查看更多
密码过期或已经不安全,请修改密码
修改密码
壹生身份认证协议书
同意
拒绝
同意
拒绝
同意
不同意并跳过
患者女性,50岁,行胃镜精查。
既往史:阑尾炎病史20余年,无幽门螺杆菌(Hp)除菌史。Hp抗体、尿素呼气实验阴性,病理:Hp阴性。

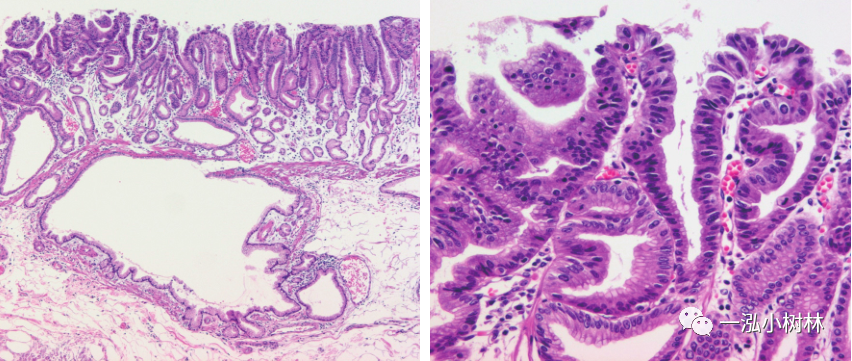
图 白光内镜:胃体中部大弯近前壁侧见一Ⅱc病变,大小约3cm。靛胭脂染色:病变与周围黏膜的界限清楚,在周围发现了胃底腺息肉。

图 NBI弱放大:背景黏膜没有发现萎缩性变化以及肠上皮化生。一侧边界线清晰。

图 NBI-ME:白区中发现loop pattern的异常血管,呈现乳头颗粒状的表面结构。

图 病理复原图:凹陷内为癌,浸润深度黏膜内。

图 癌是从正常的胃底腺区域发生的,没有看到溃疡瘢痕,也没有发现癌向黏膜下浸润。中度异型的癌细胞,腺管呈管状结构,高分化型腺癌(tub1)。


图 免疫组化:MUC5AC阳性,MUC6阳性, MUC2 阴性, CD10阴性。
讨论
据报道,Hp阴性胃癌占全部胃癌的0.66%~18.8%,Hp阴性胃癌的定义根据报告的不同而不同。
根据Matsuo等人报告称,血清Hp抗体低于10 IU/l,在胃体部的活检中没有发现Hp及炎性变化,并且在尿素呼气试验或快速尿素酶试验阴性的定义为Hp阴性,占全部胃癌的0.66%。另外,Ono等人报告,在用ESD切除的294例胃癌病例中,快速尿素酶试验、尿素呼气试验、培养法、镜检法、血清Hp抗体均为阴性的病例为34例(14.2%)。其中,在组织学和内镜的背景黏膜上没有发现萎缩,PG法阴性的病例只有1例(0.34%)。本病例也与此相符合。
Hp阴性胃癌应该严格诊断,须要排除Hp已感染病例、有Hp除菌史者,也须观察背景黏膜有无萎缩的情况。另外,有报告称,发现胃癌时的平均年龄为56.4~64.9岁,与Hp阳性胃癌患者相比,明显年轻。关于男女比例,虽然也有女性明显较多的报告,但也有男女基本相同程度的报告。Hp阴性胃癌的肉眼类型0-Ⅱc占大部分,组织型以未分化型明显较多。关于不伴随胃炎和胃黏膜萎缩Hp阴性胃癌的原因,也有因胆汁诱导肠型黏液的表达而产生的说法,但目前还不清楚,今后也有必要进一步研究病例。
以往,Nakamura等人将胃癌的组织型分为分化和未分化型两类,分化型癌是与肠上皮化生密切相关的肠型癌,未分化型癌是缺乏腺管形成的癌,被认为是由不显示肠上皮化生的胃固有黏膜产生的胃型性质的癌。但是,近年来,通过黏液组织化学的研究,明确了在分化型腺癌中也存在胃型的癌,被称为胃型分化型腺癌,其检出率在胃分化型腺癌中,从27.1%~45.6%不等。胃型分化型腺癌与肠型分化型腺癌相比,平均年龄较低,女性的频率较高,在发生部位的上部较多,接近未分化型的进展期胃癌。另外,内镜的特征表现为,边界不清,正色调、凹陷型较多,但病变边缘伴有正色调高度较低的微小隆起。组织异型度较低,内镜以及病理诊断很困难,在低异型度高分化型的形态下,有可能浸润到SM以深或者有明显变化为未分化型的可能性。在本病例中,发现了正色调、边缘伴随隆起的凹陷性病变,在白光内镜以及NBI放大观察中边界明确。虽然在病理学上没有确诊癌,但是根据NBI放大观察的表面结构所见,诊断为分化型腺癌的可能性很高。
作者:宁波市第四医院消化内科 一泓小树林
文章首发自“一泓小树林”公众号
查看更多