查看更多
密码过期或已经不安全,请修改密码
修改密码
壹生身份认证协议书
同意
拒绝
同意
拒绝
同意
不同意并跳过
基本资料
性别:女
年龄:38岁
现病史:2018年1月无明显诱因出现左臀部疼痛并放射至左下肢
既往史:患者于2017-07因“直肠癌”行腹腔镜下直肠癌根治术+右侧卵巢囊肿切除术,术后病理示直肠溃疡型中分化腺癌,淋巴结(3/11)可见癌转移,术后予以希罗达+奥沙利铂联合化疗治疗6周期
个人病史:2006年行剖腹产,有青霉素过敏史,无特殊肿瘤家族史
辅助检查
ECOG评分:1分
影像学检查:
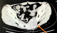
MRI(2018-3-1)
MRI示:直肠癌术后半年”:盆腔拟术改变,子宫肌瘤,骶骨转移侵犯左侧梨状肌。
2018-03-19行经骶尾部肿瘤姑息性切除术,术中B超定位后发现肿瘤范围较大,侵犯骶尾骨、臀大肌、梨状肌,境界不清楚,完整切除较困难。
术后病理:出血的纤维结缔组织中见腺癌(中分化)浸润

第一次多学科讨论:
诊断:直肠癌术后化疗后骶尾部转移
分期:T3N1M1,IV期
病灶评估:骶尾部,姑息性切除
治疗目标:姑息性治疗
治疗方案:局部放疗同时行全身化疗
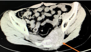
放疗前MRI(2018-5)

1.骶骨偏左侧梨状肌、左侧臀大肌多发病灶范围较前增大;
2.右盆壁强化结节,亦考虑为转移灶;
3.两侧盆壁淋巴结较前稍肿大 。
治疗经过:
2018-05-08至2018-06-11行局部放疗;
CTV1为肿瘤瘤床及复发转移区DT:66GY/50F;
PCTV为CTV1外及相应淋巴引流区域DT:48.4GY/44F;
放疗同时给予两次单药化疗:雷替曲塞 4mg d1,同时配合口服替吉奥25mg bid。
MRI:
2018年5月3日
2018年5月21日
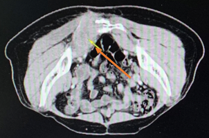
1.骶骨转移侵犯左侧梨状肌较前变化不大;
2.右盆壁转移灶较前缩小;
3.两侧盆壁淋巴结较前稍肿大较前缩小。
病情进展:
2018年5月4日胸部CT:

2018年6月8日胸部CT:

2018年6月8日CT:
1.骶骨转移侵犯左侧梨状肌较前有退缩;
2.右盆壁转移灶较前稍缩小;
3.两侧盆壁淋巴结较前稍肿大较前相似;
4.双肺转移灶较前稍增大。
第二次多学科讨论:
讨论焦点:姑息 or NED
转移灶评估:肺转移灶增大
病情评估:PD
治疗目标:姑息
MDT建议:化疗+靶向
治疗经过:
于2018-07-13至2019-01-05行“氟尿嘧啶0.6g iv 3.75gciv 46h + 亚叶酸钙0.6g d1 + 伊立替康0.3g d1 q2w ”化疗12次, 期间复查CT提示病情稳定。
病情稳定:
2018年6月8日CT:


2018年9月20日CT:


病情进展:
2018年9月20日CT:

0.44*0.4
7.64*4.32
2019年1月28日CT:

0.64*0.71
7.71*4.32
骨转移灶实性成份增多,疼痛明显加重。
第三次多学科讨论:
转移灶评估:肺转移灶增大,尤其骨转移灶实性成份增多,疼痛明显加重。
病情评估:PD
PFS:6.5个月
治疗目标:姑息治疗
MDT建议:化疗+靶向
治疗经过:
于2019-01-29行“贝伐珠单抗 400mg d1,替吉奥 50mg bid d1-14 q3w”化疗1周期。
患者自诉口服替吉奥全身不适,无法耐受,要求换药,与患者及家属充分沟通后改用雷替曲赛治疗。
于2019-02-22行“贝伐珠单抗400mg d1,雷替曲赛5mg d1 q3w”化疗1周期。
病情再次进展:
2019年1月28日CT:


2019年3月14日CT:

第四次多学科讨论:
转移灶评估:肺内病灶增大、增多
病情评估:PD
PFS:1.4个月
治疗目标:姑息治疗
MDT建议:靶向
REVERCE研究:三线先用拜万戈®R-C方案显著延长生存
REVERCE研究:既往使用氟尿嘧啶、奥沙利铂及伊立替康治疗mCRC患者先后不同顺序使用瑞戈非尼(R)和西妥昔单抗(C)治疗的随机Ⅱ期研究。在既往治疗中,96%的患者使用了抗血管方案。
R-C方案显著延长总体OS至17.4个月
RAS/BRAF野生型患者使用R-C方案的OS更长
治疗经过:
2019-03-18起予以瑞戈非尼口服靶向治疗。
病情稳定:
2019年5月3日CT:
2019年6月10日CT:


2019年8月6日CT:
2019年10月12日CT:
再起波澜:
2019年10月12日CT:
1.14cm
7.66*4.54
2019年12月14日CT:
1.5*1.1
7.9*5.1
第五次多学科讨论:
转移灶评估:两肺较前稍增大、骶骨肿块较前增大
病情评估:PD
PFS:8.9个月
KRAS基因检测:P.G12D 突变,突变率8%
治疗目标:姑息治疗
MDT建议:免疫+靶向
REGONIVO 研究:
REGONIVO 2020 ASCO GI:
截止到19年9月1日的中位PFS
CRC 7.9个月 一年PFS率41.8%
GC 5.6个月 一年PFS率22.4%
截至19年9月1日的中位OS
CRC 未达到 一年OS率68%
GC 12.3个月 一年OS率55.3%

PD-L1和TMB表达的PFS亚组分析:
GC的PFS结果:PD-L1 CPS≤1和TMB低的更好 ØCRC的PFS结果:PD-L1 CPS>1和TMB高的疗效更好。
治疗经过:
2019-12-10起予以“信迪利单抗200mg d1”联合“瑞戈非尼80mg po qd” 治疗 。
疗效评估:
2019年12月14日CT:
1.5*1.1
7.9*5.1
2020年1月19日CT:
1.59*1.07
7.9*5.01
CEA水平变化:
不良反应:
治疗回顾:
查看更多