将抗菌药物由头孢哌酮/舒巴坦升级为美罗培南。使用美罗培南2天后,该患儿临床表现无明显改善。
感染科、小儿ICU科、药剂科、检验科等多学科会诊后,建议将抗菌药物调整为美罗培南+阿米卡星,美罗培南的给药方案为40mg/kg q8h,延长单次输注时间至3小时。阿米卡星的给药方案为15mg/kg q24h静脉注射。再次调整治疗方案2天后,该患儿白细胞、CRP、PCT水平逐渐恢复正常。
本病例中,亚胺培南或美罗培南MIC是否≤8mg/L,为能否使用碳青霉烯类抗菌药物治疗CRE的关键,因此强烈推荐临床关注药敏试验中碳青霉烯类抗菌药物的MIC。
2治疗CRE时如何合理应用PK/PD理论?
该患儿使用的美罗培南和阿米卡星分别属于时间依赖型和浓度依赖型抗菌药物。经临床药师会诊,建议该患儿美罗培南的给药方案为40mg/kg q8h,延长单次输注时间至3小时。此方案可最大程度提高抗菌药物效果,提高临床治愈率,降低不良反应。
对于儿童患者,阿米卡星给药不会增加耳毒性、肾毒性,但1日1次给药法效果是否会优于1日多次给药法,需结合患儿年龄、肾脏功能、致病菌MIC综合判断。考虑到本例患儿年龄较小,免疫功能低下,致病菌MIC=8mg/L,推荐采用15mg/kg q24h注射阿米卡星治疗。
知识拓展
1. 患儿肝移植后出现CRE腹腔感染的高危因素
(1)患儿接受葛西手术,术后胆管与肠道相通,肠道细菌易逆行入胆管。
(2)肝移植术后常规免疫抑制治疗,导致患儿免疫功能低下。
3.患儿葛西术后多次胆管炎发作,亚胺培南多次使用诱发耐药菌产生。
2. CRE耐药特点及耐药机制
CRE耐药机制主要包括产碳青霉烯酶、外膜蛋白的缺失或改变,ESBL或AmpC酶的表达和主动外排等,其中产碳青霉烯酶是CRE菌株耐药的主要机制。
碳青霉烯酶根据同源性及作用机制可分为3类:A类为丝氨酸酶,最常见的是KPC酶;B类为金属酶,最常见的是NDM酶;D类酶为头孢菌素酶,最常见的是OXA-48。我院以B类金属β-内酰胺酶最为常见,其与A类丝氨酸碳青霉烯酶的主要区别为不水解氨曲南。成年患者治疗以碳青霉烯类、替加环素和多黏菌素为主,辅助药物包括氨基糖苷类、喹诺酮和磷霉素。但对于儿童患者,除考虑到其抗菌谱,还应注意给药剂量,规避儿童用药的潜在风险。
本案例中患儿8月龄,药物的选择较为受限,仅可选择碳青霉烯类、多黏菌素以及氨基糖苷类,多黏菌素的使用受安全性和经济性制约,故本病例患儿推荐首选碳青霉烯类和氨基糖苷类。
3.根据抗菌药物PK/PD优化抗感染治疗方案
药物代谢动力学(PK)是指随时间变化时药物摄入和药物浓度之间的关系,药物效应动力学(PD)是指随时间变化时药物浓度与所产生的治疗效果及不良反应的关系。
根据抗菌药物的PK/PD,抗菌药物可以分为浓度依赖型、时间依赖型。时间依赖型抗菌药物疗效在于药物浓度在MIC之上时细菌的暴露时间(%T>MIC),临床上优化给药方式主要有增加给药剂量、增加给药频率和延长输注时间。增加每日给药次数和延长点滴时间是使%T>MIC最大化更高效率的方法。对于浓度依赖性抗菌药物,PK/PD靶值为Cmax/MIC,可通过提高Cmax来提高临床疗效,但Cmax不能超过最低毒性剂量。
案例总结
该患术后使用美罗培南治疗CRE数日,其临床表现未得到改善,且感染指标持续加重。通过多学科会诊后,坚持使用美罗培南,联合阿米卡星。提示应根据临床微生物报告中的MIC值选择抗菌药物,早期联合用药。根据PK/PD指导选择剂量和给药途径是优化抗菌治疗的关键。联合小儿ICU科给予适宜的营养支持,可最大程度促进抗菌药物的药效。
值得注意的是,碳青霉烯类对常见阴性菌的MIC>8mg/L时,死亡率显著升高,这提示临床在用药时不仅应关注药敏试验的敏感与耐药,更应关注药物MIC值,临床通过与检验科、药剂科等科室合作,可使药物选择、药物剂量及给药方案更加合理。
专家点评
CRE感染的发生率逐年升高,其可选择的抗菌药物有限,导致其死亡率较高,已成为当前细菌感染领域极为棘手的问题。
CRE感染的治疗要综合药敏试验、PK/PD原理、宿主免疫力等多方面因素,因此其有效治疗需要临床医生、抗感染临床药师、临床微生物工作人员、感染控制人员等多学科人员合作。检验科要加强与临床沟通,解读微生物报告的含义、影响因素、局限性等,使临床更好的理解检验报告。
作者:陈玉国 李玉梅 鲍万国 马 洁 许建成 吉林大学第一医院
文章首发自检验医学
查看更多