壹生大学

壹生身份认证协议书

本项目是由壹生提供的专业性学术分享,仅面向医疗卫生专业人士。我们将收集您是否是医疗卫生专业人士的信息,仅用于资格认证,不会用于其他用途。壹生作为平台及平台数据的运营者和负责方,负责平台和本专区及用户相关信息搜集和使用的合规和保护。
本协议书仅为了向您说明个人相关信息处理目的,向您单独征求的同意,您已签署的壹生平台《壹生用户服务协议》和《壹生隐私政策》,详见链接:
壹生用户服务协议:
https://apps.medtrib.cn/html/serviceAgreement.html
壹生隐私政策:
https://apps.medtrib.cn/html/p.html
如果您是医疗卫生专业人士,且点击了“同意”,表明您作为壹生的注册用户已授权壹生平台收集您是否是医疗卫生专业人士的信息,可以使用本项服务。
如果您不是医疗卫生专业人士或不同意本说明,请勿点击“同意”,因为本项服务仅面向医疗卫生人士,以及专业性、合规性要求等因素,您将无法使用本项服务。

同意

拒绝

同意

拒绝

知情同意书

同意

不同意并跳过

工作人员正在审核中,
请您耐心等待
审核未通过
重新提交
完善信息
{{ item.question }}
确定
收集问题
{{ item.question }}
确定
您已通过HCP身份认证和信息审核
(
5
s)

孔国强教授:破界匠心,唯爱长存——一例持久生存晚期直肠癌的全方位治疗

2025-12-16作者:shaowen资讯


入院基本情况








患者信息:男,54岁。

主诉:大便带血半年,确诊直肠癌5天。

现病史:2020年9月无明显诱因出现大便带血,对症治疗效果差。在南阳某某医院查肠镜见:距肛缘10-16cm直肠可见环周生长不规则新生物,上覆污苔,边缘隆起,管腔呈中心性狭窄,内镜尚可通过,质地脆触之易出血,取6块送检。病理回示(2020.09.17):(直肠)中分化腺癌。查CEA示:250ng/ml。为进一步诊治来我院。



初诊时检查结果








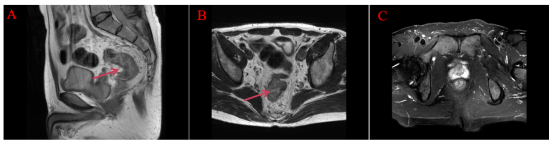
2020.09.23 直肠MRI影像:直肠异常改变,符合直肠Ca。发现直肠癌距肛门位置小于10cm。

image.png

图1 初诊时直肠MRI

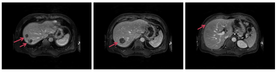
2020.09.25 上腹部MRI影像:肝内多发占位性病变(6个),考虑多发转移瘤。

image.png

图2 初诊时上腹部MRI

2020.09.25基因检测:RAS、BRAF V600E野生型MSS

image.png

图3 基因检测结果



入院诊断








低位直肠中分化腺癌  cT4aNxM1a ⅣA期  

同时性肝多发转移 RAS、BRAF V600E 野生型  MSS



第一次MDT








MDT结论:1、直肠病情评估为低位直肠癌,可切除,强化同步放化疗(CRT)后行直肠癌手术;2、肝脏病情评估为潜在可切除,治疗目标为无疾病状态(NED),转化治疗后再确定进一步治疗方案;3、肝转移瘤替代治疗方式有:手术、热消融、放射性粒子植入、立体定向体部放射治疗(SBRT)。



第一阶段治疗(转化治疗策略)








转化治疗:西妥昔单抗+mFOLFOX6 共8周期(2020.09-2021.02)

放疗:直肠肿瘤50GY/25F(2020.09-2020.11)

疗效评价为部分缓解(PR)。

image.png

图4 影像评估提示直肠肿瘤较前缩小

image.png

图5 影像评估提示肝脏转移瘤较前缩小,靠近肝包膜表面小肿块消失

2021.03.09腹腔镜经腹直肠癌根治术+回肠预防性造口+肠粘连松解术。

2021.03.17术后病理示:直肠隆起型中﹣高分化腺癌(化疗后标本)、侵出外膜,断端净,TRG:1级,肠周淋巴结未见转移癌(0/17)。

免疫组化:(pMMR)MSH2(+),MSH6(+),MLH1(+),PMS2(+),P53(80%+),Her-2(1+),Ki-67(70%),分期为:pT4aN0M1a。

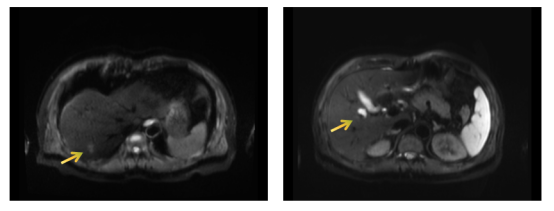
2021.04复查影像评估提示:肝右叶膈顶S7 及胆囊窝转移瘤较前减小,仍有活性。

image.png

图6 影像评估提示肝右叶膈顶S7 及胆囊窝转移瘤较前减小,仍有活性

2021.04行肝转移瘤行射频消融治疗。治疗后全氟丁烷造影见肝脏病灶无增强,消融效果良好。

2021.04-2021.07予西妥昔单抗+mFOLFOX6 4w   

2021.7.13行肠造口还纳术。

2021.08.24上腹部MRI显示肝转移瘤1(胆囊窝)无活性,肝转移瘤2(膈顶)有活性。

image.png

图7 影像评估提示肝转移瘤1(胆囊窝)无活性,肝转移瘤2(膈顶)有活性

2021.09彩超引导下,行肝转移瘤2(膈顶)粒子植入术(0.8mci I125粒子25颗)。维持治疗西妥昔单抗+卡培他滨11个月。后定期复查,病情稳定。


病情变化

2022.07胸腹部CT:右肺下叶见片状实变影;肝左外叶上段结节,考虑左肝新发转移瘤。

2022.08PET-CT见肝左外叶糖代谢增高,SUV值为10.8。粒子植入术后膈肌上方局限性放射性肺损伤,自行好转。

image.png

图8 影像评估提示肝左外叶糖代谢增高




第二次MDT








目前诊断:直肠腺癌 rT4aN0M1a ⅣA期 肝转移(新发) ;RAS、BRAF V600E 野生型 MSS/pMMR  HER2阴性    

MDT结论:1、肝左叶肿瘤评估为可切除,治疗目标为NED,替代治疗有:手术、热消融、放疗、粒子植入。2、治疗方案选择FOLFIRI(考虑可能行手术治疗,未加贝伐珠单抗)。

与家属沟通后,家属选择康博刀热消融。



第二阶段治疗








2022.08肝左叶转移瘤行康博刀治疗。肝左叶转移瘤靠近胃壁,为避免损伤胃,于肝胃间隙置入人工腹水后行康博刀治疗。治疗后全氟丁烷造影见肝脏病灶无增强。

于南阳市某医院应用FOLFIRI方案治疗6周期。治疗结束时间:2022.12。无疾病生存期(DFS)2:12个月。


病情变化

2023.12腹部CT(南阳)提示肝左叶占位,较前(2022.08)增大。再次入我院。

image.png

图9 影像评估提示肝左叶转移瘤较前增大

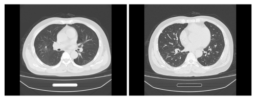
2023.12 PET-CT提示右肺新发数枚小结节,考虑转移。

image.png

图10 影像评估提示右肺新发数枚小结节,考虑转移



第三次MDT








直肠腺癌 rT4aN0M1b ⅣB期 肝转移 肺转移;RAS、BRAF V600E 野生型  MSS/pMMR HER2阴性

MDT结论:1、治疗目标为NED;2、肝转移瘤行手术治疗;3、为提高缩瘤率,选择方案为:西妥昔单抗+FOLFIRINOX;4、肺转移瘤行粒子植入术。  



第三阶段治疗








2023.12.27行肺转移瘤粒子植入术。右肺靠近胸膜的转移瘤粒子植入过程中,出现气胸,停止操作,对症处理后好转。2023.12.29再次行右肺转移瘤粒子植入术。

2023.12-2024.01予西妥昔单抗+FOLFIRINOX 3周期。

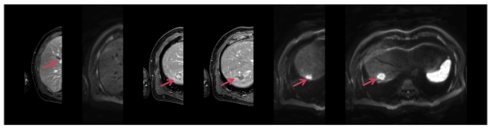
image.png

图11 影像评估提示右肺转移瘤粒子植入后病情稳定

image.png

图12 影像评估提示肝左叶转移瘤较前缩小

2024.02.27行腹腔镜下肝左叶切除术。

2024.03.06病理示:(左半肝)结合病史及免疫组化,符合转移性中分化腺癌,切缘净。

免疫组化:CK7(-),CK20(+),CDX-2(+),SATB2(+),Her-2(1+),CK19(+),Hepa(-),Ki-67(80%)。

2024.03-2024.08予西妥昔单抗+FOLFIRI 9周期。

2024.11疗效评价为疾病稳定(SD)。DFS3:8个月。


病情变化

2025.04 PET-CT提示右肺转移瘤较前增大。

image.png

图13 影像评估提示右肺转移瘤较前增大



第四次MDT








目前诊断:直肠腺癌 rT4aN0M1b ⅣB期 肝转移 肺转移;RAS、BRAF V600E 野生型  MSS/pMMR HER2阴性

MDT结论:1、治疗目标为NED;2、肺转移瘤行立体定向放射治疗;3、治疗方案:贝伐珠单抗+TAS-102。



第四阶段治疗








2025.04肺转移瘤行立体定向放射治疗,并予贝伐珠单抗+TAS-102治疗。

image.png

图14 CEA趋势图



治疗经过总览








image.png

图15 治疗经过总览





总结


能达到NED或R0切除的局部治疗的全方位综合应用,是长生存的基础。包括热消融、粒子植入、放疗、手术等协同。需要医者仁心、反复推敲、精益求精的工匠精神。

RAS野生BRAFV600E野生,西妥昔单抗在转化、维持的长期应用,在本例患者长生存发挥至关重要的作用。肝脏一些小病灶的消失与该药联合应用相关。

MDT能在遵循指南的基础上,克服主管医生的主观性,能对患者指定更适合的个体化治疗。






本文审校:
河南科技大学第一附属医院
 孔国强教授

200 评论

查看更多