200
评论
查看更多
密码过期或已经不安全,请修改密码
修改密码
壹生身份认证协议书
同意
拒绝
同意
拒绝
同意
不同意并跳过
头颅MRI容易误诊的影像很多,部分并不为人所熟知。
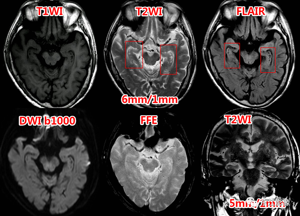
海马沟残余囊肿
海马沟残余囊肿是常见的正常变异,影像学表现为串状分布的小的脑脊液样“囊肿”,位于海马区域,紧邻侧脑室颞角内侧。
一般是由于胚胎期海马角和齿状回的缺陷或不完全融合所致,不引起临床症状。
由于MRI的广泛应用,检出率非常高,尤其是薄层图像。
不熟悉的话,容易被误认为腔隙灶或囊肿。

图1 海马沟残余囊肿

图2 又一例海马沟残余囊肿

图3 另一例海马沟残余囊肿,薄层显示更佳
来源:神经病学医学网(作者:Doctor X.)
查看更多