壹生大学

壹生身份认证协议书

本项目是由壹生提供的专业性学术分享,仅面向医疗卫生专业人士。我们将收集您是否是医疗卫生专业人士的信息,仅用于资格认证,不会用于其他用途。壹生作为平台及平台数据的运营者和负责方,负责平台和本专区及用户相关信息搜集和使用的合规和保护。
本协议书仅为了向您说明个人相关信息处理目的,向您单独征求的同意,您已签署的壹生平台《壹生用户服务协议》和《壹生隐私政策》,详见链接:
壹生用户服务协议:
https://apps.medtrib.cn/html/serviceAgreement.html
壹生隐私政策:
https://apps.medtrib.cn/html/p.html
如果您是医疗卫生专业人士,且点击了“同意”,表明您作为壹生的注册用户已授权壹生平台收集您是否是医疗卫生专业人士的信息,可以使用本项服务。
如果您不是医疗卫生专业人士或不同意本说明,请勿点击“同意”,因为本项服务仅面向医疗卫生人士,以及专业性、合规性要求等因素,您将无法使用本项服务。

同意

拒绝

同意

拒绝

知情同意书

同意

不同意并跳过

工作人员正在审核中,
请您耐心等待
审核未通过
重新提交
完善信息
{{ item.question }}
确定
收集问题
{{ item.question }}
确定
您已通过HCP身份认证和信息审核
(
5
s)

感染性休克住进 ICU!检出 MBL-CRE,如何选择用药方案?新型酶抑制剂复方制剂扭转局势!

2025-11-05作者:CMT-壹生资讯



病例基本信息


患者 84 岁,因「发热、意识不清 3 周余」入院。


现病史:患者于入院前 3 周余无明显诱因出现发热,未测体温,伴意识不清,表现为呼之不应,未见明显自主活动,伴痰多,无法自主咳出,伴气促,无呕血、便血,无两眼上翻,口吐白沫,无四肢抽搐,无二便失禁等。收住 ICU,给予高流量氧疗,「哌拉西林他唑巴坦」抗感染,调脂,「依达拉奉、胞磷胆碱」改善脑循环,肠内高营养,加强背部压疮换药等处理。病情稳定后转入普通病房,先后予以「美罗培南、依替米星,利奈唑胺」等抗感染,患者症状未见明显好转,偶有低热,痰多,为黄痰,无法自主咳出,伴意识不清,为求进一步诊治,就诊我院门诊,拟「肺部感染」收住入院,收入我科。自发病以来,大便如常,留置尿管、胃管在位,体重增减不详。


既往史:既往「高血压」病史,「糖尿病」病史 20 余年,曾出现四肢抽搐、意识不清症状 1 次,考虑「脑出血可能、癫痫可能」。既往「前列腺增生」病史,偶有排尿困难症状,目前留置尿管在位。否认肝炎、结核、传染病史,否认冠心病史,否认手术、外伤史,否认输血史,否认食物、药物过敏史,预防接种史不详。


个人史:无疫区、疫情、疫水接触史,无吸烟、饮酒史。


家族史:否认家族性遗传病史,否认家族性肿瘤病史。


体格检查:T:36.6 ℃  P:88 次/分 R:20 次/分 BP:141/85 mm/Hg。发育正常,营养不良,被动体位,神志昏睡,查体不合作。全身皮肤黏膜无黄染、紫绀,无皮疹、皮下出血。毛发分布正常,皮下无水肿,无肝掌、蜘蛛痣,全身多处褥疮,全身体表淋巴结包括耳前、耳后、枕后、颈后、颈前、颌下、颏下、锁骨上、腘窝、滑车、腹股沟等淋巴结未触及肿大。双肺呼吸音粗,可闻及湿性啰音。心率 88 次/分,律齐,无心包摩擦音。腹平坦,未见胃形、肠形,无腹壁静脉张,腹壁柔软,全腹无压痛、反跳痛,未触及包块,肝脏肋下未触及,脾脏肋下未触及,墨菲氏征阴性。脊柱生理弯度存在,无弯,四肢活动自如,无畸形、状指(趾),关节无红肿,变形,双下肢无浮肿。四肢肌力、肌张力查体不合作,未见明显自主活动,刺痛可见回避动作。腹壁反射存在。双侧霍夫曼氏征阴性,双侧巴氏征未引出,克氏征阴性,布氏征阴性。


实验室检查及辅助检查



一、实验室检查:



一般细菌培养:肺炎克雷伯杆菌;血培养:大肠埃希菌;痰培养:纹带棒状杆菌、洋葱伯克霍尔德氏菌;痰一般细菌培养:阴沟肠杆菌;痰真菌培养:白色念珠菌;


血清 C-反应蛋白测定:C-反应蛋白 81.50 mg/L ↑;


肝肾功能:eGFR 55.0 mL/min/1.73 m2、白蛋白 26.49 g/L ↓、尿素 8.95 mmol/L ↑、肌酐 105.7 μmol/L、钾 4.20 mmol/L;


血常规:白细胞计数 7.67 × 109/L、血红蛋白量 73.00 g/L ↓、血小板计数 354 × 109/L ↑。



、影像学检查:



全腹盆腔 CT:1. 脂肪肝。2. 胆囊多发结石,胆囊壁增厚且毛糙。3. 双肾周筋膜增厚。4. 双侧肾盂及输尿管扩张较前好转。5. 直肠管壁明显增厚消失,请结合临床,结肠管壁增厚并多发憩室,请结合肠镜检查。6. 前列腺体积增大,密度欠均匀,必要时 MR 检查。7. L1 椎体压缩骨折;L3 左侧横突可疑骨折;L4 椎体稍向前移位。8. 肠系膜上动脉较增粗,建议必要时 CTA 检查。9. 腹膜密度增高。10. 少许脐疝。11. 皮下脂肪层水肿,左侧为著。


颅脑 CT:1. 右侧枕叶脑梗死治疗后复查  2. 脑内多发腔隙性脑梗死  3. 老年性脑萎缩  4. 鼻窦黏膜局部增厚。


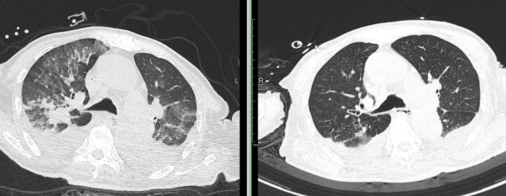
肺部 CT:1. 双肺下叶多发小斑片、索条影较前进展,双肺下叶部分肺组织实变不张,请结合临床;2. 双肺多发实性小结节较前相仿;3. 心包少量积液较前略增多,心包内高致密影,请结合临床;4. 双侧胸膜轻度增厚;5. 动脉硬化;6. 双侧胸腔少量积液,较前略增多;7. 脂肪肝。


图一 患者肺部 CT:左 8 月 4 日,右 8 月 27 日


临床诊断与治疗方案


结合患者病史、临床症状及实验室和影像学检查,初步诊断为细菌性肺炎、血流感染(大肠埃希菌)、褥疮、心功能不全、2 型糖尿病、高血压病 3 级(极高危)、肾功能不全、脑梗死可能。


入院后完善相关检验检查,治疗上予积极抗感染,辅以吸痰、吸氧、调脂稳斑、调节肠道菌群、肠内营养、监控血糖血压、褥疮换药等对症处理。



治疗过程及转归:



7 月 26 日:患者突发高热、呼吸急促、心率快,血压低,需血管活性药物维持,血气提示代酸、炎症指标及血象明显升高,乳酸增高,予迁我科重症室重症监护治疗。考虑合并脓毒血症、脓毒性休克、急性肾损伤。治疗上予抗感染、补液、血管活性药物升压维持循环、抗炎、高流量湿化仪氧疗、调脂稳斑、补充维生素、床旁 CRRT 治疗、营养支持、抑酸护胃、收缩内脏血管、止血、抗前列腺增生、补充人血白蛋白、强心、利尿、止泻收敛、调节肠道菌群、保肝降酶、输注成份血支持治疗、加强褥疮换药等治疗。期间患者伤口分泌物检出肺炎克雷伯菌(CRKP)、鲍曼不动杆菌(CRAB),痰培养检出肺炎克雷伯菌(CRKP)、近平滑念珠菌,抗感染方面予多联抗细菌、积极抗真菌感染。


8 月 1 日:患者微生物培养检出 NDM 金属酶[产金属 β-内酰胺酶的耐碳青霉烯类肠杆菌科细菌( MBL-CRE )],由于之前检出 CRAB 使用舒巴坦度洛巴坦治疗,故调整方案使用舒巴坦度洛巴坦联合氨曲南行抗产 MBL-CRE 治疗,后送检显示鲍曼不动未再检出,考虑以 MBL-CRE 治疗为主治疗更改方案:氨曲南联合头孢他啶阿维巴坦 8 天治疗,治疗期间氨曲南断药,药敏显示替加环素敏感更换替加环素联合丁胺卡那 5 天治疗。


8 月 8 日:经上述治疗后患者体温稳定、炎症指标进行性下降、休克纠正、生命征较前稳定,拔除血透鞘管。


8 月 13 日:患者间断解大量黑便,考虑消化道出血,家属拒绝内镜检查及治疗,予禁食、抑酸护胃、收缩内脏血管、补液、营养支持等对症治疗后患者消化道出血缓解,开放流质饮食未再解黑便。患者再次出现发热,体温高峰达 39.2 ℃,炎症指标上升,复查胸片提示双肺渗出增多,结合之前诊疗,考虑 MBL-CRE 未完全清除,更换氨曲南阿维巴坦 7 天治疗,调整方案后患者无发热,未再检出 MBL-CRE。


患者转归:患者体温稳定,无发热、寒战,呼吸平稳、末梢血氧饱和度波动可,无呕血、黑便、咯血、便血,呼吸频率正常,双肺未闻及明显干湿啰音,重要器官较前好转,感染指标控制,予办理出院,嘱其出院后随访。


表一  ICU 期间患者基本情况记录表


病例思考与启示

1、CRE 感染多发生于有严重基础疾病、免疫缺陷和(或)长期反复使用广谱抗菌药物的患者,预后差,尤其是 MBL-CRE 感染患者, 其病死率高达 55.3% [1,2]


2、MBL-CRE 目前抗菌药物单药 (尤其是多黏菌素和替加环素) 治疗的疗效不能令人满意, 往往需要联合用药[1]。该 MBL-CRE 感染病例中氨曲南联合头孢他啶阿维巴坦 8 天治疗,后换替加环素联合方案,疗效均不佳。更换氨曲南阿维巴坦 7 天治疗,调整方案后患者无发热,未再检出 MBL-CRE。


3、碳青霉烯类耐药大肠埃希菌(CR-ECO)和碳青霉烯类耐药阴沟肠杆菌(CR-ECL)以产 MBL 为主[3]


4、高危患者应做好 MBL-CRE 定植筛查工作,早发现、早预防、早隔离。


5、CRE 治疗策略以酶型为核心,新型酶抑制剂复方制剂功效强大,氨曲南是治疗革兰阴性杆菌感染的单环类 β-内酰胺类抗生素,对金属酶稳定,与阿维巴坦联合后对产 A 类、 B 类以及 C 类 β-内酰胺酶的肠杆菌科细菌均显示一定的抗菌活性。氨曲南-阿维巴坦对产金属酶的 CRE 具有可靠活性[1,4]


专家简介



蔡雪莹


• 厦门大学附属中山医院呼吸内科主任医师

• 福建省呼吸学会胸膜学组委员

• 福建省肺间质学组委员

• 福建省医师协会呼吸内科医师分会第一届青年委员会委员

• 厦门市医学会呼吸病学分会委员

• 厦门市医师协会舒缓医学/安宁疗护分会委员

• 曾在广州医科大学附属第一医院重症医学科进修学习,担任《呼吸疑难少见病例解析》及《呼吸内科疑难病例剖析》编委,参与省市级课题多项

• 对慢性阻塞性肺疾病、支气管哮喘、慢性咳嗽、胸膜疾病、呼吸衰竭、肺部结节等疾病的诊治有较丰富临床经验,尤其擅长肺部感染性疾病、呼吸危重症的诊疗及救治,精通机械通气及呼吸康复等

(上下滑动查看更多)


✩ 仅供医疗卫生专业人士参考/阅读


本文转自丁香园感染时间


参考文献:

[1]  俞云松,刘又宁,王明贵等.  中国碳青霉烯耐药肠杆菌科细菌感染诊治与防控专家共识[J] . 中华医学杂志 2021 年 9 月 28 日第 101 卷第 36 期.

[2] de Jager P, et al. Nosocomial Outbreak of New Delhi Metallo-β-Lactamase-1-Producing Gram-Negative Bacteria in South Africa: A Case-Control Study. PLoS One. 2015 Apr 24;10(4).

[3] CHINET2024年细菌耐药监测结果.

[4] 注射用氨曲南阿维巴坦钠说明书.


200 评论

查看更多